Tested Applications
| Positive WB detected in | HeLa cells, K-562 cells, IMR-32 cells, Neuro-2a cells, C6 cells |
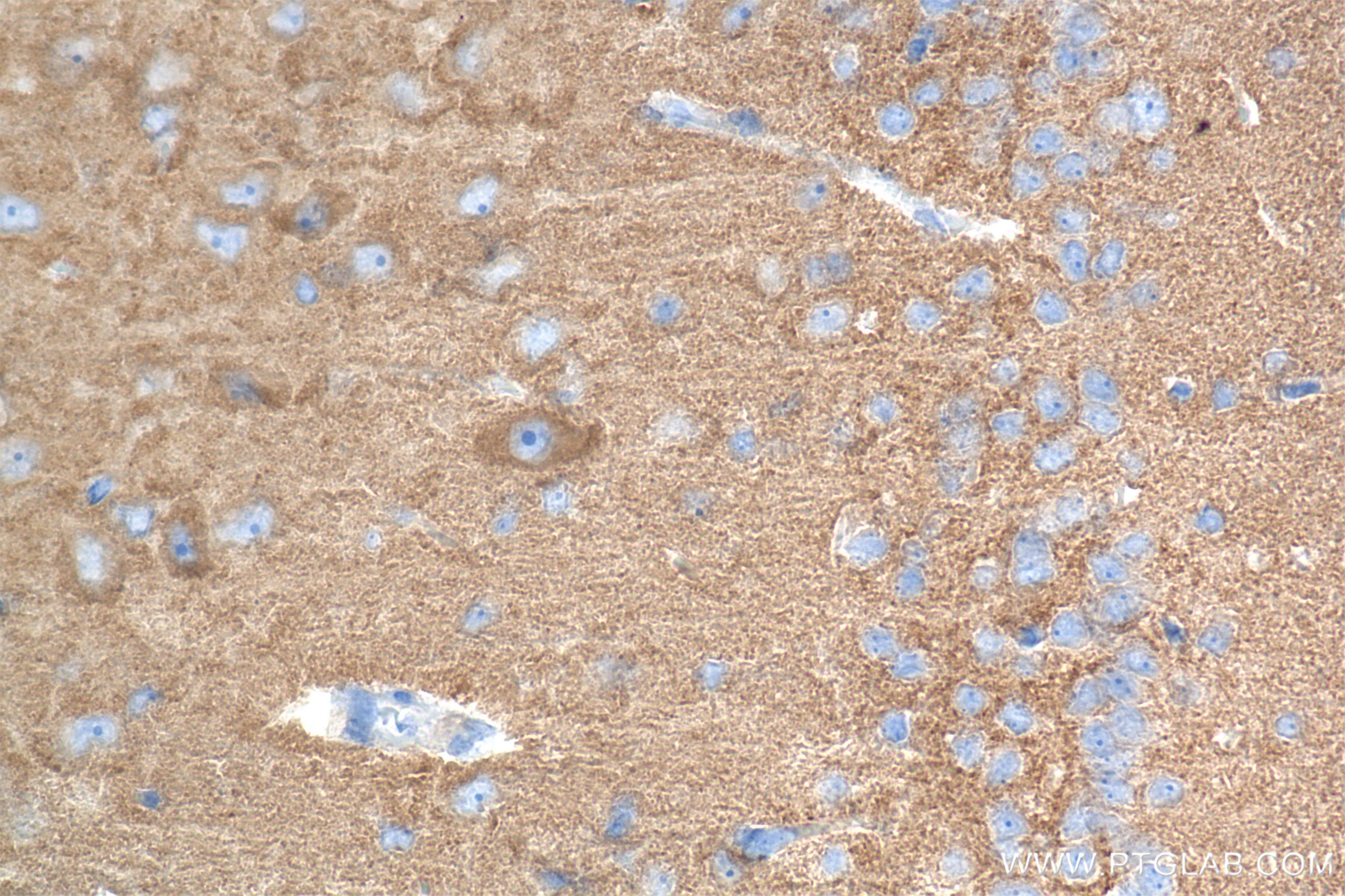
| Positive IHC detected in | mouse brain tissue, rat brain tissue Note: suggested antigen retrieval with TE buffer pH 9.0; (*) Alternatively, antigen retrieval may be performed with citrate buffer pH 6.0 |
Recommended dilution
| Application | Dilution |
|---|---|
| Western Blot (WB) | WB : 1:5000-1:50000 |
| Immunohistochemistry (IHC) | IHC : 1:300-1:1200 |
| It is recommended that this reagent should be titrated in each testing system to obtain optimal results. | |
| Sample-dependent, Check data in validation data gallery. | |
Product Information
86359-3-RR targets OXR1 in WB, IHC, ELISA applications and shows reactivity with human, mouse, rat samples.
| Tested Reactivity | human, mouse, rat |
| Host / Isotype | Rabbit / IgG |
| Class | Recombinant |
| Type | Antibody |
| Immunogen |
CatNo: Ag4439 Product name: Recombinant human OXR1 protein Source: e coli.-derived, PGEX-4T Tag: GST Domain: 1-351 aa of BC032710 Sequence: MSFQKPKGTIEYTVESRDSLNSIALKFDTTPNELVQLNKLFSRAVVTGQVLYVPDPEYVSSVESSPSLSPVSPLSPTSSEAEFDKTTNPDVHPTEATPSSTFTGIRPARVVSSTSEEEEAFTEKFLKINCKYITSGKGTVSGVLLVTPNNIMFDPHKNDPLVQENGCEEYGIMCPMEEVMSAAMYKEILDSKIKESLPIDIDQLSGRDFCHSKKMTGSNTEEIDSRIRDAGNDSASTAPRSTEESLSEDVFTESELSPIREELVSSDELRQDKSSGASSESVQTVNQAEVESLTVKSESTGTPGHLRSDTEHSTNEVGTLCHKTDLNNLEMAIKEDQIADNFQGISGPKED Predict reactive species |
| Full Name | oxidation resistance 1 |
| Calculated Molecular Weight | 758 aa, 85 kDa |
| Observed Molecular Weight | 120-140 kDa |
| GenBank Accession Number | BC032710 |
| Gene Symbol | OXR1 |
| Gene ID (NCBI) | 55074 |
| Conjugate | Unconjugated |
| Form | Liquid |
| Purification Method | Protein A purification |
| UNIPROT ID | Q8N573 |
| Storage Buffer | PBS with 0.02% sodium azide and 50% glycerol, pH 7.3. |
| Storage Conditions | Store at -20°C. Stable for one year after shipment. Aliquoting is unnecessary for -20oC storage. 20ul sizes contain 0.1% BSA. |
Background Information
Oxidation resistance protein 1 (OXR1) belongs to the OXR1 family. The major function of OXR1 is to control the expression of genes that alleviate oxidative stress by increasing cellular resistance to reactive oxygen species (ROS) and the stress these molecules cause the cell. OXR1's ability to reduce oxidative stress and neurodegeneration in multiple diseases strongly suggests that it can be an effective therapeutic target (PMID: 33384581). Biochemical experiments show that OXR1 inhibits V1-ATPase and causes disassembly of the holoenzyme, suggesting that OXR1 plays a direct role in V-ATPase regulation (PMID: 34918374). OXR1 has 8 isoforms with the molecular mass of 25, 28, 34, 56, 94, 95 and 98 kDa. Sometimes higher molecular weight around 120-140 kDa can also be observed, which may be a modified variant of OXR1.











