MAG/Siglec-4a Recombinant monoclonal antibody

MAG/Siglec-4a Uni-rAb® Recombinant Antibody for WB, IHC, IF-P, ELISA
Cat No. 86073-3-RR
Clone No.250740E3

Host / Isotype

Rabbit / IgG

Reactivity

mouse, rat

Applications

WB, IHC, IF-P, ELISA

1B236, Brain neuron cytoplasmic protein 3, Mag, Myelin-associated glycoprotein, Sialic acid-binding Ig-like lectin 4a

Formulation:  PBS, Azide, Glycerol
PBS, Azide, Glycerol
PBS Only
Conjugate:  Unconjugated
Unconjugated
Size/Concentration: 

-/ -

Freight/Packing: -

Quantity

Please visit your regions distributor:


Tested Applications

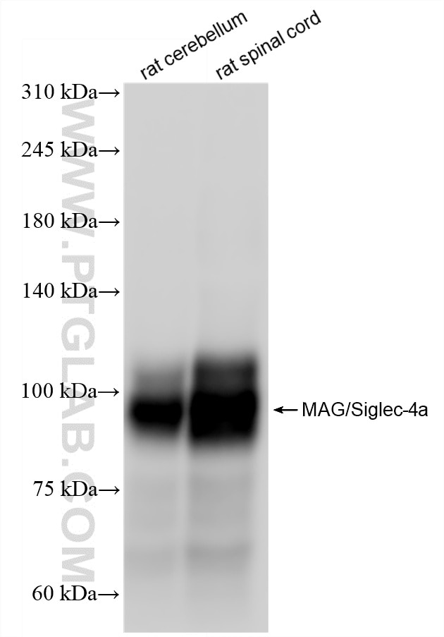
Positive WB detected inrat brain tissue, mouse brain tissue, unboiled rat brain tissue, rat cerebellum tissue, rat spinal cord tissue
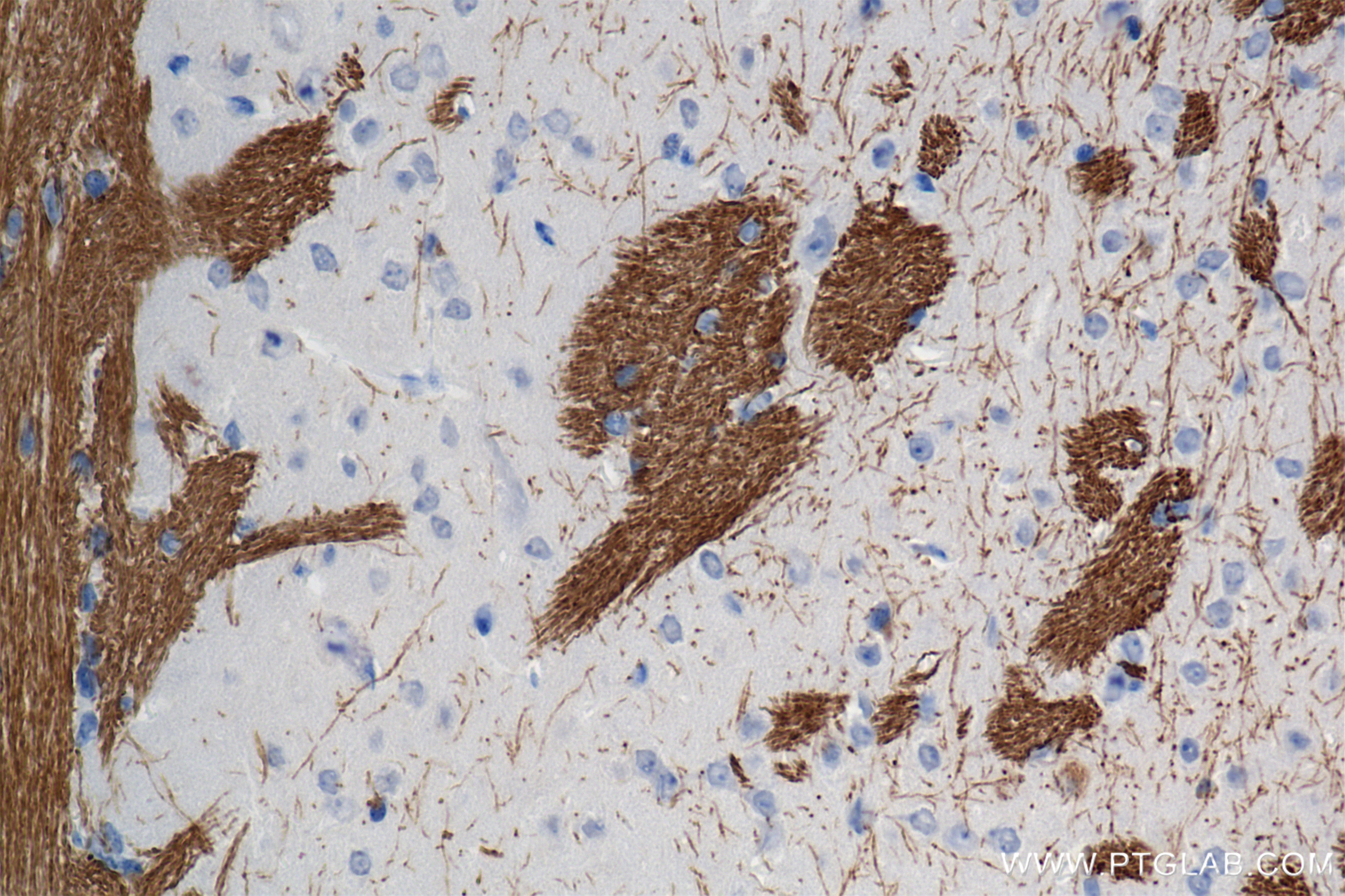
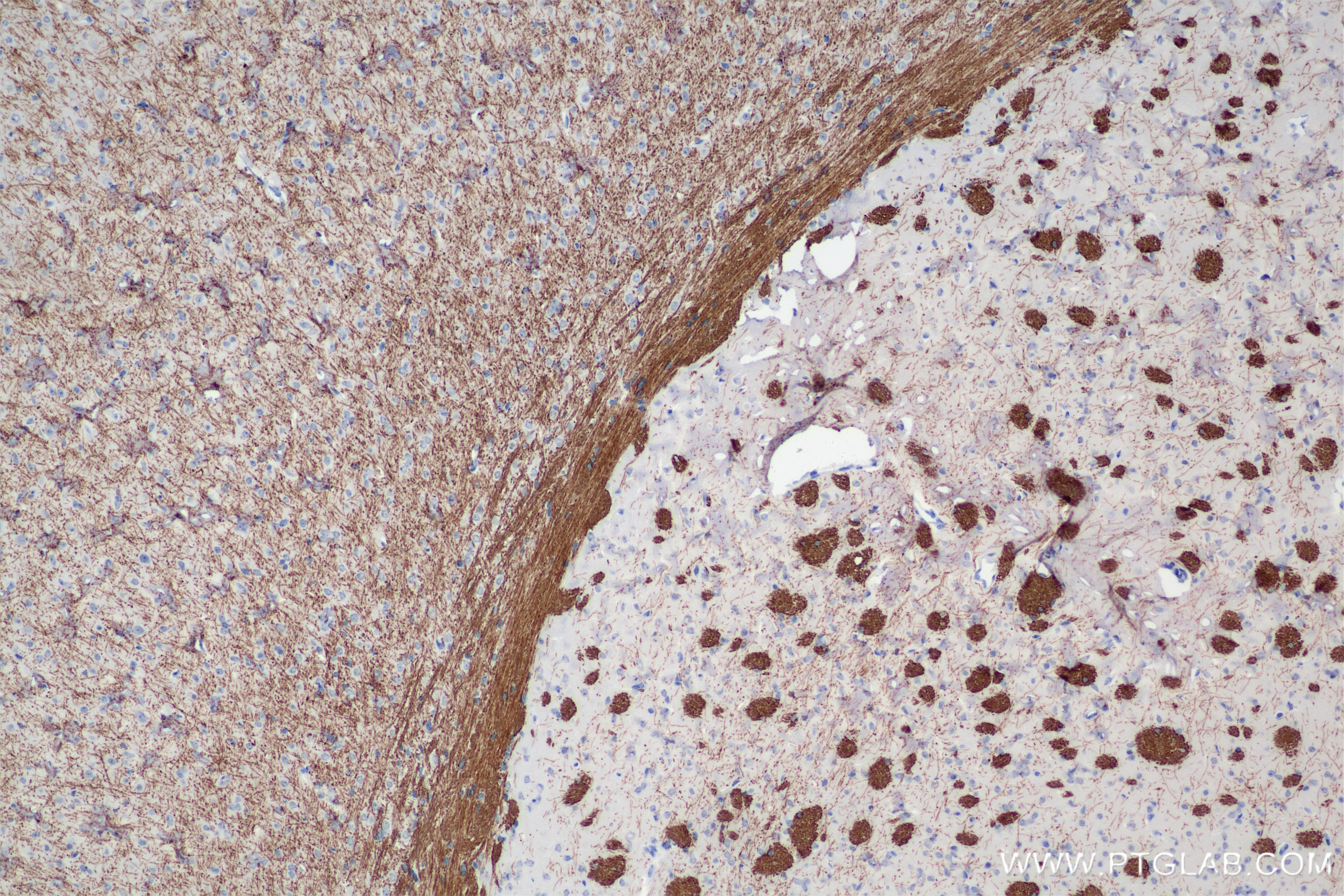
Positive IHC detected inmouse brain tissue, rat brain tissue
Note: suggested antigen retrieval with TE buffer pH 9.0; (*) Alternatively, antigen retrieval may be performed with citrate buffer pH 6.0
Positive IF-P detected inrat brain tissue

Recommended dilution

ApplicationDilution
Western Blot (WB)WB : 1:5000-1:50000
Immunohistochemistry (IHC)IHC : 1:250-1:1000
Immunofluorescence (IF)-PIF-P : 1:50-1:500
It is recommended that this reagent should be titrated in each testing system to obtain optimal results.
Sample-dependent, Check data in validation data gallery.

Product Information

86073-3-RR targets MAG/Siglec-4a in WB, IHC, IF-P, ELISA applications and shows reactivity with mouse, rat samples.

Tested Reactivity mouse, rat
Host / Isotype Rabbit / IgG
Class Recombinant
Type Antibody
Immunogen

CatNo: Eg3251

Product name: Recombinant Rat MAG protein (rFc Tag)

Source: mammalian cells-derived, pHZ-KIsec-C-rFc

Tag: C-rFc

Domain: 20-516 aa of NM_017190.4

Sequence: GHWGAWMPSSISAFEGTCVSIPCRFDFPDELRPAVVHGVWYFNSPYPKNYPPVVFKSRTQVVHESFQGRSRLLGDLGLRNCTLLLSTLSPELGGKYYFRGDLGGYNQYTFSEHSVLDIINTPNIVVPPEVVAGTEVEVSCMVPDNCPELRPELSWLGHEGLGEPTVLGRLREDEGTWVQVSLLHFVPTREANGHRLGCQAAFPNTTLQFEGYASLDVKYPPVIVEMNSSVEAIEGSHVSLLCGADSNPPPLLTWMRDGMVLREAVAESLYLDLEEVTPAEDGIYACLAENAYGQDNRTVELSVMYAPWKPTVNGTVVAVEGETVSILCSTQSNPDPILTIFKEKQILATVIYESQLQLELPAVTPEDDGEYWCVAENQYGQRATAFNLSVEFAPIILLESHCAAARDTVQCLCVVKSNPEPSVAFELPSRNVTVNETEREFVYSERSGLLLTSILTLRGQAQAPPRVICTSRNLYGTQSLELPFQGAHRLMWAKIGP

Predict reactive species
Full Name myelin-associated glycoprotein
Calculated Molecular Weight69 kDa
Observed Molecular Weight70-100 kDa
GenBank Accession NumberNM_017190.4
Gene Symbol Mag
Gene ID (NCBI) 29409
Conjugate Unconjugated
FormLiquid
Purification MethodProtein A purification
UNIPROT IDP07722-1
Storage Buffer PBS with 0.02% sodium azide and 50% glycerol, pH 7.3.
Storage ConditionsStore at -20°C. Stable for one year after shipment. Aliquoting is unnecessary for -20oC storage. 20ul sizes contain 0.1% BSA.

Protocols

Product Specific Protocols
IF protocol for MAG/Siglec-4a antibody 86073-3-RRDownload protocol
IHC protocol for MAG/Siglec-4a antibody 86073-3-RRDownload protocol
WB protocol for MAG/Siglec-4a antibody 86073-3-RRDownload protocol
Standard Protocols
Click here to view our Standard Protocols
Loading...
||
New chat

Able

正在加载,请稍候...