Tested Applications
| Positive WB detected in | rat brain tissue, PC-12 cells, mouse brain tissue, fetal human brain tissue |
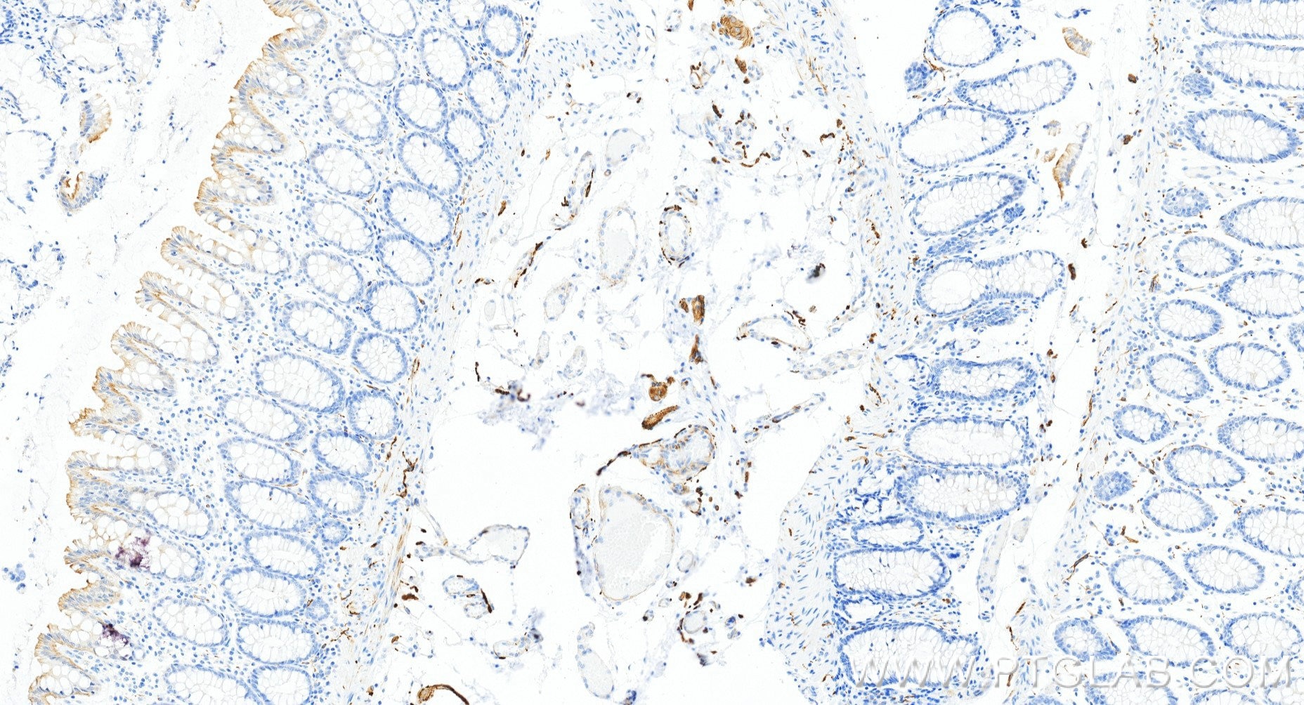
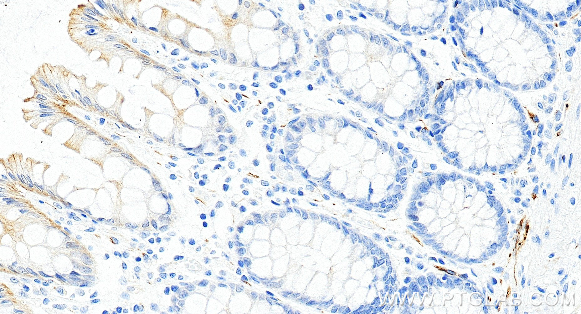
| Positive IHC detected in | mouse brain tissue, human colon tissue Note: suggested antigen retrieval with TE buffer pH 9.0; (*) Alternatively, antigen retrieval may be performed with citrate buffer pH 6.0 |
| Positive IF-P detected in | rat brain tissue, mouse brain tissue |
Recommended dilution
| Application | Dilution |
|---|---|
| Western Blot (WB) | WB : 1:1000-1:6000 |
| Immunohistochemistry (IHC) | IHC : 1:1250-1:5000 |
| Immunofluorescence (IF)-P | IF-P : 1:500-1:2000 |
| It is recommended that this reagent should be titrated in each testing system to obtain optimal results. | |
| Sample-dependent, Check data in validation data gallery. | |
Product Information
85929-5-RR targets TH in WB, IHC, IF-P, ELISA applications and shows reactivity with human, mouse, rat samples.
| Tested Reactivity | human, mouse, rat |
| Host / Isotype | Rabbit / IgG |
| Class | Recombinant |
| Type | Antibody |
| Immunogen |
CatNo: Ag23034 Product name: Recombinant human TH protein Source: e coli.-derived, PGEX-4T Tag: GST Domain: 1-260 aa of BC104967 Sequence: MPTPDATTPQAKGFRRAVSELDAKQAEAIMSPRFIGRRQSLIEDARKEREAAVAAAAAAVPSEPGDPLEAVAFEEKEGKAMLNLLFSPRATKPSALSRAVKVFETFEAKIHHLETRPAQRPRAGGPHLEYFVRLEVRRGDLAALLSGVRQVSEDVRSPAGPKVPWFPRKVSELDKCHHLVTKFDPDLDLDHPGFSDQVYRQRRKLIAEIAFQYRHGDPIPRVEYTAEEIATWKEVYTTLKGLYATHACGEHLEAFALLER Predict reactive species |
| Full Name | tyrosine hydroxylase |
| Calculated Molecular Weight | 528 aa, 59 kDa |
| Observed Molecular Weight | 60 kDa |
| GenBank Accession Number | BC104967 |
| Gene Symbol | TH |
| Gene ID (NCBI) | 7054 |
| Conjugate | Unconjugated |
| Form | Liquid |
| Purification Method | Protein A purification |
| UNIPROT ID | P07101 |
| Storage Buffer | PBS with 0.02% sodium azide and 50% glycerol, pH 7.3. |
| Storage Conditions | Store at -20°C. Stable for one year after shipment. Aliquoting is unnecessary for -20oC storage. 20ul sizes contain 0.1% BSA. |
Background Information
TH(Tyrosine 3-monooxygenase) converts L-tyrosine to L-3,4-dihydroxyphenylalanine (L-DOPA), the essential and rate-limiting step to formation of dopamine and other catecholamines. TH plays an important role in the physiology of adrenergic neurons and can be used as a marker for dopaminergic and noradrenergic neurons.
Protocols
| Product Specific Protocols | |
|---|---|
| IF protocol for TH antibody 85929-5-RR | Download protocol |
| IHC protocol for TH antibody 85929-5-RR | Download protocol |
| WB protocol for TH antibody 85929-5-RR | Download protocol |
| Standard Protocols | |
|---|---|
| Click here to view our Standard Protocols |















