SEPHS2 Recombinant monoclonal antibody

SEPHS2 Uni-rAb® Recombinant Antibody for WB, ELISA
Cat No. 86443-1-RR
Clone No.251213A8

Host / Isotype

Rabbit / IgG

Reactivity

human, mouse, rat

Applications

WB, ELISA

EC:2.7.9.3, Selenide, water dikinase 2, Selenium donor protein 2, Selenophosphate synthase 2, selenophosphate synthetase 2

Formulation:  PBS, Azide, Glycerol
PBS, Azide, Glycerol
PBS Only
Conjugate:  Unconjugated
Unconjugated
Size/Concentration: 

-/ -

Freight/Packing: -

Quantity

Please visit your regions distributor:


Tested Applications

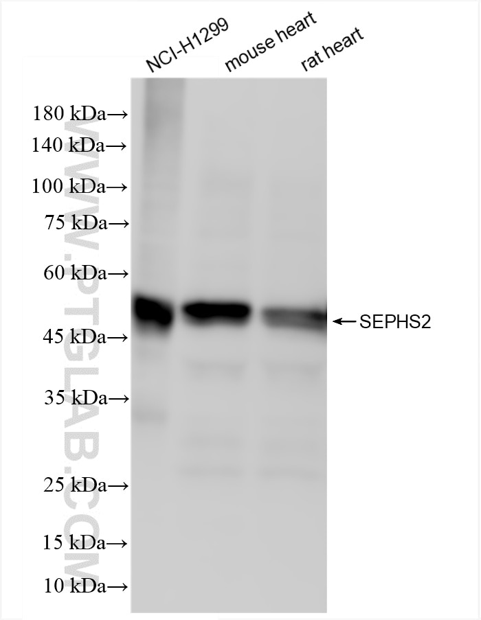
Positive WB detected inNCI-H1299 cells, mouse heart tissue, rat heart tissue

Recommended dilution

ApplicationDilution
Western Blot (WB)WB : 1:1000-1:6000
It is recommended that this reagent should be titrated in each testing system to obtain optimal results.
Sample-dependent, Check data in validation data gallery.

Product Information

86443-1-RR targets SEPHS2 in WB, ELISA applications and shows reactivity with human, mouse, rat samples.

Tested Reactivity human, mouse, rat
Host / Isotype Rabbit / IgG
Class Recombinant
Type Antibody
Immunogen

CatNo: Ag5255

Product name: Recombinant human SEPHS2 protein

Source: e coli.-derived, PGEX-4T

Tag: GST

Domain: 118-448 aa of BC016643

Sequence: GMDSCVIPLRHGGLSLVQTTDFFYPLVEDPYMMGRIACANVLSDLYAMGITECDNMLMLLSVSQSMSEEEREKVTPLMVKGFRDAAEEGGTAVTGGQTVVNPWIIIGGVATVVCQPNEFIMPDSAVVGDVLVLTKPLGTQVAVNAHQWLDNPERWNKVKMVVSREEVELAYQEAMFNMATLNRTAAGLMHTFNAHAATDITGFGILGHSQNLAKQQRNEVSFVIHNLPIIAKMAAVSKASGRFGLLQGTSAETSGGLLICLPREQAARFCSEIKSSKYGEGHQAWIVGIVEKGNRTARIIDKPRVIEVLPRGATAAVLAPDSSNASSEPSS

Predict reactive species
Full Name selenophosphate synthetase 2
Calculated Molecular Weight 47 kDa
Observed Molecular Weight47-50 kDa
GenBank Accession NumberBC016643
Gene Symbol SEPHS2
Gene ID (NCBI) 22928
Conjugate Unconjugated
FormLiquid
Purification MethodProtein A purification
UNIPROT IDQ99611
Storage Buffer PBS with 0.02% sodium azide and 50% glycerol, pH 7.3.
Storage ConditionsStore at -20°C. Stable for one year after shipment. Aliquoting is unnecessary for -20oC storage. 20ul sizes contain 0.1% BSA.

Background Information

SEPHS2 (Selenophosphate synthetase 2), a selenophosphate synthetase, catalyzes the conversion of selenite and adenosine triphosphate (ATP) into selenophosphate. SEPHS2 is the rate-limiting enzyme that converts selenite to selenocysteine, a key substance in the synthesis of many selenium proteins such as glutathione peroxidase, thioredoxin reductase, and formate dehydrogenase (PMID: 40750759, 31695102).

Protocols

Product Specific Protocols
WB protocol for SEPHS2 antibody 86443-1-RRDownload protocol
Standard Protocols
Click here to view our Standard Protocols
Loading...
||
New chat Able
正在加载,请稍候...