Tested Applications
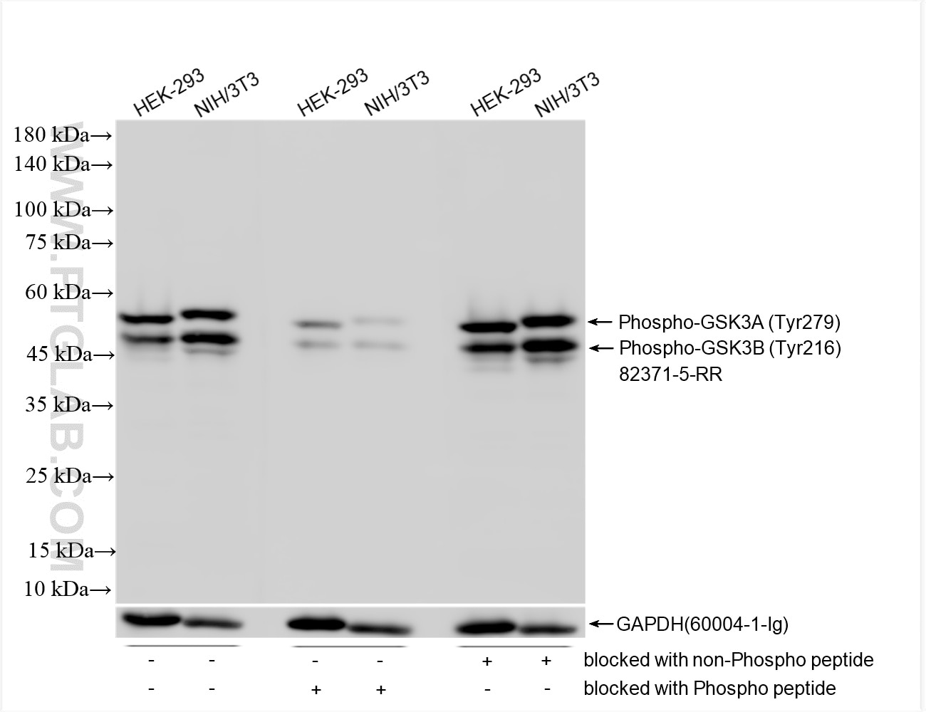
| Positive WB detected in | HEK-293 cells, NIH/3T3 cells |
| Positive FC (Intra) detected in | λ phosphatase treated HEK-293 cells |
Recommended dilution
| Application | Dilution |
|---|---|
| Western Blot (WB) | WB : 1:5000-1:50000 |
| Flow Cytometry (FC) (INTRA) | FC (INTRA) : 0.25 ug per 10^6 cells in a 100 µl suspension |
| It is recommended that this reagent should be titrated in each testing system to obtain optimal results. | |
| Sample-dependent, Check data in validation data gallery. | |
Product Information
82371-5-RR targets Phospho-GSK3A (Tyr279)/GSK3B (Tyr216) in WB, FC (Intra), ELISA applications and shows reactivity with human, mouse samples.
| Tested Reactivity | human, mouse |
| Host / Isotype | Rabbit / IgG |
| Class | Recombinant |
| Type | Antibody |
| Immunogen |
Peptide Predict reactive species |
| Full Name | glycogen synthase kinase 3 beta |
| Calculated Molecular Weight | 433 aa, 48 kDa |
| Observed Molecular Weight | 48-50 kDa |
| GenBank Accession Number | BC000251 |
| Gene Symbol | GSK3B |
| Gene ID (NCBI) | 2932 |
| Conjugate | Unconjugated |
| Form | Liquid |
| Purification Method | Protein A purification |
| UNIPROT ID | P49841 |
| Storage Buffer | PBS with 0.02% sodium azide and 50% glycerol, pH 7.3. |
| Storage Conditions | Store at -20°C. Stable for one year after shipment. Aliquoting is unnecessary for -20oC storage. 20ul sizes contain 0.1% BSA. |
Background Information
Glycogen synthase kinase 3 (GSK3) proteins are serine/threonine kinases that were originally identified as key regulatory enzymes in glucose metabolism. There are two isoforms, GSK3 alpha and GSK3 beta, that are encoded by separate genes and that are 85% homologous to each other overall with 95% homology in the kinase domains. GSK3 beta is activated by phosphorylation of the tyrosine 216 residue (Tyr216) located in the kinase domain and inactivated by phosphorylation of the amino-terminal serine 9 residue (Ser9). GSK3 phosphorylation inhibits its catalytic activity towards its substrates, allowing cytosolic stabilization and nuclear translocation of the transcriptional targets, β-catenin and Nrf2. (PMID: 31354196 , PMID: 25750704,PMID: 24722055)
Protocols
| Product Specific Protocols | |
|---|---|
| FC protocol for Phospho-GSK3A (Tyr279)/GSK3B (Tyr216) antibody 82371-5-RR | Download protocol |
| WB protocol for Phospho-GSK3A (Tyr279)/GSK3B (Tyr216) antibody 82371-5-RR | Download protocol |
| Standard Protocols | |
|---|---|
| Click here to view our Standard Protocols |



