Tested Applications
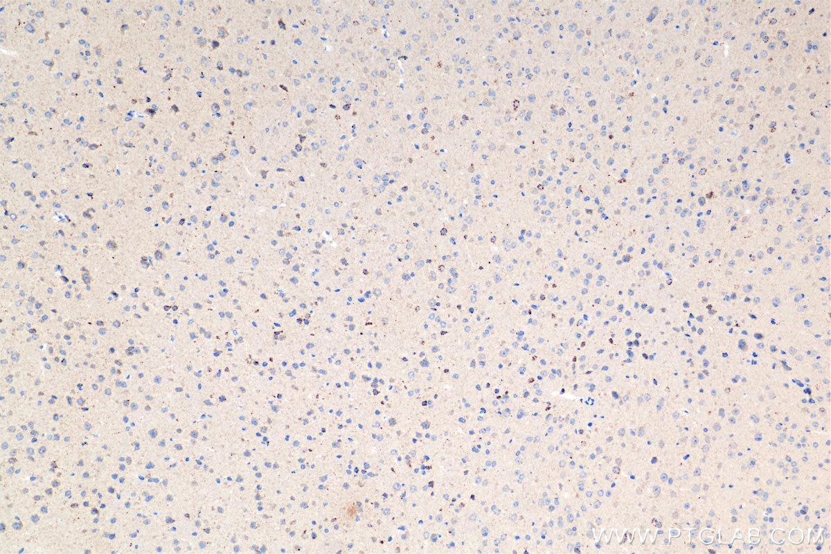
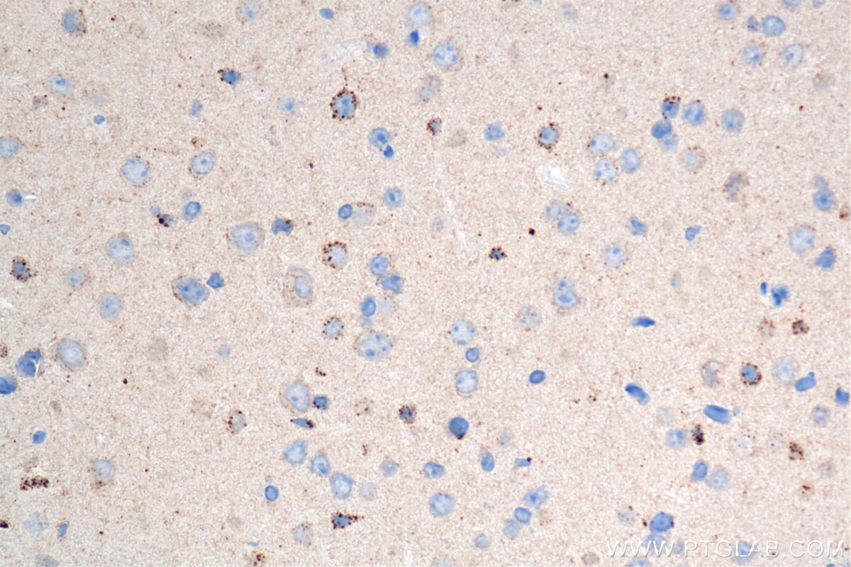
| Positive IHC detected in | mouse cerebellum tissue, mouse brain tissue Note: suggested antigen retrieval with TE buffer pH 9.0; (*) Alternatively, antigen retrieval may be performed with citrate buffer pH 6.0 |
Recommended dilution
| Application | Dilution |
|---|---|
| Immunohistochemistry (IHC) | IHC : 1:50-1:500 |
| It is recommended that this reagent should be titrated in each testing system to obtain optimal results. | |
| Sample-dependent, Check data in validation data gallery. | |
Product Information
84196-3-RR targets TMEM106B in IHC, ELISA applications and shows reactivity with human, mouse samples.
| Tested Reactivity | human, mouse |
| Host / Isotype | Rabbit / IgG |
| Class | Recombinant |
| Type | Antibody |
| Immunogen |
CatNo: Eg4518 Product name: recombinant human TMEM106B protein Source: mammalian cells-derived, pHZ-KIsec-C-rFc Tag: C-rFc Domain: 119-274 aa of BC033901 Sequence: RSIDVKYIGVKSAYVSYDVQKRTIYLNITNTLNITNNNYYSVEVENITAQVQFSKTVIGKARLNNITIIGPLDMKQIDYTVPTVIAEEMSYMYDFCTLISIKVHNIVLMMQVTVTTTYFGHSEQISQERYQYVDCGRNTTYQLGQSEYLNVLQPQQ Predict reactive species |
| Full Name | transmembrane protein 106B |
| Calculated Molecular Weight | 31 kDa |
| GenBank Accession Number | BC033901 |
| Gene Symbol | TMEM106B |
| Gene ID (NCBI) | 54664 |
| Conjugate | Unconjugated |
| Form | Liquid |
| Purification Method | Protein A purification |
| UNIPROT ID | Q9NUM4 |
| Storage Buffer | PBS with 0.02% sodium azide and 50% glycerol, pH 7.3. |
| Storage Conditions | Store at -20°C. Stable for one year after shipment. Aliquoting is unnecessary for -20oC storage. 20ul sizes contain 0.1% BSA. |
Background Information
TMEM106B is a genetic risk factor for frontotemporal lobar degeneration with TDP-43 inclusions (FTLD-TDP). Amyotrophic lateral sclerosis (ALS), like FTLD-TDP, is characterized by pathological TDP-43 inclusions. TMEM106B expression in the brain may be linked to mechanisms of disease in FTLD-TDP and risk alleles confer genetic susceptibility by increasing gene expression. TMEM106B can be showed as 31-55 kDa and 70-90 kDa (Glycosylated or Dimer) form in western blot test. (PMID: 27543298, 22895706, PMID: 23136129).
Protocols
| Product Specific Protocols | |
|---|---|
| IHC protocol for TMEM106B antibody 84196-3-RR | Download protocol |
| Standard Protocols | |
|---|---|
| Click here to view our Standard Protocols |







