Tested Applications
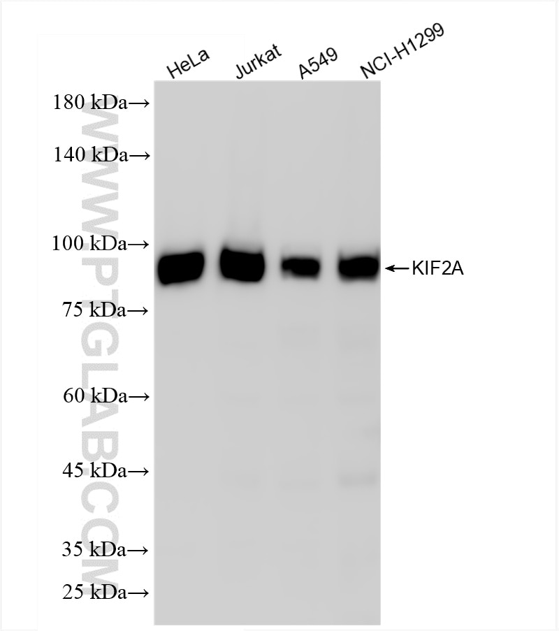
| Positive WB detected in | HeLa cells, Jurkat cellls, A549 cells, NCI-H1299 cells, mouse brain tissue, rat brain tissue |
Recommended dilution
| Application | Dilution |
|---|---|
| Western Blot (WB) | WB : 1:5000-1:50000 |
| It is recommended that this reagent should be titrated in each testing system to obtain optimal results. | |
| Sample-dependent, Check data in validation data gallery. | |
Product Information
86268-3-RR targets KIF2A in WB, ELISA applications and shows reactivity with human, mouse, rat samples.
| Tested Reactivity | human, mouse, rat |
| Host / Isotype | Rabbit / IgG |
| Class | Recombinant |
| Type | Antibody |
| Immunogen |
CatNo: Ag3748 Product name: Recombinant human KIF2A protein Source: e coli.-derived, PGEX-4T Tag: GST Domain: 328-679 aa of BC031828 Sequence: YKKLELQVYATFFEIYSGKVFDLLNRKTKLRVLEDGKQQVQVVGLQEREVKCVEDVLKLIDIGNSCRTSGQTSANAHSSRSHAVFQIILRRKGKLHGKFSLIDLAGNERGADTSSADRQTRLEGAEINKSLLALKECIRALGRNKPHTPFRASKLTQVLRDSFIGENSRTCMIATISPGMASCENTLNTLRYANRVKELTVDPTAAGDVRPIMHHPPNQIDDLETQWGVGSSPQRDDLKLLCEQNEEEVSPQLFTFHEAVSQMVEMEEQVVEDHRAVFQESIRWLEDEKALLEMTEEVDYDVDSYATQLEAILEQKIDILTELRDKVKSFRAALQEEEQASKQINPKRPRAL Predict reactive species |
| Full Name | kinesin heavy chain member 2A |
| Calculated Molecular Weight | 679 aa, 77 kDa |
| Observed Molecular Weight | 80-100 kDa |
| GenBank Accession Number | BC031828 |
| Gene Symbol | KIF2A |
| Gene ID (NCBI) | 3796 |
| Conjugate | Unconjugated |
| Form | Liquid |
| Purification Method | Protein A purification |
| UNIPROT ID | O00139 |
| Storage Buffer | PBS with 0.02% sodium azide and 50% glycerol, pH 7.3. |
| Storage Conditions | Store at -20°C. Stable for one year after shipment. Aliquoting is unnecessary for -20oC storage. 20ul sizes contain 0.1% BSA. |
Background Information
Kinesin family member 2a (KIF2A), one of the kinesin family members, is identified in mammalian cells and involved in regulating microtubule dynamics during the mitosis via modulating intracellular transport, cell division, and bipolar spindle assembly (PMID: 17538014). High expression of KIF2A correlates with advanced tumor stages and worse prognosis in non-small cell lung cancer patients (PMID: 31858647). Within clinical practice, KIF2A exhibits key prognostic value for the management of gastric cancer, colorectal cancer and nasopharyngeal carcinoma (PMID: 32106376, PMID: 26070867, PMID: 26602436).
Protocols
| Product Specific Protocols | |
|---|---|
| WB protocol for KIF2A antibody 86268-3-RR | Download protocol |
| Standard Protocols | |
|---|---|
| Click here to view our Standard Protocols |





