RTCB Recombinant monoclonal antibody

RTCB Uni-rAb® Recombinant Antibody for WB, ELISA
Cat No. 86258-5-RR
Clone No.250866G9

Host / Isotype

Rabbit / IgG

Reactivity

human, mouse, rat

Applications

WB, ELISA

HSPC117, 3'-phosphate/5'-hydroxy nucleic acid ligase, C22orf28, EC:6.5.1.8, FAAP

Formulation:  PBS, Azide, Glycerol
PBS, Azide, Glycerol
PBS Only
Conjugate:  Unconjugated
Unconjugated
Size/Concentration: 

-/ -

Freight/Packing: -

Quantity

Please visit your regions distributor:


Tested Applications

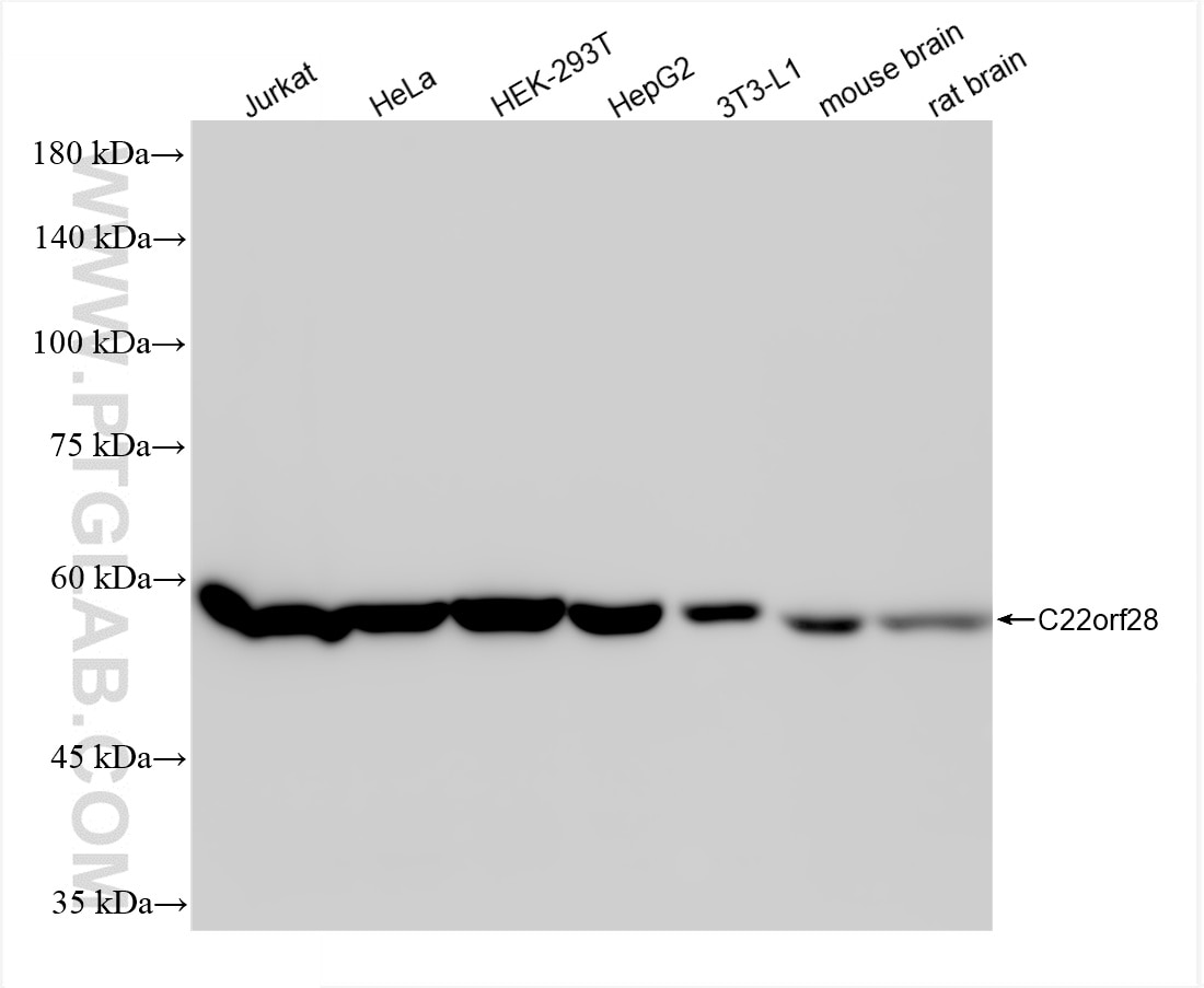
Positive WB detected inJurkat cells, HeLa cells, HEK-293T cells, HepG2 cells, 3T3-L1 cells, mouse brain tissue, rat brain tissue

Recommended dilution

ApplicationDilution
Western Blot (WB)WB : 1:5000-1:50000
It is recommended that this reagent should be titrated in each testing system to obtain optimal results.
Sample-dependent, Check data in validation data gallery.

Product Information

86258-5-RR targets RTCB in WB, ELISA applications and shows reactivity with human, mouse, rat samples.

Tested Reactivity human, mouse, rat
Host / Isotype Rabbit / IgG
Class Recombinant
Type Antibody
Immunogen

CatNo: Ag13836

Product name: Recombinant human C22orf28 protein

Source: e coli.-derived, PGEX-4T

Tag: GST

Domain: 159-505 aa of BC000151

Sequence: GVIPMNAKDLEEALEMGVDWSLREGYAWAEDKEHCEEYGRMLQADPNKVSARAKKRGLPQLGTLGAGNHYAEIQVVDEIFNEYAAKKMGIDHKGQVCVMIHSGSRGLGHQVATDALVAMEKAMKRDKIIVNDRQLACARIASPEGQDYLKGMAAAGNYAWVNRSSMTFLTRQAFAKVFNTTPDDFDLHVIYDVSHNIAKVEQHVVDGKERTLLVHRKGSTRAFPPHHPLIAVDYQLTGQPVLIGGTMGTCSYVLTGTEQGMTETFGTTCHGAGRALSRAKSRRNLDFQDVLDKLADMGIAIRVASPKLVMEEAPESYKNVTDVVNTCHDAGISKKAIKLRPIAVIKG

Predict reactive species
Full Name chromosome 22 open reading frame 28
Calculated Molecular Weight 55 kDa
Observed Molecular Weight55 kDa
GenBank Accession NumberBC000151
Gene Symbol RTCB
Gene ID (NCBI) 51493
Conjugate Unconjugated
FormLiquid
Purification MethodProtein A purification
UNIPROT IDQ9Y3I0
Storage Buffer PBS with 0.02% sodium azide and 50% glycerol, pH 7.3.
Storage ConditionsStore at -20°C. Stable for one year after shipment. Aliquoting is unnecessary for -20oC storage. 20ul sizes contain 0.1% BSA.

Background Information

RTCB (also known as HSPC117, C22orf28, FAAP and D10Wsu52e) is an essential subunit of a tRNA ligase complex that is involved in RNA repair and stress-induced splicing. As a multifunctional protein, RTCB is also a cell adhesion protein and is important in embryo and placenta development. Recently RTCB has been identified as UPR RNA ligase catalyzing unconventional XBP1 mRNA splicing. This antibody specifically recognizes endogenous RTCB protein. (25087875)

Protocols

Product Specific Protocols
WB protocol for RTCB antibody 86258-5-RRDownload protocol
Standard Protocols
Click here to view our Standard Protocols
Loading...
||
New chat Able
正在加载,请稍候...