IQGAP1 Recombinant monoclonal antibody

IQGAP1 Uni-rAb® Recombinant Antibody for IHC, IF/ICC, ELISA
Cat No. 85651-1-RR
Clone No.242206G2

Host / Isotype

Rabbit / IgG

Reactivity

human

Applications

IHC, IF/ICC, ELISA

HUMORFA01, KIAA0051, p195, Ras GTPase-activating-like protein IQGAP1

Formulation:  PBS, Azide, Glycerol
PBS, Azide, Glycerol
PBS Only
Conjugate:  Unconjugated
Unconjugated
CoraLite® Plus 488
Size/Concentration: 

-/ -

Freight/Packing: -

Quantity

Please visit your regions distributor:


Tested Applications

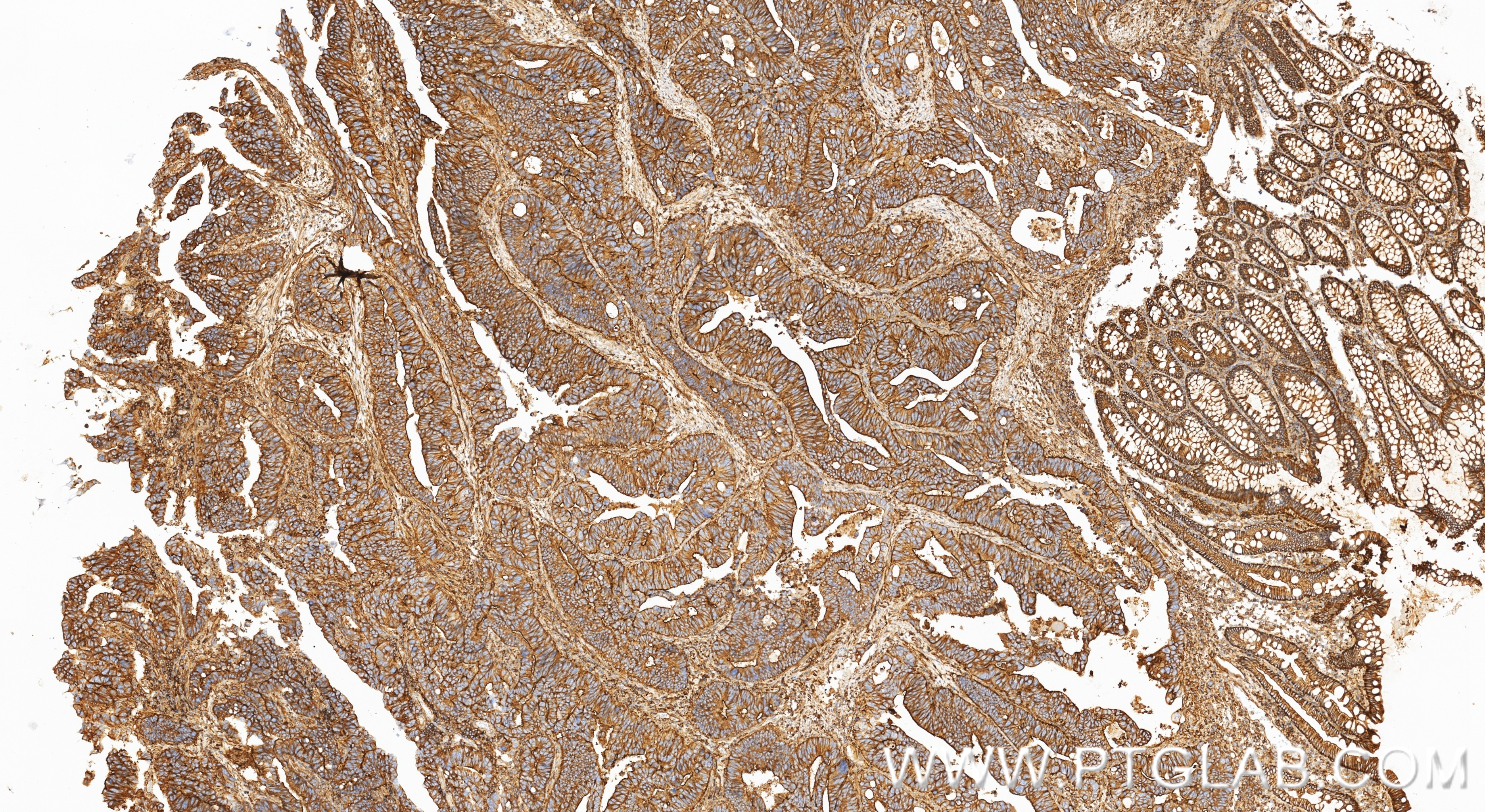
Positive IHC detected inhuman colon cancer tissue
Note: suggested antigen retrieval with TE buffer pH 9.0; (*) Alternatively, antigen retrieval may be performed with citrate buffer pH 6.0
Positive IF/ICC detected inMCF-7 cells, A431 cells

Recommended dilution

ApplicationDilution
Immunohistochemistry (IHC)IHC : 1:200-1:800
Immunofluorescence (IF)/ICCIF/ICC : 1:250-1:1000
It is recommended that this reagent should be titrated in each testing system to obtain optimal results.
Sample-dependent, Check data in validation data gallery.

Product Information

85651-1-RR targets IQGAP1 in IHC, IF/ICC, ELISA applications and shows reactivity with human samples.

Tested Reactivity human
Host / Isotype Rabbit / IgG
Class Recombinant
Type Antibody
Immunogen

CatNo: Ag19321

Product name: Recombinant human IQGAP1 protein

Source: e coli.-derived, PET28a

Tag: 6*His

Domain: 478-827 aa of BC151834

Sequence: QLSSSVTGLTNIEEENCQRYLDELMKLKAQAHAENNEFITWNDIQACVDHVNLVVQEEHERILAIGLINEALDEGDAQKTLQALQIPAAKLEGVLAEVAQHYQDTLIRAKREKAQEIQDESAVLWLDEIQGGIWQSNKDTQEAQKFALGIFAINEAVESGDVGKTLSALRSPDVGLYGVIPECGETYHSDLAEAKKKKLAVGDNNSKWVKHWVKGGYYYYHNLETQEGGWDEPPNFVQNSMQLSREEIQSSISGVTAAYNREQLWLANEGLITRLQARCRGYLVRQEFRSRMNFLKKQIPAITCIQSQWRGYKQKKAYQDRLAYLRSHKDEVVKIQSLARMHQARKRYRD

Predict reactive species
Full Name IQ motif containing GTPase activating protein 1
Calculated Molecular Weight 189 kDa
GenBank Accession NumberBC151834
Gene Symbol IQGAP1
Gene ID (NCBI) 8826
ENSEMBL Gene IDENSG00000140575
Conjugate Unconjugated
FormLiquid
Purification MethodProtein A purification
UNIPROT IDP46940
Storage Buffer PBS with 0.02% sodium azide and 50% glycerol, pH 7.3.
Storage ConditionsStore at -20°C. Stable for one year after shipment. Aliquoting is unnecessary for -20oC storage. 20ul sizes contain 0.1% BSA.

Protocols

Product Specific Protocols
IF protocol for IQGAP1 antibody 85651-1-RRDownload protocol
IHC protocol for IQGAP1 antibody 85651-1-RRDownload protocol
Standard Protocols
Click here to view our Standard Protocols
Loading...
||
New chat

Able

正在加载,请稍候...