MAG/Siglec-4a Recombinant monoclonal antibody

MAG/Siglec-4a Uni-rAb® Recombinant Antibody for WB, IHC, ELISA
Cat No. 86073-2-RR
Clone No.250740G9

Host / Isotype

Rabbit / IgG

Reactivity

mouse, rat

Applications

WB, IHC, ELISA

1B236, Brain neuron cytoplasmic protein 3, Mag, Myelin-associated glycoprotein, Sialic acid-binding Ig-like lectin 4a

Formulation:  PBS, Azide, Glycerol
PBS, Azide, Glycerol
PBS Only
Conjugate:  Unconjugated
Unconjugated
Size/Concentration: 

-/ -

Freight/Packing: -

Quantity

Please visit your regions distributor:


Tested Applications

Positive WB detected inrat brain tissue, unboiled rat brain tissue, rat cerebellum tissue, mouse brain tissue, rat spinal cord tissue
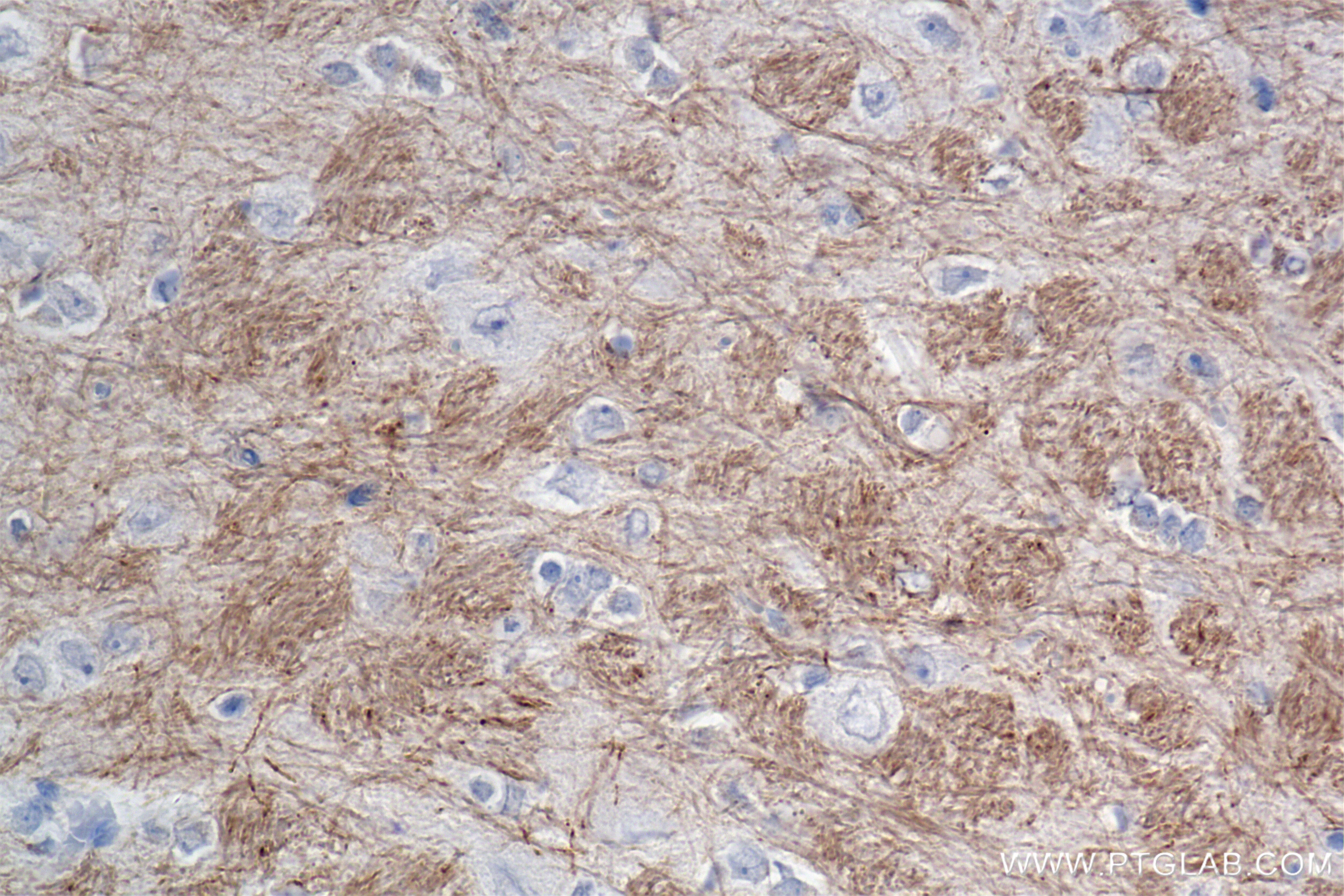
Positive IHC detected inrat brain tissue
Note: suggested antigen retrieval with TE buffer pH 9.0; (*) Alternatively, antigen retrieval may be performed with citrate buffer pH 6.0

Recommended dilution

ApplicationDilution
Western Blot (WB)WB : 1:5000-1:50000
Immunohistochemistry (IHC)IHC : 1:500-1:2000
It is recommended that this reagent should be titrated in each testing system to obtain optimal results.
Sample-dependent, Check data in validation data gallery.

Product Information

86073-2-RR targets MAG/Siglec-4a in WB, IHC, ELISA applications and shows reactivity with mouse, rat samples.

Tested Reactivity mouse, rat
Host / Isotype Rabbit / IgG
Class Recombinant
Type Antibody
Immunogen

CatNo: Eg3251

Product name: Recombinant Rat MAG protein (rFc Tag)

Source: mammalian cells-derived, pHZ-KIsec-C-rFc

Tag: C-rFc

Domain: 20-516 aa of NM_017190.4

Sequence: GHWGAWMPSSISAFEGTCVSIPCRFDFPDELRPAVVHGVWYFNSPYPKNYPPVVFKSRTQVVHESFQGRSRLLGDLGLRNCTLLLSTLSPELGGKYYFRGDLGGYNQYTFSEHSVLDIINTPNIVVPPEVVAGTEVEVSCMVPDNCPELRPELSWLGHEGLGEPTVLGRLREDEGTWVQVSLLHFVPTREANGHRLGCQAAFPNTTLQFEGYASLDVKYPPVIVEMNSSVEAIEGSHVSLLCGADSNPPPLLTWMRDGMVLREAVAESLYLDLEEVTPAEDGIYACLAENAYGQDNRTVELSVMYAPWKPTVNGTVVAVEGETVSILCSTQSNPDPILTIFKEKQILATVIYESQLQLELPAVTPEDDGEYWCVAENQYGQRATAFNLSVEFAPIILLESHCAAARDTVQCLCVVKSNPEPSVAFELPSRNVTVNETEREFVYSERSGLLLTSILTLRGQAQAPPRVICTSRNLYGTQSLELPFQGAHRLMWAKIGP

Predict reactive species
Full Name myelin-associated glycoprotein
Calculated Molecular Weight69 kDa
Observed Molecular Weight70-100 kDa
GenBank Accession NumberNM_017190.4
Gene Symbol Mag
Gene ID (NCBI) 29409
Conjugate Unconjugated
FormLiquid
Purification MethodProtein A purification
UNIPROT IDP07722-1
Storage Buffer PBS with 0.02% sodium azide and 50% glycerol, pH 7.3.
Storage ConditionsStore at -20°C. Stable for one year after shipment. Aliquoting is unnecessary for -20oC storage. 20ul sizes contain 0.1% BSA.

Protocols

Product Specific Protocols
IHC protocol for MAG/Siglec-4a antibody 86073-2-RRDownload protocol
WB protocol for MAG/Siglec-4a antibody 86073-2-RRDownload protocol
Standard Protocols
Click here to view our Standard Protocols
Loading...
||
New chat

Able

正在加载,请稍候...