Tested Applications
| Positive WB detected in | rat lung tissue, rat liver tissue |
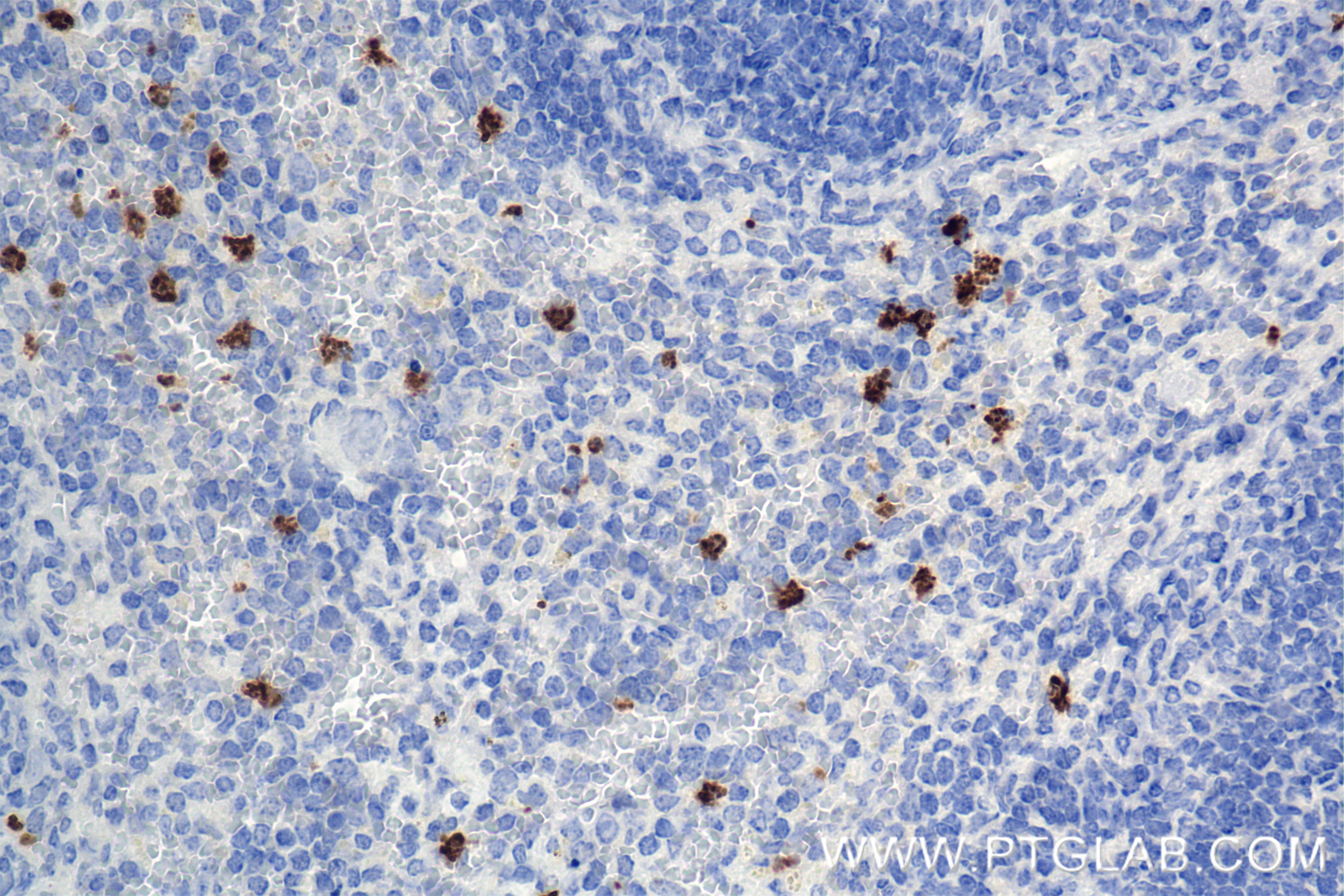
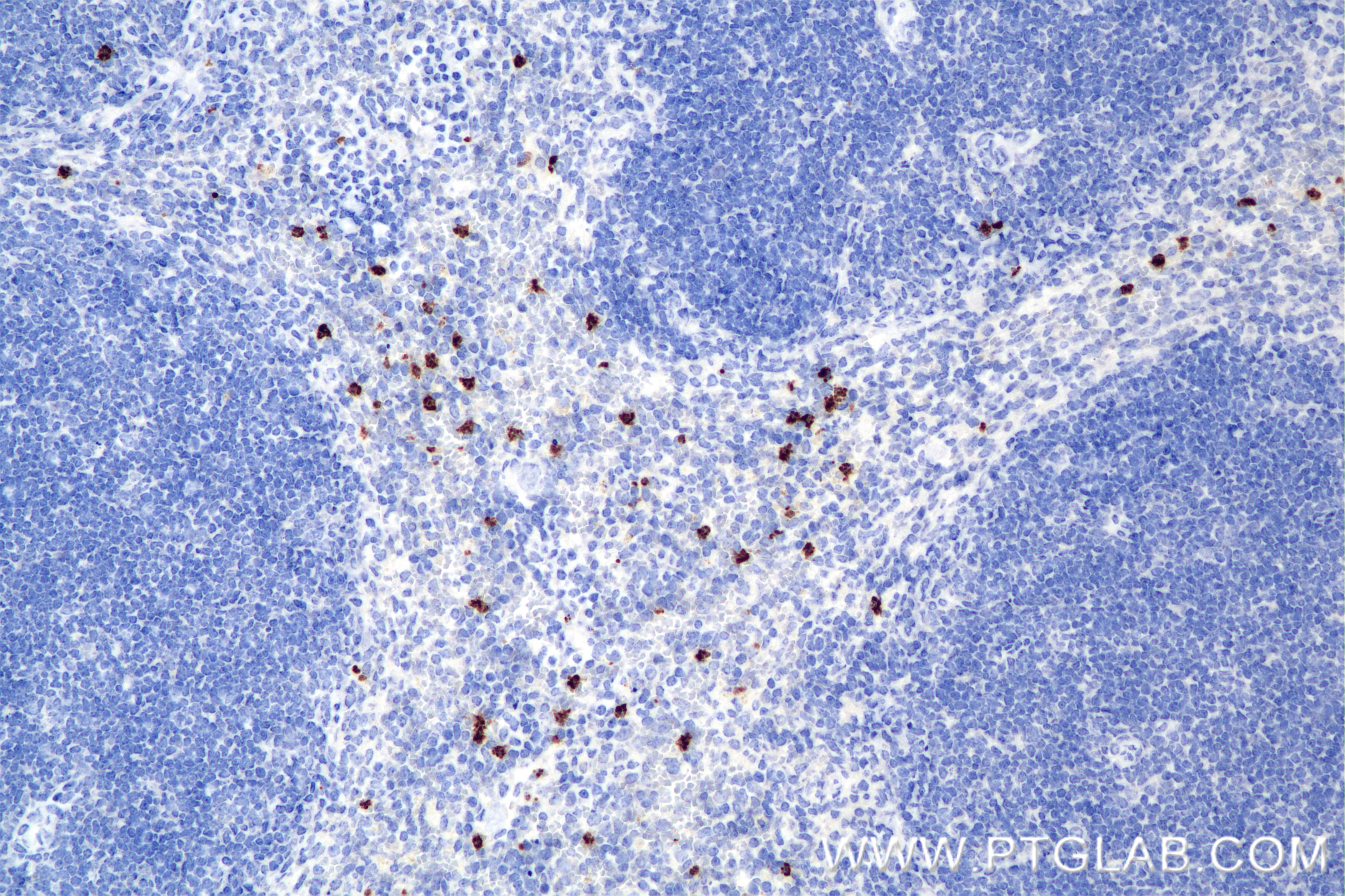
| Positive IHC detected in | mouse spleen tissue Note: suggested antigen retrieval with TE buffer pH 9.0; (*) Alternatively, antigen retrieval may be performed with citrate buffer pH 6.0 |
Recommended dilution
| Application | Dilution |
|---|---|
| Western Blot (WB) | WB : 1:5000-1:50000 |
| Immunohistochemistry (IHC) | IHC : 1:1000-1:4000 |
| It is recommended that this reagent should be titrated in each testing system to obtain optimal results. | |
| Sample-dependent, Check data in validation data gallery. | |
Product Information
85211-4-RR targets MMP8 in WB, IHC, ELISA applications and shows reactivity with rat samples.
| Tested Reactivity | rat |
| Host / Isotype | Rabbit / IgG |
| Class | Recombinant |
| Type | Antibody |
| Immunogen |
CatNo: Eg3278 Product name: Recombinant Rat MMP-8 protein (rFc Tag) Source: mammalian cells-derived, pHZ-KIsec-C-rFc Tag: C-rFc Domain: 21-466 aa of NM_022221.1 Sequence: LPVPPEHLEEKNMKTAENYLRKFYHLPSNQFRSARNATMIAEKLKEMQRFFGLPETGKPDAATIEIMEKPRCGVPDSGDFLLTPGSPKWTHTNLTYRIINHTPQMSKAEVKTEIEKAFKIWSVPSTLTFTETLEGEADINIAFVSRDHGDNSPFDGPNGILAHAFQPGRGIGGDAHFDSEETWTQDSKNYNLFLVAAHEFGHSLGLSHSTDPGALMYPNYAYREPSTYSLPQDDINGIQTIYGPSDNPVQPTGPSTPTACDPHLRFDAATTLRGEIYFFKDKYFWRRHPQLRTVDLNFISLFWPFLPNGLQAAYEDFDRDLVFLFKGRQYWALSAYDLQQGYPRDISNYGFPRSVQAIDAAVSYNGKTYFFVNNQCWRYDNQRRSMDPGYPTSIASVFPGINCRIDAVFQQDSFFLFFSGPQYFAFNLVSRRVTRVARSNLWLNCP Predict reactive species |
| Full Name | matrix metallopeptidase 8 |
| Calculated Molecular Weight | 53 kDa |
| Observed Molecular Weight | 60-70 kDa |
| GenBank Accession Number | NM_022221.1 |
| Gene Symbol | Mmp8 |
| Gene ID (NCBI) | 63849 |
| Conjugate | Unconjugated |
| Form | Liquid |
| Purification Method | Protein A purification |
| UNIPROT ID | O88766 |
| Storage Buffer | PBS with 0.02% sodium azide and 50% glycerol, pH 7.3. |
| Storage Conditions | Store at -20°C. Stable for one year after shipment. Aliquoting is unnecessary for -20oC storage. 20ul sizes contain 0.1% BSA. |
Background Information
MMP8(Matrix metalloproteinase-8) an enzyme that degrades fibrillar collagens imparting strength to the fetal membranes, is expressed by leukocytes and chorionic cytotrophoblast cells(PMID:15367487). Purified human neutrophil MMP-8 with proeMMP-8 at 70-75 KDa and active enzyme at 65 KDa and amniochorion proenzyme and active enzyme at 65 and 50 KDa, respectively(PMID: 28772283, PMID:15042023).
Protocols
| Product Specific Protocols | |
|---|---|
| IHC protocol for MMP8 antibody 85211-4-RR | Download protocol |
| WB protocol for MMP8 antibody 85211-4-RR | Download protocol |
| Standard Protocols | |
|---|---|
| Click here to view our Standard Protocols |





