Tested Applications
| Positive WB detected in | mouse brain tissue, rat brain tissue, pig brain tissue |
Recommended dilution
| Application | Dilution |
|---|---|
| Western Blot (WB) | WB : 1:5000-1:50000 |
| It is recommended that this reagent should be titrated in each testing system to obtain optimal results. | |
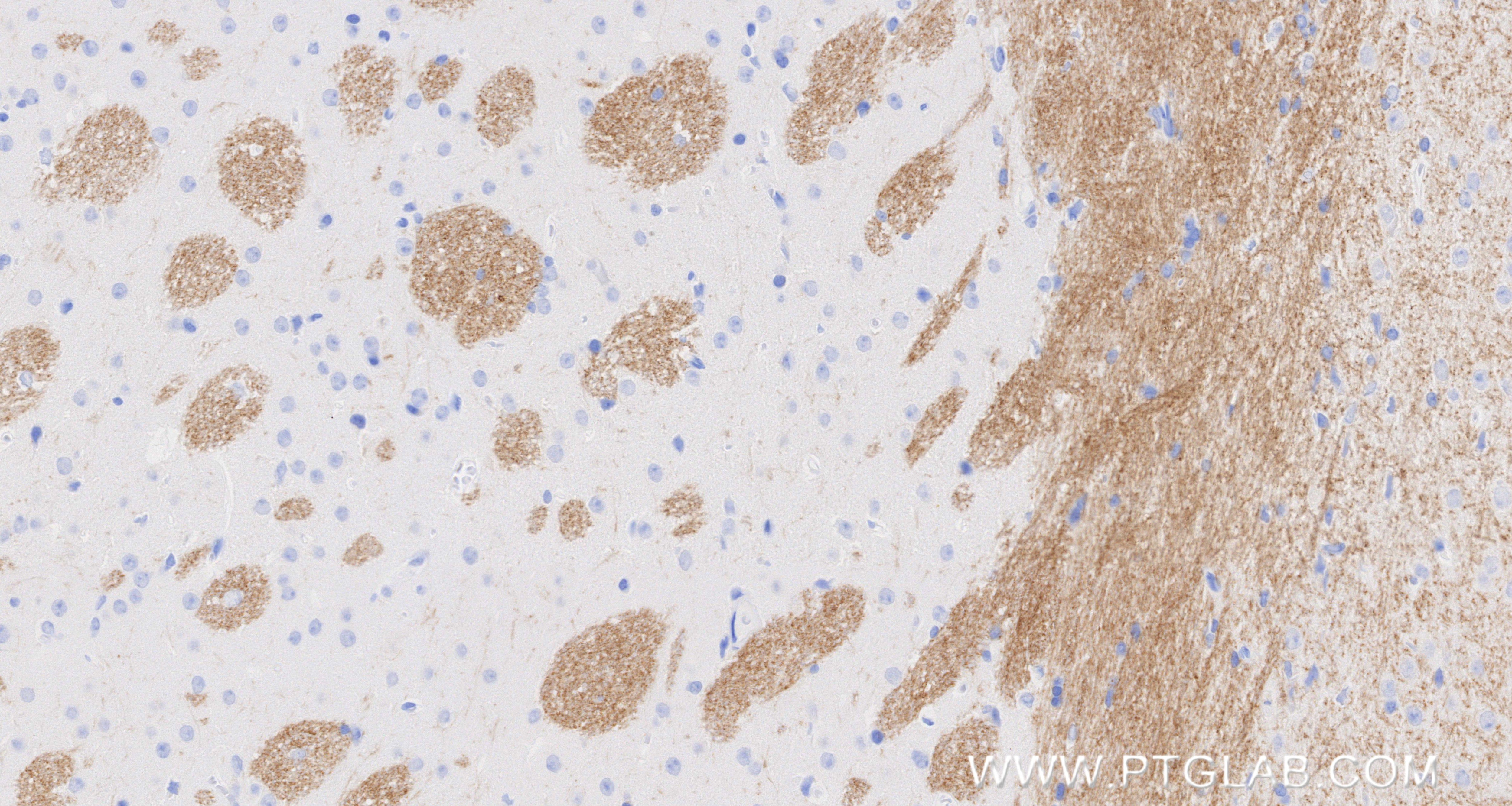
| Sample-dependent, Check data in validation data gallery. | |
Product Information
83063-6-RR targets MOG in WB, ELISA applications and shows reactivity with human, mouse, rat, pig samples.
| Tested Reactivity | human, mouse, rat, pig |
| Host / Isotype | Rabbit / IgG |
| Class | Recombinant |
| Type | Antibody |
| Immunogen |
CatNo: Eg2878 Product name: Recombinant Human MOG protein (rFc Tag) (HPLC verified) Source: mammalian cells-derived, V37 Tag: C-rFc Domain: 30-154 aa of N/A Sequence: GQFRVIGPRHPIRALVGDEVELPCRISPGKNATGMEVGWYRPPFSRVVHLYRNGKDQDGDQAPEYRGRTELLKDAIGEGKVTLRIRNVRFSDEGGFTCFFRDHSYQEEAAMELKVEDPFYWVSPG Predict reactive species |
| Full Name | myelin oligodendrocyte glycoprotein |
| Calculated Molecular Weight | 24 kDa |
| Observed Molecular Weight | 25-28 kDa |
| GenBank Accession Number | N/A |
| Gene Symbol | MOG |
| Gene ID (NCBI) | 4340 |
| Conjugate | Unconjugated |
| Form | Liquid |
| Purification Method | Protein A purification |
| UNIPROT ID | Q16653-1 |
| Storage Buffer | PBS with 0.02% sodium azide and 50% glycerol, pH 7.3. |
| Storage Conditions | Store at -20°C. Stable for one year after shipment. Aliquoting is unnecessary for -20oC storage. 20ul sizes contain 0.1% BSA. |
Background Information
Myelin/oligodendrocyte glycoprotein (MOG), a 23~28 kDa glycoprotein, a myelin antigen at the outer surface of the central nervous system (CNS) myelin sheath, which may trigger T-cell as well as B-cell responses. It therefore constitutes a pivotal target for autoimmune responses, which result in inflammation and also demyelination in the CNS. Its presence on the outer- most lamellae of mature CNS myelin and its late appearance during myelinogenesis suggest that it contributes to myelin maturation or maintenance. 10 isoforms of MOG produced by alternative splicing have been described, and heterodimers may be formed between the different isoforms. Defects in MOG are the cause of narcolepsy type 7 (NRCLP7), a neurological disabling sleep disorder characterized by excessive daytime sleepiness, sleep fragmentation, symptoms of abnormal rapid-eye-movement (REM) sleep, cataplexy, hypnagogic hallucinations, and sleep paralysis. Role of MOG in the pathogenesis of multiple sclerosis (MS) has been reported but remains to be clarified.
Protocols
| Product Specific Protocols | |
|---|---|
| WB protocol for MOG antibody 83063-6-RR | Download protocol |
| Standard Protocols | |
|---|---|
| Click here to view our Standard Protocols |

