Tested Applications
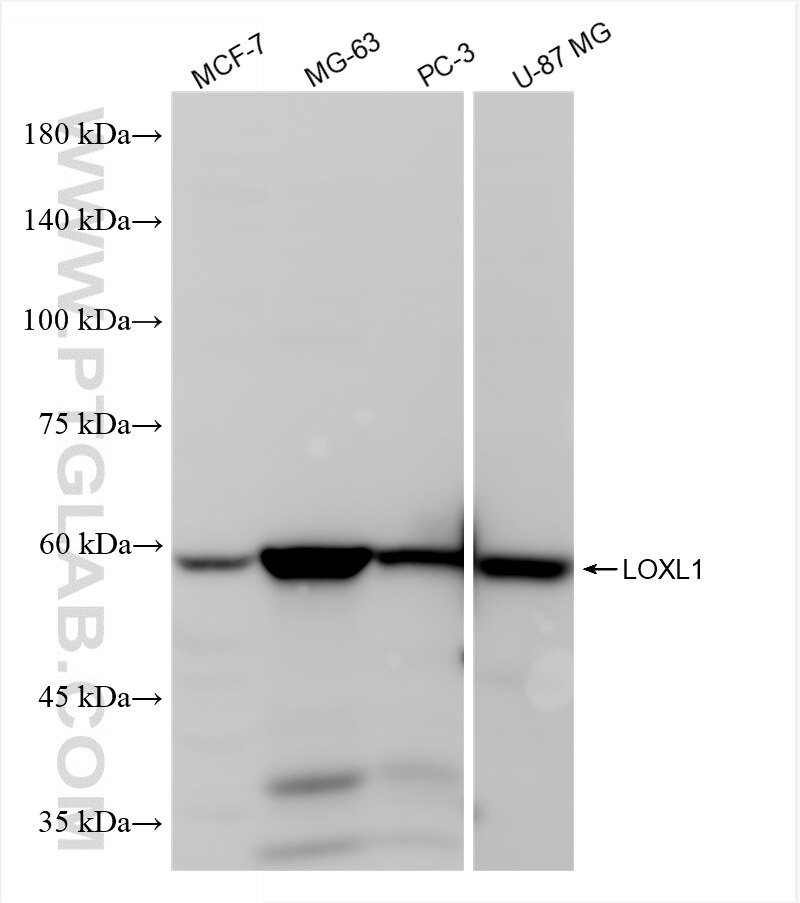
| Positive WB detected in | MCF-7 cells, MG-63 cells, PC-3 cells, U-87 MG cells |
| Positive IF/ICC detected in | U-87 MG cells |
Recommended dilution
| Application | Dilution |
|---|---|
| Western Blot (WB) | WB : 1:5000-1:50000 |
| Immunofluorescence (IF)/ICC | IF/ICC : 1:200-1:800 |
| It is recommended that this reagent should be titrated in each testing system to obtain optimal results. | |
| Sample-dependent, Check data in validation data gallery. | |
Product Information
86534-2-RR targets LOXL1 in WB, IF/ICC, ELISA applications and shows reactivity with human samples.
| Tested Reactivity | human |
| Host / Isotype | Rabbit / IgG |
| Class | Recombinant |
| Type | Antibody |
| Immunogen |
CatNo: Ag24293 Product name: Recombinant human LOXL1 protein Source: e coli.-derived, PET28a Tag: 6*His Domain: 283-366 aa of BC015090 Sequence: TPGFEQAYPDPGPEAAQAHGGDPRLGWYPPYANPPPEAYGPPRALEPPYLPVRSSDTPPPGGERNGAQQGRLSVGSVYRPNQNG Predict reactive species |
| Full Name | lysyl oxidase-like 1 |
| Calculated Molecular Weight | 63 kDa |
| Observed Molecular Weight | 60-63 kDa |
| GenBank Accession Number | BC015090 |
| Gene Symbol | LOXL1 |
| Gene ID (NCBI) | 4016 |
| Conjugate | Unconjugated |
| Form | Liquid |
| Purification Method | Protein A purification |
| UNIPROT ID | Q08397 |
| Storage Buffer | PBS with 0.02% sodium azide and 50% glycerol, pH 7.3. |
| Storage Conditions | Store at -20°C. Stable for one year after shipment. Aliquoting is unnecessary for -20oC storage. 20ul sizes contain 0.1% BSA. |
Background Information
Three LOXL1 variants are seen: a band of 64 kDa matching the predicted full-length form lacking the secretory signal peptide, a band of 67 kDa presumed to be the full-length form with the signal peptide, and a band of 36 kDa matching the cleavage product.
Protocols
| Product Specific Protocols | |
|---|---|
| IF protocol for LOXL1 antibody 86534-2-RR | Download protocol |
| WB protocol for LOXL1 antibody 86534-2-RR | Download protocol |
| Standard Protocols | |
|---|---|
| Click here to view our Standard Protocols |



