SCN11A Recombinant monoclonal antibody

SCN11A Uni-rAb® Recombinant Antibody for WB, IHC, ELISA
Cat No. 85740-1-RR
Clone No.250003E1

Host / Isotype

Rabbit / IgG

Reactivity

human, mouse, rat

Applications

WB, IHC, ELISA

hNaN, NaN, NAV1.9, PN5, SCN12A

Formulation:  PBS, Azide, Glycerol
PBS, Azide, Glycerol
PBS Only
Conjugate:  Unconjugated
Unconjugated
Size/Concentration: 

-/ -

Freight/Packing: -

Quantity

Please visit your regions distributor:


Tested Applications

Positive WB detected inrat brain tissue, rat cerebellum tissue
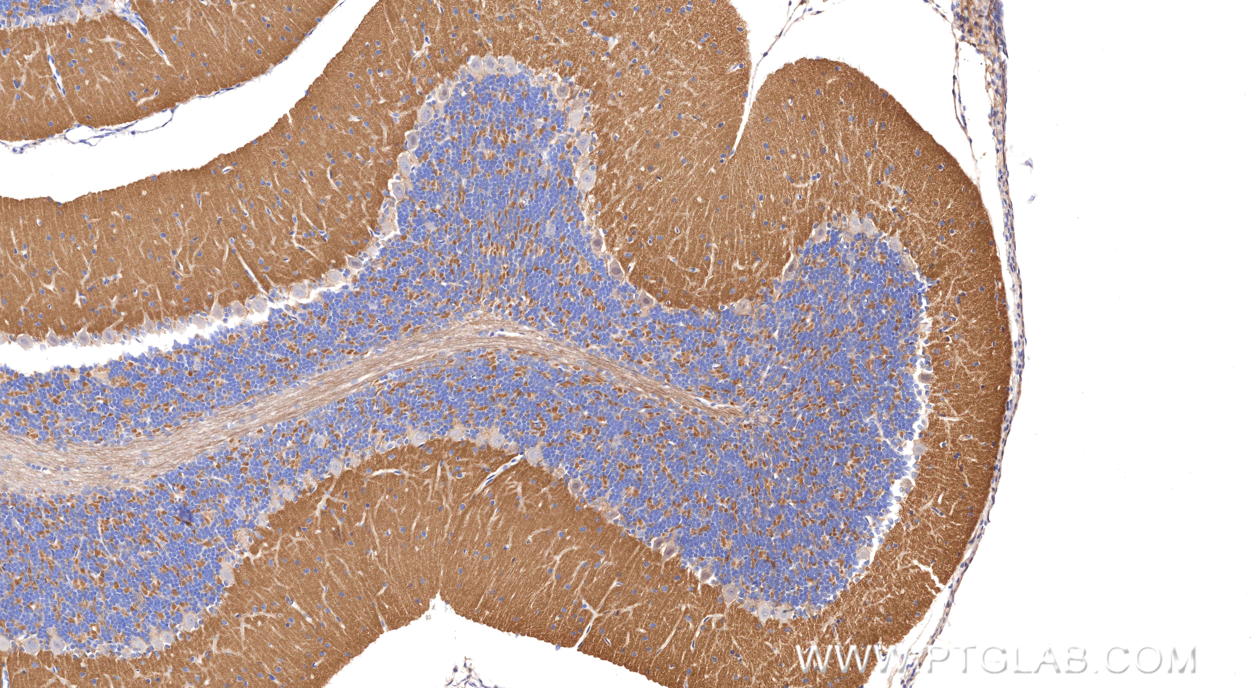
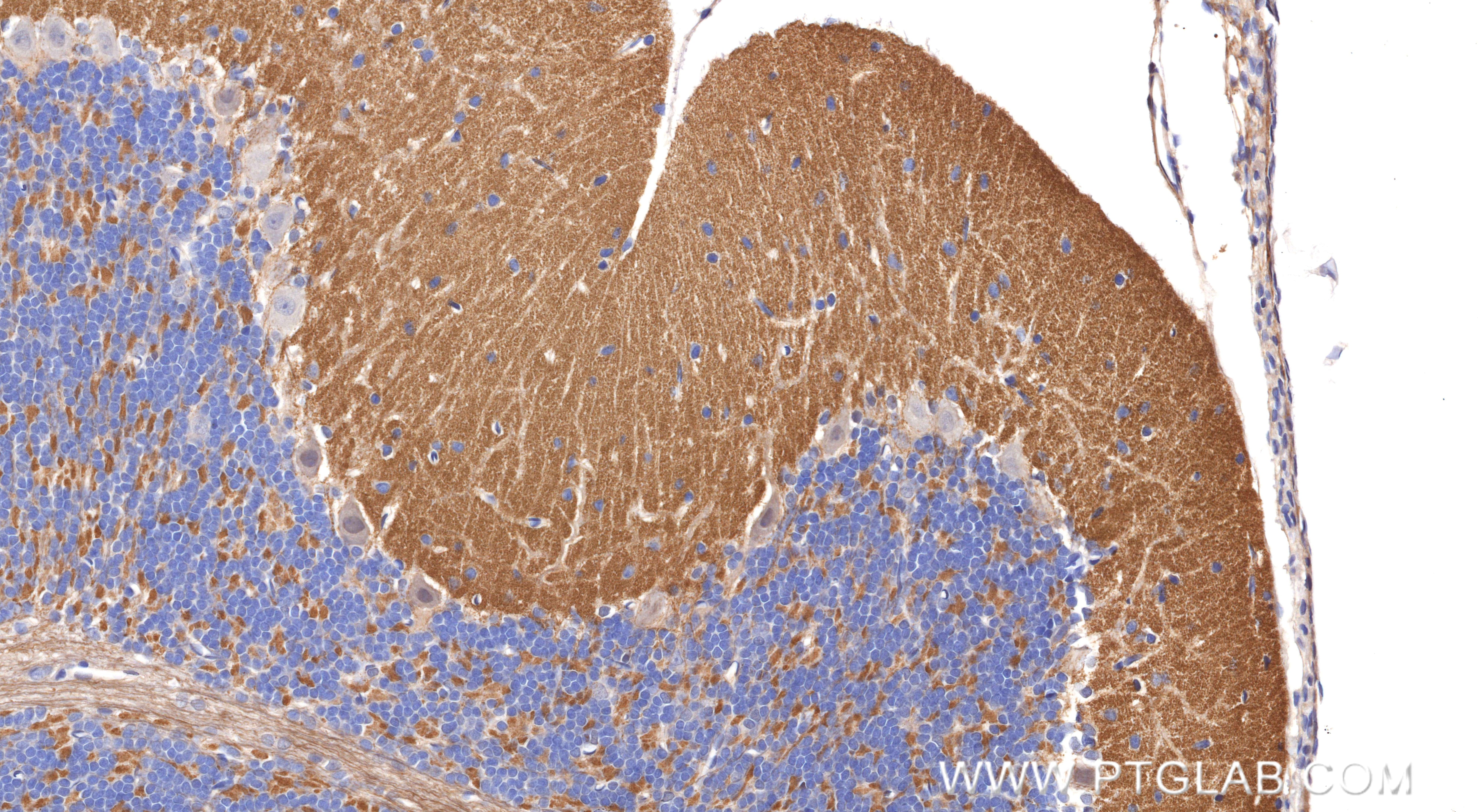
Positive IHC detected inrat cerebellum tissue, mouse brain tissue, rat brain tissue
Note: suggested antigen retrieval with TE buffer pH 9.0; (*) Alternatively, antigen retrieval may be performed with citrate buffer pH 6.0

Recommended dilution

ApplicationDilution
Western Blot (WB)WB : 1:500-1:2000
Immunohistochemistry (IHC)IHC : 1:1500-1:6000
It is recommended that this reagent should be titrated in each testing system to obtain optimal results.
Sample-dependent, Check data in validation data gallery.

Product Information

85740-1-RR targets SCN11A in WB, IHC, ELISA applications and shows reactivity with human, mouse, rat samples.

Tested Reactivity human, mouse, rat
Host / Isotype Rabbit / IgG
Class Recombinant
Type Antibody
Immunogen

Peptide

Predict reactive species
Full Name sodium channel, voltage-gated, type XI, alpha subunit
Calculated Molecular Weight 205 kDa
Observed Molecular Weight205 kDa
GenBank Accession NumberNM_001349253
Gene Symbol SCN11A
Gene ID (NCBI) 11280
Conjugate Unconjugated
FormLiquid
Purification MethodProtein A purification
UNIPROT IDQ9UI33
Storage Buffer PBS with 0.02% sodium azide and 50% glycerol, pH 7.3.
Storage ConditionsStore at -20°C. Stable for one year after shipment. Aliquoting is unnecessary for -20oC storage. 20ul sizes contain 0.1% BSA.

Background Information

Sodium channel protein type 11 subunit alpha (SCN11A, also known as Nav1.9) is crucial for generating action potentials and regulating neuronal excitability, particularly in nociceptive neurons of the dorsal root ganglia (DRG) and trigeminal ganglia (PMID: 33752606). Nav1.9 channels are involved in the formation of pain-sensing and have been implicated in peripheral inflammatory pain hypersensitivity. Additionally, SCN11A-mediated channels play a role in regulating colonic motility and neurotransmitter release in the enteric nervous system (PMID: 35711274).

Protocols

Product Specific Protocols
IHC protocol for SCN11A antibody 85740-1-RRDownload protocol
WB protocol for SCN11A antibody 85740-1-RRDownload protocol
Standard Protocols
Click here to view our Standard Protocols
Loading...
||
New chat

Able

正在加载,请稍候...