Tested Applications
| Positive WB detected in | PC-12 cells, mouse brain tissue |
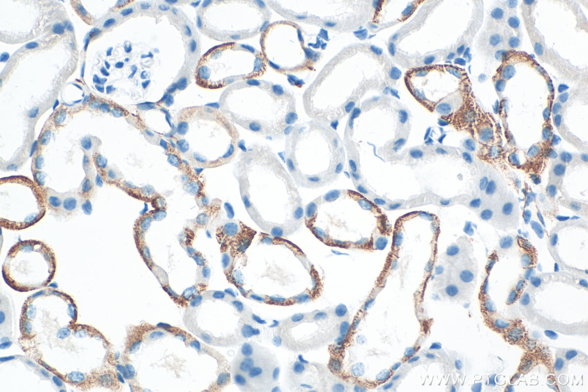
| Positive IHC detected in | mouse kidney tissue Note: suggested antigen retrieval with TE buffer pH 9.0; (*) Alternatively, antigen retrieval may be performed with citrate buffer pH 6.0 |
| Positive IF/ICC detected in | Neuro-2a cells |
Recommended dilution
| Application | Dilution |
|---|---|
| Western Blot (WB) | WB : 1:5000-1:50000 |
| Immunohistochemistry (IHC) | IHC : 1:200-1:800 |
| Immunofluorescence (IF)/ICC | IF/ICC : 1:400-1:1600 |
| It is recommended that this reagent should be titrated in each testing system to obtain optimal results. | |
| Sample-dependent, Check data in validation data gallery. | |
Product Information
86305-2-RR targets L1CAM/CD171 in WB, IHC, IF/ICC, ELISA applications and shows reactivity with mouse, rat samples.
| Tested Reactivity | mouse, rat |
| Host / Isotype | Rabbit / IgG |
| Class | Recombinant |
| Type | Antibody |
| Immunogen |
CatNo: Eg3022 Product name: Recombinant Mouse L1cam protein (rFc Tag) Source: mammalian cells-derived, V37 Tag: C-rFc Domain: 20-1123 aa of N/A Sequence: IQIPDEYKGHHVLEPPVITEQSPRRLVVFPTDDISLKCEARGRPQVEFRWTKDGIHFKPKEELGVVVHEAPYSGSFTIEGNNSFAQRFQGIYRCYASNKLGTAMSHEIQLVAEGAPKWPKETVKPVEVEEGESVVLPCNPPPSAAPPRIYWMNSKIFDIKQDERVSMGQNGDLYFANVLTSDNHSDYICNAHFPGTRTIIQKEPIDLRVKPTNSMIDRKPRLLFPTNSSSRLVALQGQSLILECIAEGFPTPTIKWLHPSDPMPTDRVIYQNHNKTLQLLNVGEEDDGEYTCLAENSLGSARHAYYVTVEAAPYWLQKPQSHLYGPGETARLDCQVQGRPQPEITWRINGMSMETVNKDQKYRIEQGSLILSNVQPTDTMVTQCEARNQHGLLLANAYIYVVQLPARILTKDNQTYMAVEGSTAYLLCKAFGAPVPSVQWLDEEGTTVLQDERFFPYANGTLSIRDLQANDTGRYFCQAANDQNNVTILANLQVKEATQITQGPRSAIEKKGARVTFTCQASFDPSLQASITWRGDGRDLQERGDSDKYFIEDGKLVIQSLDYSDQGNYSCVASTELDEVESRAQLLVVGSPGPVPHLELSDRHLLKQSQVHLSWSPAEDHNSPIEKYDIEFEDKEMAPEKWFSLGKVPGNQTSTTLKLSPYVHYTFRVTAINKYGPGEPSPVSESVVTPEAAPEKNPVDVRGEGNETNNMVITWKPLRWMDWNAPQIQYRVQWRPQGKQETWRKQTVSDPFLVVSNTSTFVPYEIKVQAVNNQGKGPEPQVTIGYSGEDYPQVSPELEDITIFNSSTVLVRWRPVDLAQVKGHLKGYNVTYWWKGSQRKHSKRHIHKSHIVVPANTTSAILSGLRPYSSYHVEVQAFNGRGLGPASEWTFSTPEGVPGHPEALHLECQSDTSLLLHWQPPLSHNGVLTGYLLSYHPVEGESKEQLFFNLSDPELRTHNLTNLNPDLQYRFQLQATTQQGGPGEAIVREGGTMALFGKPDFGNISATAGENYSVVSWVPRKGQCNFRFHILFKALPEGKVSPDHQPQPQYVSYNQSSYTQWNLQPDTKYEIHLIKEKVLLHHLDVKTNGTGPVRVSTTGSFASE Predict reactive species |
| Full Name | L1 cell adhesion molecule |
| Calculated Molecular Weight | 141 kDa |
| Observed Molecular Weight | 210-250 kDa |
| GenBank Accession Number | N/A |
| Gene Symbol | L1cam |
| Gene ID (NCBI) | 16728 |
| Conjugate | Unconjugated |
| Form | Liquid |
| Purification Method | Protein A purification |
| UNIPROT ID | P11627 |
| Storage Buffer | PBS with 0.02% sodium azide and 50% glycerol, pH 7.3. |
| Storage Conditions | Store at -20°C. Stable for one year after shipment. Aliquoting is unnecessary for -20oC storage. 20ul sizes contain 0.1% BSA. |
Background Information
L1CAM, also known as NCAM-L1 or CD171, is a cell adhesion molecule of the immunoglobulin superfamily. It is a 200-220 kDa transmembrane glycoprotein composed of six Ig-like domains and five fibronectin type III repeats followed by a transmembrane region and a highly conserved cytoplasmic tail (PMID: 3412448; 22796939). L1CAM is primarily expressed in the nervous system and is involved in neuron-neuron adhesion, neurite fasciculation, outgrowth of neurites, cerebellar granule cell migration, neurite outgrowth on Schwann cells and interactions among epithelial cells of intestinal crypts (PMID: 3412448; 10767310).
Protocols
| Product Specific Protocols | |
|---|---|
| IF protocol for L1CAM/CD171 antibody 86305-2-RR | Download protocol |
| IHC protocol for L1CAM/CD171 antibody 86305-2-RR | Download protocol |
| WB protocol for L1CAM/CD171 antibody 86305-2-RR | Download protocol |
| Standard Protocols | |
|---|---|
| Click here to view our Standard Protocols |







