Tested Applications
| Positive WB detected in | mouse skin tissue, rat skin tissue, mouse skeletal muscle tissue, rat skeletal muscle tissue |
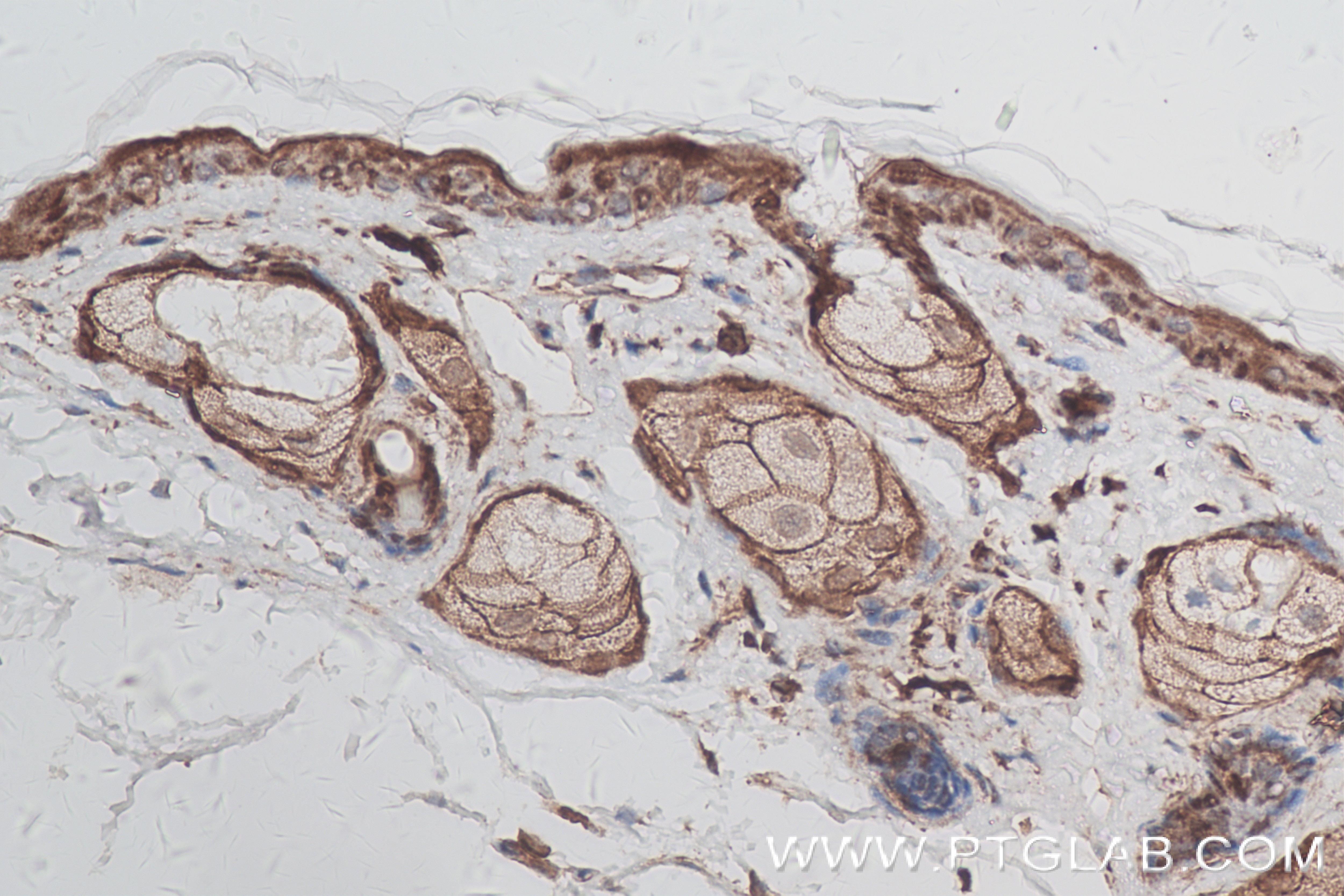
| Positive IHC detected in | mouse skin tissue Note: suggested antigen retrieval with TE buffer pH 9.0; (*) Alternatively, antigen retrieval may be performed with citrate buffer pH 6.0 |
| Positive IF-P detected in | mouse skin tissue |
Recommended dilution
| Application | Dilution |
|---|---|
| Western Blot (WB) | WB : 1:5000-1:50000 |
| Immunohistochemistry (IHC) | IHC : 1:1000-1:4000 |
| Immunofluorescence (IF)-P | IF-P : 1:50-1:500 |
| It is recommended that this reagent should be titrated in each testing system to obtain optimal results. | |
| Sample-dependent, Check data in validation data gallery. | |
Product Information
84203-5-RR targets KCNJ18 in WB, IHC, IF-P, ELISA applications and shows reactivity with mouse, rat samples.
| Tested Reactivity | mouse, rat |
| Host / Isotype | Rabbit / IgG |
| Class | Recombinant |
| Type | Antibody |
| Immunogen |
CatNo: Ag34177 Product name: Recombinant human KCNJ18 protein Source: e coli.-derived, PGEX-4T Tag: GST Domain: 353-433 aa of NM_001194958 Sequence: STPRCSAKDLVENKFLLPSANSFCYENELAFLSRDEEDEADGDQDGRSRDGLSPQARHDFDRLQAGGGVLEQRPYRRGSEI Predict reactive species |
| Full Name | similar to hkir2.2x |
| Calculated Molecular Weight | 49 kDa |
| Observed Molecular Weight | 45 kDa |
| GenBank Accession Number | NM_001194958 |
| Gene Symbol | KCNJ18 |
| Gene ID (NCBI) | 100134444 |
| RRID | AB_3671759 |
| Conjugate | Unconjugated |
| Form | Liquid |
| Purification Method | Protein A purfication |
| UNIPROT ID | B7U540 |
| Storage Buffer | PBS with 0.02% sodium azide and 50% glycerol, pH 7.3. |
| Storage Conditions | Store at -20°C. Stable for one year after shipment. Aliquoting is unnecessary for -20oC storage. 20ul sizes contain 0.1% BSA. |
Background Information
Mutations in KCNJ18 gene encoding an inwardly rectifying potassium channel (Kir2.6) cause thyrotoxic periodic paralysis (TPP) and sporadic, that is, non-familial cases of HypoPP. Mutant Kir2.6 proteins form a heterotetrameric Kir channel complex with Kir2.1 and thereby reduce cell surface expression of the complex. (PMID: 25882930)
Protocols
| Product Specific Protocols | |
|---|---|
| IF protocol for KCNJ18 antibody 84203-5-RR | Download protocol |
| IHC protocol for KCNJ18 antibody 84203-5-RR | Download protocol |
| WB protocol for KCNJ18 antibody 84203-5-RR | Download protocol |
| Standard Protocols | |
|---|---|
| Click here to view our Standard Protocols |









