Tested Applications
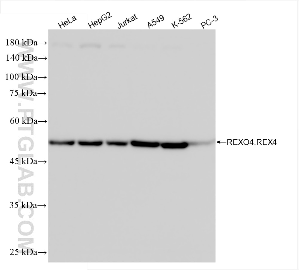
| Positive WB detected in | HeLa cells, HepG2 cells, Jurkat cells, A549 cells, K-562 cells, PC-3 cells |
| Positive IF/ICC detected in | HepG2 cells |
Recommended dilution
| Application | Dilution |
|---|---|
| Western Blot (WB) | WB : 1:5000-1:50000 |
| Immunofluorescence (IF)/ICC | IF/ICC : 1:750-1:3000 |
| It is recommended that this reagent should be titrated in each testing system to obtain optimal results. | |
| Sample-dependent, Check data in validation data gallery. | |
Product Information
86528-1-RR targets REXO4 in WB, IF/ICC, ELISA applications and shows reactivity with human samples.
| Tested Reactivity | human |
| Host / Isotype | Rabbit / IgG |
| Class | Recombinant |
| Type | Antibody |
| Immunogen |
CatNo: Ag13473 Product name: Recombinant human REXO4,REX4 protein Source: e coli.-derived, PGEX-4T Tag: GST Domain: 71-422 aa of BC009274 Sequence: WKALQEWLLKQKSQAPEKPLVISQMGSKKKPKIIQQNKKETSPQVKGEEMPAGKDQEASRGSVPSGSKMDRRAPVPRTKASGTEHNKKGTKERTNGDIVPERGDIEHKKRKAKEAAPAPPTEEDIWFDDVDPADIEAAIGPEAAKIARKQLGQSEGSVSLSLVKEQAFGGLTRALALDCEMVGVGPKGEESMAARVSIVNQYGKCVYDKYVKPTEPVTDYRTAVSGIRPENLKQGEELEVVQKEVAEMLKGRILVGHALHNDLKVLFLDHPKKKIRDTQKYKPFKSQVKSGRPSLRLLSEKILGLQVQQAEHCSIQDAQAAMRLYVMVKKEWESMARDRRPLLTAPDHCSDDA Predict reactive species |
| Full Name | REX4, RNA exonuclease 4 homolog (S. cerevisiae) |
| Calculated Molecular Weight | 422 aa, 47 kDa |
| Observed Molecular Weight | 50 kDa |
| GenBank Accession Number | BC009274 |
| Gene Symbol | REXO4 |
| Gene ID (NCBI) | 57109 |
| Conjugate | Unconjugated |
| Form | Liquid |
| Purification Method | Protein A purification |
| UNIPROT ID | Q9GZR2 |
| Storage Buffer | PBS with 0.02% sodium azide and 50% glycerol, pH 7.3. |
| Storage Conditions | Store at -20°C. Stable for one year after shipment. Aliquoting is unnecessary for -20oC storage. 20ul sizes contain 0.1% BSA. |
Protocols
| Product Specific Protocols | |
|---|---|
| IF protocol for REXO4 antibody 86528-1-RR | Download protocol |
| WB protocol for REXO4 antibody 86528-1-RR | Download protocol |
| Standard Protocols | |
|---|---|
| Click here to view our Standard Protocols |



