Tested Applications
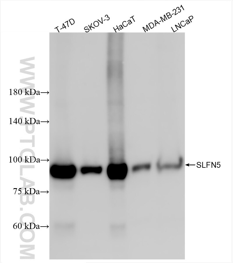
| Positive WB detected in | T-47D cells, SKOV-3 cells, HaCaT cells, MDA-MB-231 cells, LNCaP cells |
Recommended dilution
| Application | Dilution |
|---|---|
| Western Blot (WB) | WB : 1:5000-1:50000 |
| It is recommended that this reagent should be titrated in each testing system to obtain optimal results. | |
| Sample-dependent, Check data in validation data gallery. | |
Product Information
86424-2-RR targets SLFN5 in WB, ELISA applications and shows reactivity with human samples.
| Tested Reactivity | human |
| Host / Isotype | Rabbit / IgG |
| Class | Recombinant |
| Type | Antibody |
| Immunogen |
CatNo: Ag9959 Product name: Recombinant human SLFN5 protein Source: e coli.-derived, PGEX-4T Tag: GST Domain: 1-338 aa of BC021238 Sequence: MSLRIDVDTNFPECVVDAGKVTLGTQQRQEMDPRLREKQNEIILRAVCALLNSGGGIIKAEIENKGYNYERHGVGLDVPPIFRSHLDKMQKENHFLIFVKSWNTEAGVPLATLCSNLYHRERTSTDVMDSQEALAFLKCRTQTPTNINVSNSLGPQAAQGSVQYEGNINVSAAALFDRKRLQYLEKLNLPESTHVEFVMFSTDVSHCVKDRLPKCVSAFANTEGGYVFFGVHDETCQVIGCEKEKIDLTSLRASIDGCIKKLPVHHFCTQRPEIKYVLNFLEVHDKGALRGYVCAIKVEKFCCAVFAKVPSSWQVKDNRVRQLPTREWTAWMMEADPG Predict reactive species |
| Full Name | schlafen family member 5 |
| Calculated Molecular Weight | 338 aa, 38 kDa |
| Observed Molecular Weight | 90-100 kDa |
| GenBank Accession Number | BC021238 |
| Gene Symbol | SLFN5 |
| Gene ID (NCBI) | 162394 |
| Conjugate | Unconjugated |
| Form | Liquid |
| Purification Method | Protein A purification |
| UNIPROT ID | Q08AF3 |
| Storage Buffer | PBS with 0.02% sodium azide and 50% glycerol, pH 7.3. |
| Storage Conditions | Store at -20°C. Stable for one year after shipment. Aliquoting is unnecessary for -20oC storage. 20ul sizes contain 0.1% BSA. |
Background Information
Schlafen family member 5 (SLFN5) is a member of the Schlafen family of proteins, a group of type 1 IFN-inducible proteins. In addition to an AAA (ATPase) domain and a specific SLFN box, the SLFN5 gene contains a helicase domain as well as a nuclear localization sequence, which suggests a role for this protein in transcription-related processes. A growing number of findings suggest that human Schlafen family member 5(SLFN5) plays a key role in malignancy.
Protocols
| Product Specific Protocols | |
|---|---|
| WB protocol for SLFN5 antibody 86424-2-RR | Download protocol |
| Standard Protocols | |
|---|---|
| Click here to view our Standard Protocols |



