PBX1 Recombinant monoclonal antibody

PBX1 Uni-rAb® Recombinant Antibody for WB, IHC, IF/ICC, ELISA
Cat No. 86504-3-RR
Clone No.251373B4

Host / Isotype

Rabbit / IgG

Reactivity

human, mouse, rat

Applications

WB, IHC, IF/ICC, ELISA

Homeobox protein PBX1, Homeobox protein PRL, pre B cell leukemia homeobox 1, Pre-B-cell leukemia transcription factor 1, PRL

Formulation:  PBS, Azide, Glycerol
PBS, Azide, Glycerol
PBS Only
Conjugate:  Unconjugated
Unconjugated
Size/Concentration: 

-/ -

Freight/Packing: -

Quantity

Please visit your regions distributor:


Tested Applications

Positive WB detected inHeLa cells, PC-12 cells, NIH/3T3 cells
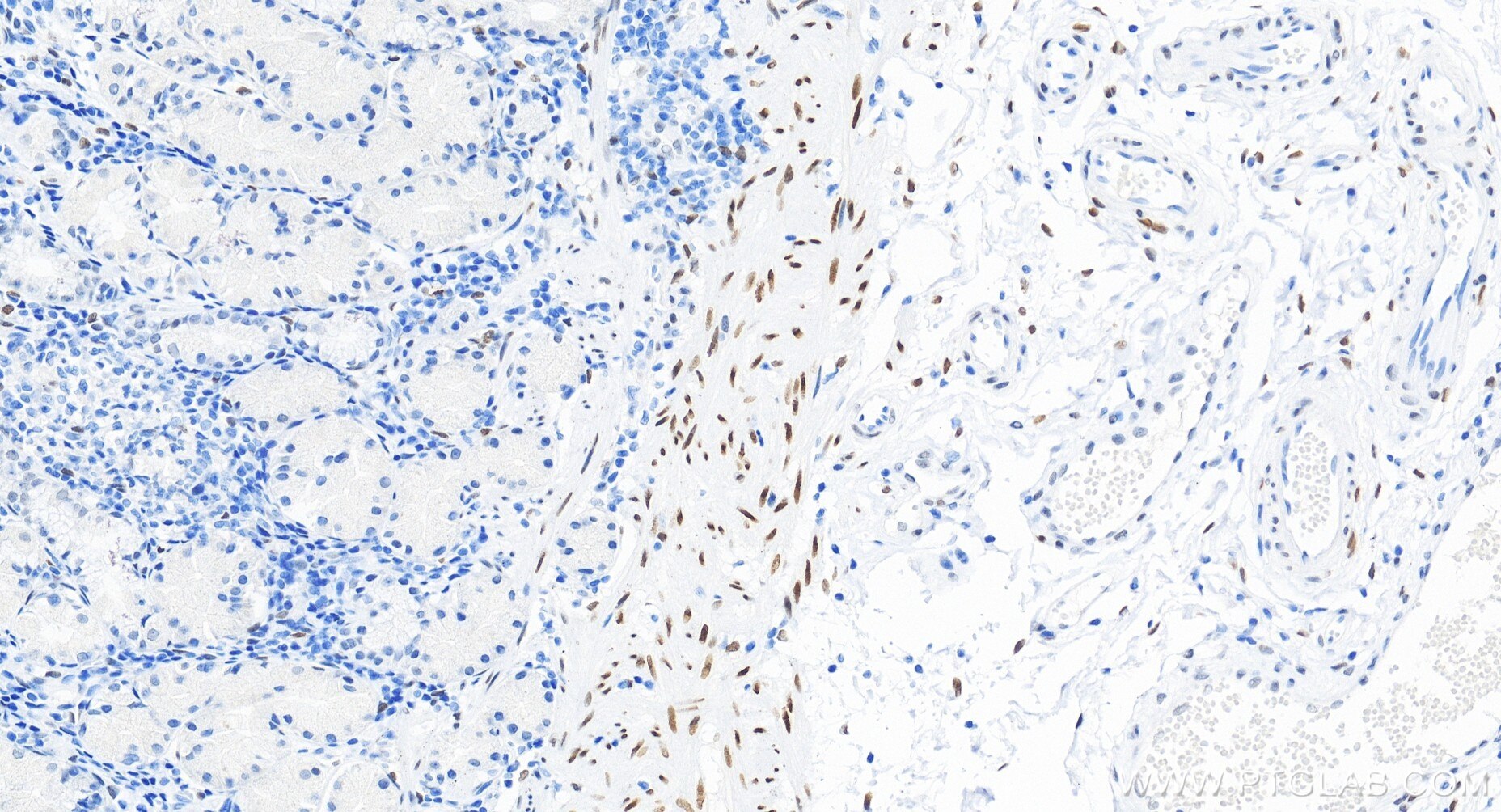
Positive IHC detected inhuman stomach tissue
Note: suggested antigen retrieval with TE buffer pH 9.0; (*) Alternatively, antigen retrieval may be performed with citrate buffer pH 6.0
Positive IF/ICC detected inHeLa cells

Recommended dilution

ApplicationDilution
Western Blot (WB)WB : 1:5000-1:50000
Immunohistochemistry (IHC)IHC : 1:250-1:1000
Immunofluorescence (IF)/ICCIF/ICC : 1:400-1:1600
It is recommended that this reagent should be titrated in each testing system to obtain optimal results.
Sample-dependent, Check data in validation data gallery.

Product Information

86504-3-RR targets PBX1 in WB, IHC, IF/ICC, ELISA applications and shows reactivity with human, mouse, rat samples.

Tested Reactivity human, mouse, rat
Host / Isotype Rabbit / IgG
Class Recombinant
Type Antibody
Immunogen

CatNo: Ag12817

Product name: Recombinant human PBX1 protein

Source: e coli.-derived, PGEX-4T

Tag: GST

Domain: 1-349 aa of BC101578

Sequence: MDEQPRLMHSHAGVGMAGHPGLSQHLQDGAGGTEGEGGRKQDIGDILQQIMTITDQSLDEAQARKHALNCHRMKPALFNVLCEIKEKTVLSIRGAQEEEPTDPQLMRLDNMLLAEGVAGPEKGGGSAAAAAAAAASGGAGSDNSVEHSDYRAKLSQIRQIYHTELEKYEQACNEFTTHVMNLLREQSRTRPISPKEIERMVSIIHRKFSSIQMQLKQSTCEAVMILRSRFLDARRKRRNFNKQATEILNEYFYSHLSNPYPSEEAKEELAKKCGITVSQVSNWFGNKRIRYKKNIGKFQEEANIYAAKTAVTATNVSAHGSQANSPSTPNSAGSSSSFNMSNSGDLFMS

Predict reactive species
Full Name pre-B-cell leukemia homeobox 1
Calculated Molecular Weight 430 aa, 47 kDa
Observed Molecular Weight 38 kDa, 47 kDa
GenBank Accession NumberBC101578
Gene Symbol PBX1
Gene ID (NCBI) 5087
Conjugate Unconjugated
FormLiquid
Purification MethodProtein A purification
UNIPROT IDP40424
Storage Buffer PBS with 0.02% sodium azide and 50% glycerol, pH 7.3.
Storage ConditionsStore at -20°C. Stable for one year after shipment. Aliquoting is unnecessary for -20oC storage. 20ul sizes contain 0.1% BSA.

Background Information

PBX1, also named as Pre-B-cell leukemia transcription factor 1, is a 430 amino acid protein, which belongs to the TALE/PBX homeobox family. PBX1 is expressed in all tissues except in cells of the B and T lineage. PBX1 acts as a transcriptional activator of PF4 in complex with MEIS1. PBX1 may have a role in steroidogenesis and, subsequently, sexual development and differentiation. Isoform PBX1b as part of a PDX1:PBX1b: MEIS2b complex in pancreatic acinar cells is involved in the transcriptional activation of the ELA1 enhancer. PBX1 exists two isoforms (PBX1a and PBX1b), and molecular weight of PBX1 is 47 kDa and 38 kDa.

Protocols

Product Specific Protocols
IF protocol for PBX1 antibody 86504-3-RRDownload protocol
IHC protocol for PBX1 antibody 86504-3-RRDownload protocol
WB protocol for PBX1 antibody 86504-3-RRDownload protocol
Standard Protocols
Click here to view our Standard Protocols
Loading...
||
New chat

Able

正在加载,请稍候...