Tested Applications
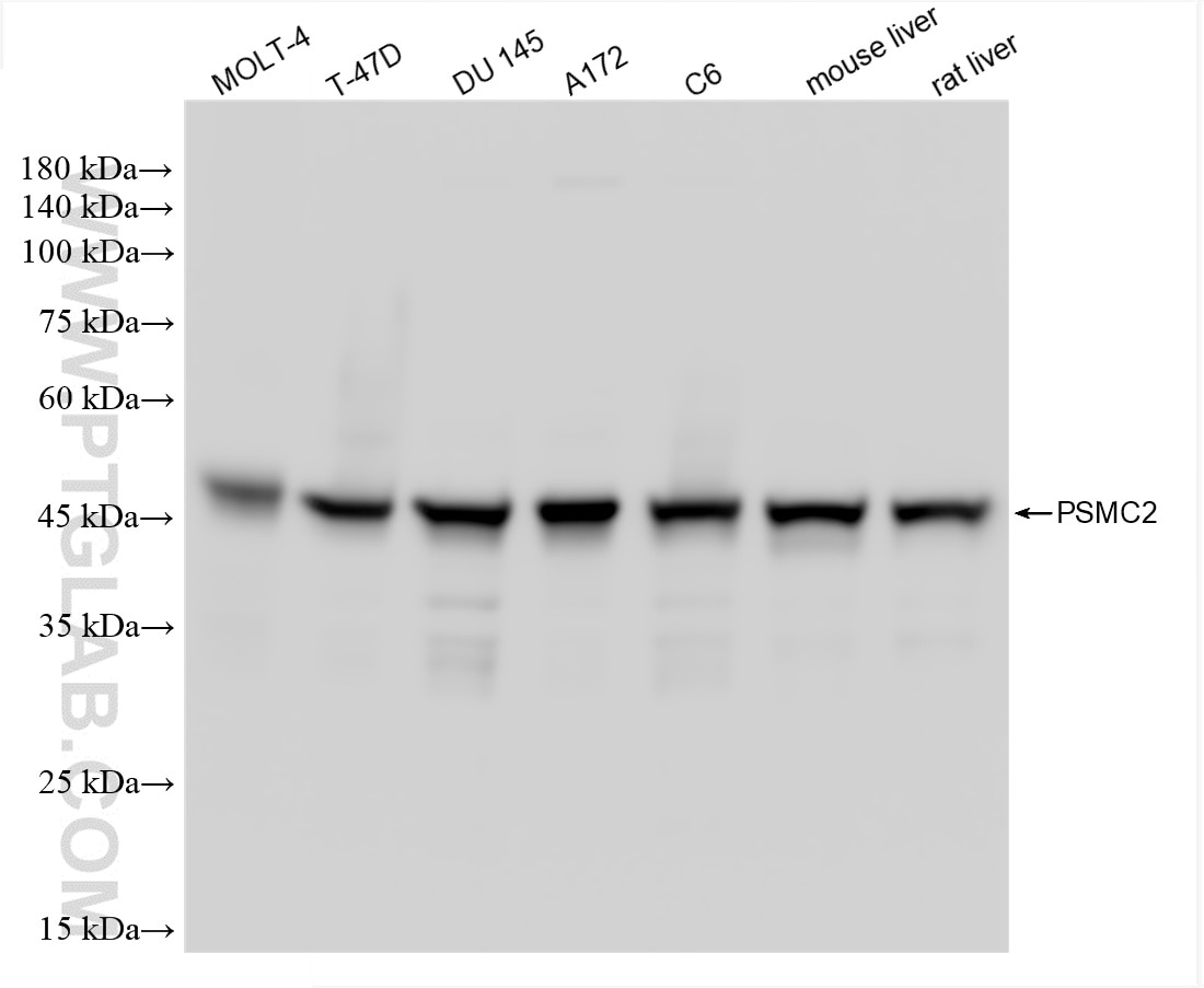
| Positive WB detected in | MOLT-4 cells, T-47D cells, DU 145 cells, A172 cells, C6 cells, mouse liver tissue, rat liver tissue |
Recommended dilution
| Application | Dilution |
|---|---|
| Western Blot (WB) | WB : 1:5000-1:50000 |
| It is recommended that this reagent should be titrated in each testing system to obtain optimal results. | |
| Sample-dependent, Check data in validation data gallery. | |
Product Information
86228-3-RR targets PSMC2 in WB, ELISA applications and shows reactivity with human, mouse, rat samples.
| Tested Reactivity | human, mouse, rat |
| Host / Isotype | Rabbit / IgG |
| Class | Recombinant |
| Type | Antibody |
| Immunogen |
CatNo: Ag6700 Product name: Recombinant human PSMC2 protein Source: e coli.-derived, PET28a Tag: 6*His Domain: 84-433 aa of BC002589 Sequence: KQTLQSEQPLQVARCTKIINADSEDPKYIINVKQFAKFVVDLSDQVAPTDIEEGMRVGVDRNKYQIHIPLPPKIDPTVTMMQVEEKPDVTYSDVGGCKEQIEKLREVVETPLLHPERFVNLGIEPPKGVLLFGPPGTGKTLCARAVANRTDACFIRVIGSELVQKYVGEGARMVRELFEMARTKKACLIFFDEIDAIGGARFDDGAGGDNEVQRTMLELINQLDGFDPRGNIKVLMATNRPDTLDPALMRPGRLDRKIEFSLPDLEGRTHIFKIHARSMSVERDIRFELLARLCPNSTGAEIRSVCTEAGMFAIRARRKIATEKDFLEAVNKVIKSYAKFSATPRYMTYN Predict reactive species |
| Full Name | proteasome (prosome, macropain) 26S subunit, ATPase, 2 |
| Calculated Molecular Weight | 49 kDa |
| Observed Molecular Weight | 49 kDa |
| GenBank Accession Number | BC002589 |
| Gene Symbol | PSMC2 |
| Gene ID (NCBI) | 5701 |
| Conjugate | Unconjugated |
| Form | Liquid |
| Purification Method | Protein A purification |
| UNIPROT ID | P35998 |
| Storage Buffer | PBS with 0.02% sodium azide and 50% glycerol, pH 7.3. |
| Storage Conditions | Store at -20°C. Stable for one year after shipment. Aliquoting is unnecessary for -20oC storage. 20ul sizes contain 0.1% BSA. |
Protocols
| Product Specific Protocols | |
|---|---|
| WB protocol for PSMC2 antibody 86228-3-RR | Download protocol |
| Standard Protocols | |
|---|---|
| Click here to view our Standard Protocols |



