RAB12 Recombinant monoclonal antibody

RAB12 Uni-rAb® Recombinant Antibody for WB, ELISA
Cat No. 86560-1-RR
Clone No.251398D2

Host / Isotype

Rabbit / IgG

Reactivity

human, mouse, rat

Applications

WB, ELISA

Ras related protein Rab 12, Ras-related protein Rab-12

Formulation:  PBS, Azide, Glycerol
PBS, Azide, Glycerol
PBS Only
Conjugate:  Unconjugated
Unconjugated
Size/Concentration: 

-/ -

Freight/Packing: -

Quantity

Please visit your regions distributor:


Tested Applications

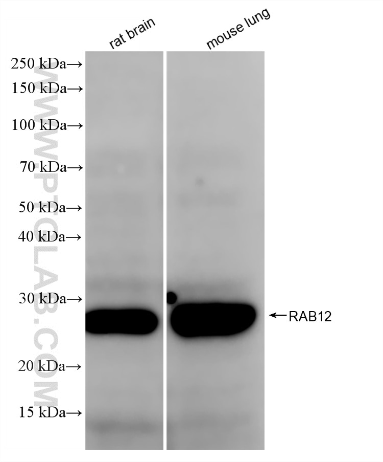
Positive WB detected inrat brain tissue, mouse lung tissue

Recommended dilution

ApplicationDilution
Western Blot (WB)WB : 1:2000-1:10000
It is recommended that this reagent should be titrated in each testing system to obtain optimal results.
Sample-dependent, Check data in validation data gallery.

Product Information

86560-1-RR targets RAB12 in WB, ELISA applications and shows reactivity with human, mouse, rat samples.

Tested Reactivity human, mouse, rat
Host / Isotype Rabbit / IgG
Class Recombinant
Type Antibody
Immunogen

CatNo: Ag31627

Product name: Recombinant human RAB12 protein

Source: e coli.-derived, PGEX-4T

Tag: GST

Domain: 105-244 aa of NM_001025300

Sequence: NSITSAYYRSAKGIILVYDITKKETFDDLPKWMKMIDKYASEDAELLLVGNKLDCETDREITRQQGEKFAQQITGMRFCEASAKDNFNVDEIFLKLVDDILKKMPLDILRNELSNSILSLQPEPEIPPELPPPRPHVRCC

Predict reactive species
Full Name RAB12, member RAS oncogene family
Calculated Molecular Weight27KD
Observed Molecular Weight 27 kDa
GenBank Accession NumberNM_001025300
Gene Symbol RAB12
Gene ID (NCBI) 201475
Conjugate Unconjugated
FormLiquid
Purification MethodProtein A purification
UNIPROT IDQ6IQ22
Storage Buffer PBS with 0.02% sodium azide and 50% glycerol, pH 7.3.
Storage ConditionsStore at -20°C. Stable for one year after shipment. Aliquoting is unnecessary for -20oC storage. 20ul sizes contain 0.1% BSA.

Background Information

RAB12 belongs to the small GTPase superfamily and Rab family. RAB12 locates in Golgi apparatus membrane. Rab12, a previously uncharacterized Rab isoform, is mainly localized at TfR-positive recycling endosomes and is specifically involved in TfR degradation. Rab12 is a regulator of LRRK2 and its activation by damaged lysosomes.

Protocols

Product Specific Protocols
WB protocol for RAB12 antibody 86560-1-RRDownload protocol
Standard Protocols
Click here to view our Standard Protocols
Loading...
||
New chat

Able

正在加载,请稍候...