Tested Applications
| Positive WB detected in | mouse colon tissue |
| Positive IHC detected in | mouse colon tissue Note: suggested antigen retrieval with TE buffer pH 9.0; (*) Alternatively, antigen retrieval may be performed with citrate buffer pH 6.0 |
| Positive FC (Intra) detected in | A431 cells |
Recommended dilution
| Application | Dilution |
|---|---|
| Western Blot (WB) | WB : 1:5000-1:50000 |
| Immunohistochemistry (IHC) | IHC : 1:200-1:800 |
| Flow Cytometry (FC) (INTRA) | FC (INTRA) : 0.25 ug per 10^6 cells in a 100 µl suspension |
| It is recommended that this reagent should be titrated in each testing system to obtain optimal results. | |
| Sample-dependent, Check data in validation data gallery. | |
Product Information
83228-1-RR targets SULT1B1 in WB, IHC, FC (Intra), ELISA applications and shows reactivity with human, mouse samples.
| Tested Reactivity | human, mouse |
| Host / Isotype | Rabbit / IgG |
| Class | Recombinant |
| Type | Antibody |
| Immunogen |
CatNo: Ag9009 Product name: Recombinant human SULT1B1 protein Source: e coli.-derived, PGEX-4T Tag: GST Domain: 1-296 aa of BC010895 Sequence: MLSPKDILRKDLKLVHGYPMTCAFASNWEKIEQFHSRPDDIVIATYPKSGTTWVSEIIDMILNDGDIEKCKRGFITEKVPMLEMTLPGLRTSGIEQLEKNPSPRIVKTHLPTDLLPKSFWENNCKMIYLARNAKDVSVSYYHFDLMNNLQPFPGTWEEYLEKFLTGKVAYGSWFTHVKNWWKRKEEHPILFLYYEDMKENPKEEIKKIIRFLEKNLNDEILDRIIHHTSFEVMKDNPLVNYTHLPTTVMDHSKSPFMRKGTAGDWKNYFTVAQNEKFDAIYETEMSKTALQFRTEI Predict reactive species |
| Full Name | sulfotransferase family, cytosolic, 1B, member 1 |
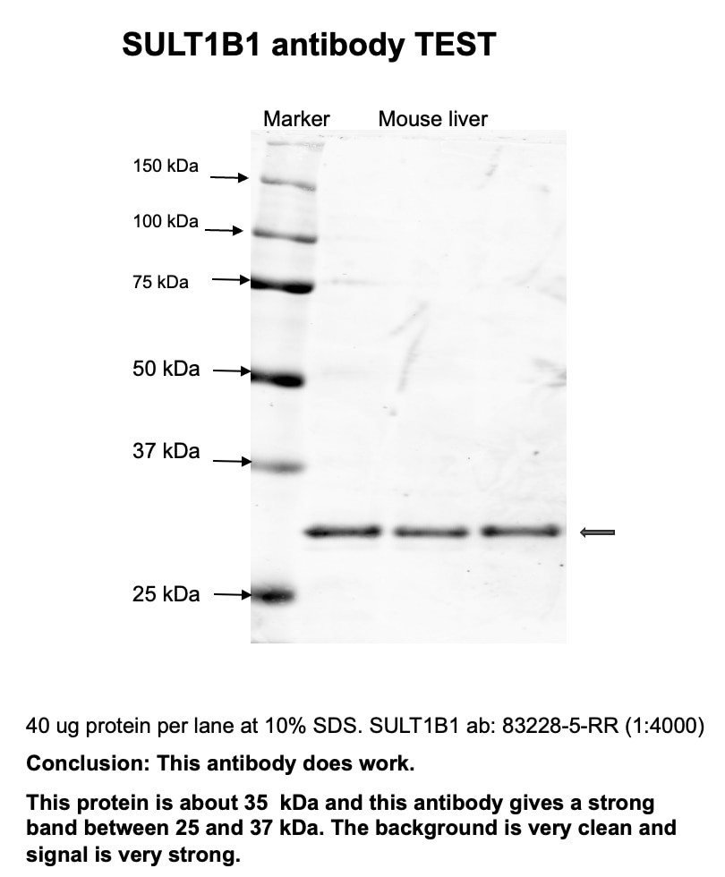
| Calculated Molecular Weight | 296 aa, 35 kDa |
| Observed Molecular Weight | 35 kDa |
| GenBank Accession Number | BC010895 |
| Gene Symbol | SULT1B1 |
| Gene ID (NCBI) | 27284 |
| RRID | AB_3670911 |
| Conjugate | Unconjugated |
| Form | Liquid |
| Purification Method | Protein A purification |
| UNIPROT ID | O43704 |
| Storage Buffer | PBS with 0.02% sodium azide and 50% glycerol, pH 7.3. |
| Storage Conditions | Store at -20°C. Stable for one year after shipment. Aliquoting is unnecessary for -20oC storage. 20ul sizes contain 0.1% BSA. |
Background Information
Sulfotransferase 1B1 (SULT1B1) is expressed at highest levels throughout the human colon and small intestine but can also be found at moderate levels in human liver, kidney, and white blood cells (PMID: 28084139). Certain SULT1B1 SNPs may influence the activity of thyroid hormones and the mutagenicity of polycyclic aromatic hydrocarbons (PMID: 34107842).
Protocols
| Product Specific Protocols | |
|---|---|
| FC protocol for SULT1B1 antibody 83228-1-RR | Download protocol |
| IHC protocol for SULT1B1 antibody 83228-1-RR | Download protocol |
| WB protocol for SULT1B1 antibody 83228-1-RR | Download protocol |
| Standard Protocols | |
|---|---|
| Click here to view our Standard Protocols |
Reviews
The reviews below have been submitted by verified Proteintech customers who received an incentive for providing their feedback.
FH Hua (Verified Customer) (09-25-2025) | Very good antibody for WB. Strong signal and clean background
![]() |










