Tested Applications
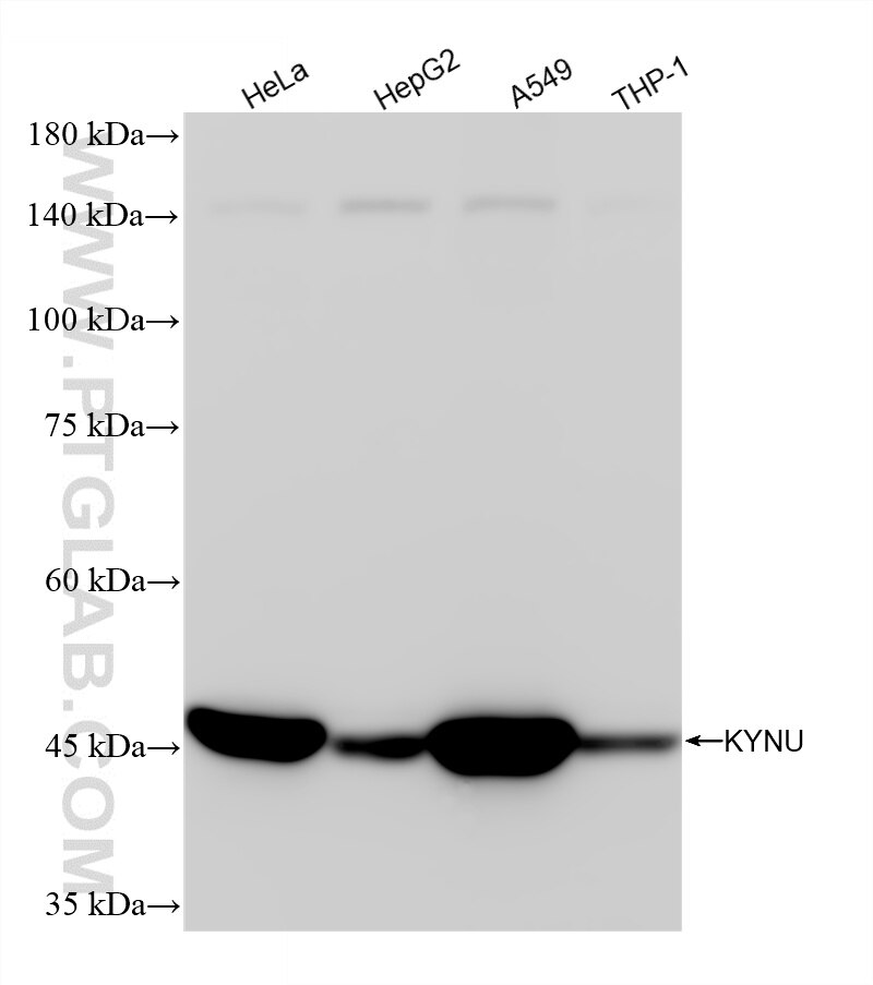
| Positive WB detected in | HeLa cells, HepG2 cells, A549 cells, THP-1 cells |
| Positive IF/ICC detected in | A549 cells |
Recommended dilution
| Application | Dilution |
|---|---|
| Western Blot (WB) | WB : 1:5000-1:50000 |
| Immunofluorescence (IF)/ICC | IF/ICC : 1:200-1:800 |
| It is recommended that this reagent should be titrated in each testing system to obtain optimal results. | |
| Sample-dependent, Check data in validation data gallery. | |
Product Information
86555-4-RR targets KYNU in WB, IF/ICC, ELISA applications and shows reactivity with human samples.
| Tested Reactivity | human |
| Host / Isotype | Rabbit / IgG |
| Class | Recombinant |
| Type | Antibody |
| Immunogen |
CatNo: Ag2365 Product name: Recombinant human KYNU protein Source: e coli.-derived, PGEX-4T Tag: GST Domain: 1-307 aa of BC000879 Sequence: MEPSSLELPADTVQRIAAELKCHPTDERVALHLDEEDKLRHFRECFYIPKIQDLPPVDLSLVNKDENAIYFLGNSLGLQPKMVKTYLEEELDKWAKIAAYGHEVGKRPWITGDESIVGLMKDIVGANEKEIALMNALTVNLHLLMLSFFKPTPKRYKILLEAKAFPSDHYAIESQLQLHGLNIEESMRMIKPREGEETLRIEDILEVIEKEGDSIAVILFSGVHFYTGQHFNIPAITKAGQAKGCYVGFDLAHAVGNVELYLHDWGVDFACWCSYKYLNAGAGGIAGAFIHEKHAHTIKPARSEFFN Predict reactive species |
| Full Name | kynureninase (L-kynurenine hydrolase) |
| Calculated Molecular Weight | 465aa,52 kDa; 307aa,35 kDa |
| Observed Molecular Weight | 45-52 kDa |
| GenBank Accession Number | BC000879 |
| Gene Symbol | KYNU |
| Gene ID (NCBI) | 8942 |
| Conjugate | Unconjugated |
| Form | Liquid |
| Purification Method | Protein A purification |
| UNIPROT ID | Q16719 |
| Storage Buffer | PBS with 0.02% sodium azide and 50% glycerol, pH 7.3. |
| Storage Conditions | Store at -20°C. Stable for one year after shipment. Aliquoting is unnecessary for -20oC storage. 20ul sizes contain 0.1% BSA. |
Background Information
KYNU(kynureninase) is also named as L-kynurenine hydrolase and belongs to the kynureninase family. It is a pyridoxal-5'-phosphate-(pyridoxal-P)-depe11dent enzyme that catalyses the cleavage of L-kynurenine and L-3-hydroxykynurenine into anthranilic and 3-hydroxyanthranilic acids, respectively(PMID:8706755). In SDS-PAGE, it can detect a 48 kDa band lower than the preidicted molecular weight of 52 kDa due to limited proteolysis of the enzyme which might occur during handling of the protein(PMID:8706755).
Protocols
| Product Specific Protocols | |
|---|---|
| IF protocol for KYNU antibody 86555-4-RR | Download protocol |
| WB protocol for KYNU antibody 86555-4-RR | Download protocol |
| Standard Protocols | |
|---|---|
| Click here to view our Standard Protocols |



