Tested Applications
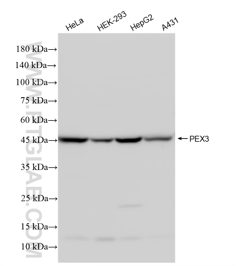
| Positive WB detected in | HeLa cells, mouse heart tissue, HEK-293 cells, HepG2 cells, A431 cells, rat heart tissue |
Recommended dilution
| Application | Dilution |
|---|---|
| Western Blot (WB) | WB : 1:2000-1:10000 |
| It is recommended that this reagent should be titrated in each testing system to obtain optimal results. | |
| Sample-dependent, Check data in validation data gallery. | |
Product Information
86594-1-RR targets PEX3 in WB, ELISA applications and shows reactivity with human, mouse, rat samples.
| Tested Reactivity | human, mouse, rat |
| Host / Isotype | Rabbit / IgG |
| Class | Recombinant |
| Type | Antibody |
| Immunogen |
CatNo: Ag31516 Product name: Recombinant human PEX3 protein Source: e coli.-derived, PGEX-4T Tag: GST Domain: 37-140 aa of BC014551 Sequence: IREIQEREAAEYIAQARRQYHFESNQRTCNMTVLSMLPTLREALMQQLNSESLTALLKNRPSNKLEIWEDLKIISFTRSTVAVYSTCMLVVLLRVQLNIIGGYI Predict reactive species |
| Full Name | peroxisomal biogenesis factor 3 |
| Calculated Molecular Weight | 42 kDa |
| Observed Molecular Weight | 42 kDa |
| GenBank Accession Number | BC014551 |
| Gene Symbol | PEX3 |
| Gene ID (NCBI) | 8504 |
| Conjugate | Unconjugated |
| Form | Liquid |
| Purification Method | Protein A purification |
| UNIPROT ID | P56589 |
| Storage Buffer | PBS with 0.02% sodium azide and 50% glycerol, pH 7.3. |
| Storage Conditions | Store at -20°C. Stable for one year after shipment. Aliquoting is unnecessary for -20oC storage. 20ul sizes contain 0.1% BSA. |
Background Information
Peroxins (PEXs) are proteins that are essential for the assembly of functional peroxisomes. Peroxin 3, also known as PEX3 (peroxisomal biogenesis factor 3) or TRG18, is a 373 amino acid multi-pass membrane protein that anchored in the peroxisomal membrane and essential for peroxisome biogenesis and integrity. Additionally, Peroxin 3 acts as a docking factor for Peroxin 19 and is required for the import of peroxisomal proteins. Defects in the gene encoding Peroxin 3 are the cause of peroxisome biogenesis disorder complementation group 12 (PBD-CG12) and Zellweger syndrome (ZwS), both of which arise from a failure of peroxisomal protein import.





