Tested Applications
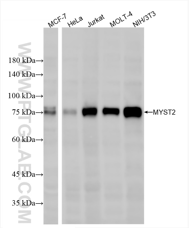
| Positive WB detected in | MCF-7 cells, HeLa cells, Jurkat cells, MOLT-4 cells, NIH/3T3 cells |
Recommended dilution
| Application | Dilution |
|---|---|
| Western Blot (WB) | WB : 1:2000-1:10000 |
| It is recommended that this reagent should be titrated in each testing system to obtain optimal results. | |
| Sample-dependent, Check data in validation data gallery. | |
Product Information
86486-1-RR targets MYST2 in WB, ELISA applications and shows reactivity with human, mouse samples.
| Tested Reactivity | human, mouse |
| Host / Isotype | Rabbit / IgG |
| Class | Recombinant |
| Type | Antibody |
| Immunogen |
CatNo: Ag4693 Product name: Recombinant human MYST2 protein Source: e coli.-derived, PGEX-4T Tag: GST Domain: 1-370 aa of BC032640 Sequence: MPRRKRNAGSSSDGTEDSDFSTDLEHTDSSESDGTSRRSARVTRSSARLSQSSQDSSPVRNLQSFGTEEPAYSTRRVTRSQQQPTPVTPKKYPLRQTRSSGSETEQVVDFSDRETKNTADHDESPPRTPTGNAPSSESDIDISSPNVSHDESIAKDMSLKDSGSDLSHRPKRRRFHESYNFNMKCPTPGCNSLGHLTGKHERHFSISGCPLYHNLSADECKVRAQSRDKQIEERMLSHRQDDNNRHATRHQAPTERQLRYKEKVAELRKKRNSGLSKEQKEKYMEHRQTYGNTREPLLENLTSEYDLDLFRRAQARASEDLEKLRLQGQITEGSNMIKTIAFGRYELDTWYHSPYPEEYARLGRLYMCEF Predict reactive species |
| Full Name | MYST histone acetyltransferase 2 |
| Calculated Molecular Weight | 611 aa, 71 kDa |
| Observed Molecular Weight | 71-75 kDa |
| GenBank Accession Number | BC032640 |
| Gene Symbol | MYST2 |
| Gene ID (NCBI) | 11143 |
| Conjugate | Unconjugated |
| Form | Liquid |
| Purification Method | Protein A purification |
| UNIPROT ID | O95251 |
| Storage Buffer | PBS with 0.02% sodium azide and 50% glycerol, pH 7.3. |
| Storage Conditions | Store at -20°C. Stable for one year after shipment. Aliquoting is unnecessary for -20oC storage. 20ul sizes contain 0.1% BSA. |
Background Information
MYST2, also named as HBO1, HBOa MOZ, YBF2/SAS3, SAS2 and TIP60 protein 2, belongs to the MYST (SAS/MOZ) family. It specifically represses AR mediated transcription. MYST2 is a candidate oncogene. It enhances the anchorage-independent growth of breast cancer cells.(PMID:19372580) MYST2 is a histone acetyltransferase (HAT) which could exert oncogenic function in breast cancer. It is an important downstream molecule of ERa, and ERK1/2 signaling pathway may involved in the expression of HBO1 increased by E2.
Protocols
| Product Specific Protocols | |
|---|---|
| WB protocol for MYST2 antibody 86486-1-RR | Download protocol |
| Standard Protocols | |
|---|---|
| Click here to view our Standard Protocols |



