NKCC1/SLC12A2 Recombinant monoclonal antibody

NKCC1/SLC12A2 Uni-rAb® Recombinant Antibody for WB, IHC, ELISA
Cat No. 86201-1-RR
Clone No.250829D8

Host / Isotype

Rabbit / IgG

Reactivity

human, mouse

Applications

WB, IHC, ELISA

NKCC1, SLC12A2, Basolateral Na K Cl symporter, Basolateral Na-K-Cl symporter, BSC

Formulation:  PBS, Azide, Glycerol
PBS, Azide, Glycerol
PBS Only
Conjugate:  Unconjugated
Unconjugated
Size/Concentration: 

-/ -

Freight/Packing: -

Quantity

Please visit your regions distributor:


Tested Applications

Positive WB detected in37°C incubated mouse brain tissue
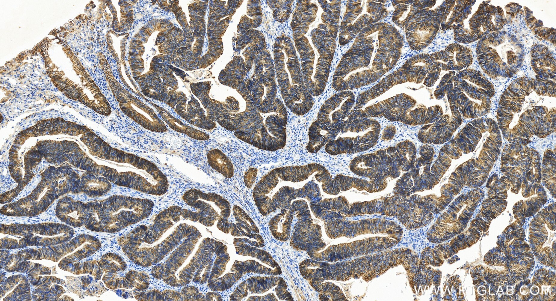
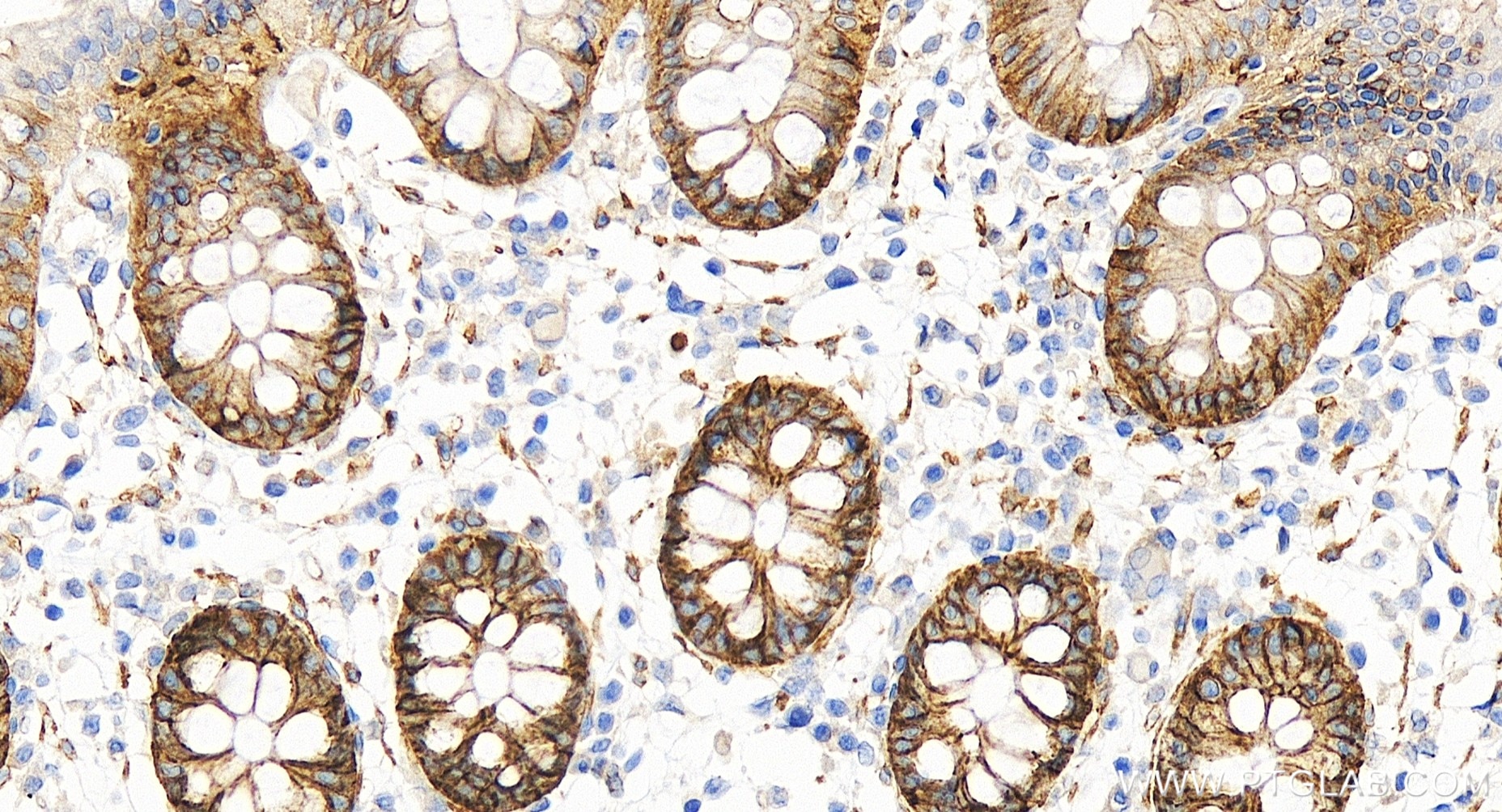
Positive IHC detected inhuman colon cancer tissue, human colon tissue
Note: suggested antigen retrieval with TE buffer pH 9.0; (*) Alternatively, antigen retrieval may be performed with citrate buffer pH 6.0

Recommended dilution

ApplicationDilution
Western Blot (WB)WB : 1:1000-1:4000
Immunohistochemistry (IHC)IHC : 1:250-1:1000
It is recommended that this reagent should be titrated in each testing system to obtain optimal results.
Sample-dependent, Check data in validation data gallery.

Product Information

86201-1-RR targets NKCC1/SLC12A2 in WB, IHC, ELISA applications and shows reactivity with human, mouse samples.

Tested Reactivity human, mouse
Host / Isotype Rabbit / IgG
Class Recombinant
Type Antibody
Immunogen

CatNo: Ag4991

Product name: Recombinant human SLC12A2 protein

Source: e coli.-derived, PGEX-4T

Tag: GST

Domain: 759-1150 aa of BC033003

Sequence: GSSTQALTYLNALQHSIRLSGVEDHVKNFRPQCLVMTGAPNSRPALLHLVHDFTKNVGLMICGHVHMGPRRQAMKEMSIDQAKYQRWLIKNKMKAFYAPVHADDLREGAQYLMQAAGLGRMKPNTLVLGFKKDWLQADMRDVDMYINLFHDAFDIQYGVVVIRLKEGLDISHLQGQEELLSSQEKSPGTKDVVVSVEYSKKSDLDTSKPLSEKPITHKVEEEDGKTATQPLLKKESKGPIVPLNVADQKLLEASTQFQKKQGKNTIDVWWLFDDGGLTLLIPYLLTTKKKWKDCKIRVFIGGKINRIDHDRRAMATLLSKFRIDFSDIMVLGDINTKPKKENIIAFEEIIEPYRLHEDDKEQDIADKMKEDEPWRITDNELELYKTKFYEPC

Predict reactive species
Full Name solute carrier family 12 (sodium/potassium/chloride transporters), member 2
Calculated Molecular Weight 131 kDa
Observed Molecular Weight 150-160 kDa
GenBank Accession NumberBC033003
Gene Symbol NKCC1/SLC12A2
Gene ID (NCBI) 6558
Conjugate Unconjugated
FormLiquid
Purification MethodProtein A purification
UNIPROT IDP55011
Storage Buffer PBS with 0.02% sodium azide and 50% glycerol, pH 7.3.
Storage ConditionsStore at -20°C. Stable for one year after shipment. Aliquoting is unnecessary for -20oC storage. 20ul sizes contain 0.1% BSA.

Background Information

The Na-K-Cl cotransporter sodium-potassium-chloride cotransporter 1 (NKCC1), encoded by the SLC12A2 gene, is an intensively studied member of the CCC family. NKCC1 is a membrane protein and plays fundamental roles in regulating trans-epithelial ion movement, cell volume, chloride homeostasis and neuronal excitability. NKCC1 assembles into a dimer, with the first ten transmembrane (TM) helices harboring the transport core and TM11-TM12 helices lining the dimer interface(PMID: 32081947). The observed molecular weight of NKCC1 is about 140 kDa, glycosylated NKCC1 is detected a band at ∼170 kDa (PMID: 22723696).

Protocols

Product Specific Protocols
IHC protocol for NKCC1/SLC12A2 antibody 86201-1-RRDownload protocol
WB protocol for NKCC1/SLC12A2 antibody 86201-1-RRDownload protocol
Standard Protocols
Click here to view our Standard Protocols
Loading...
||
New chat

Able

正在加载,请稍候...