Tested Applications
| Positive WB detected in | A431 cells, HaCaT cells, mouse skin tissue |
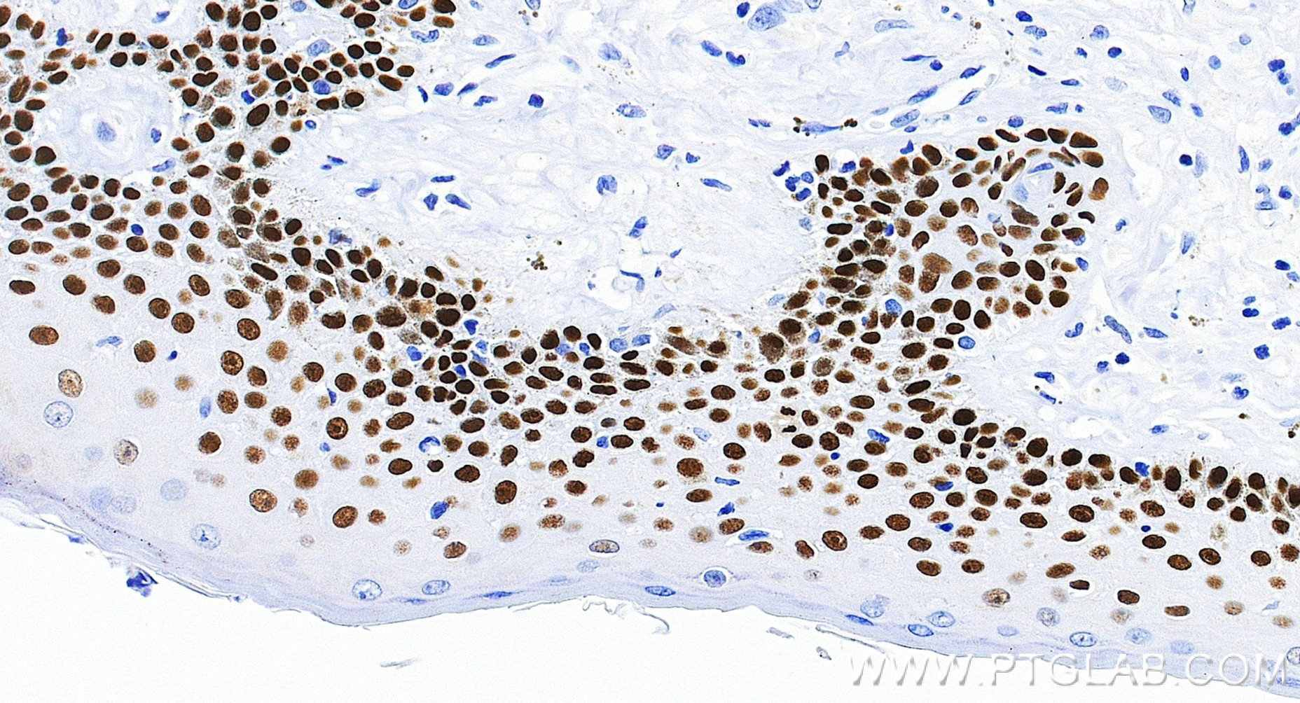
| Positive IHC detected in | human lung cancer tissue, human skin tissue, human tonsillitis tissue Note: suggested antigen retrieval with TE buffer pH 9.0; (*) Alternatively, antigen retrieval may be performed with citrate buffer pH 6.0 |
| Positive IF/ICC detected in | MCF-7 cells |
| Positive ChIP-qPCR detected in | HaCaT cells |
Recommended dilution
| Application | Dilution |
|---|---|
| Western Blot (WB) | WB : 1:2000-1:10000 |
| Immunohistochemistry (IHC) | IHC : 1:500-1:2000 |
| Immunofluorescence (IF)/ICC | IF/ICC : 1:250-1:1000 |
| CHIP-QPCR | CHIP-QPCR : 1:10-1:100 |
| It is recommended that this reagent should be titrated in each testing system to obtain optimal results. | |
| Sample-dependent, Check data in validation data gallery. | |
Product Information
86154-1-RR targets TP63 in WB, IHC, IF/ICC, ELISA, ChIP-qPCR applications and shows reactivity with human, mouse samples.
| Tested Reactivity | human, mouse |
| Host / Isotype | Rabbit / IgG |
| Class | Recombinant |
| Type | Antibody |
| Immunogen |
CatNo: Ag2791 Product name: Recombinant human TP63 protein Source: e coli.-derived, PGEX-4T Tag: GST Domain: 381-680 aa of BC039815 Sequence: NTHGIQMTSIKKRRSPDDELLYLPVRGRETYEMLLKIKESLELMQYLPQHTIETYRQQQQQQHQHLLQKQTSIQSPSSYGNSSPPLNKMNSMNKLPSVSQLINPQQRNALTPTTIPDGMGANIPMMGTHMPMAGDMNGLSPTQALPPPLSMPSTSHCTPPPPYPTDCSIVSFLARLGCSSCLDYFTTQGLTTIYQIEHYSMDDLASLKIPEQFRHAIWKGILDHRQLHEFSSPSHLLRTPSSASTVSVGSSETRGERVIDAVRFTLRQTISFPPRDEWNDFNFDMDARRNKQQRIKEEGE Predict reactive species |
| Full Name | tumor protein p63 |
| Calculated Molecular Weight | 680 aa, 77 kDa |
| Observed Molecular Weight | 63-68 kDa |
| GenBank Accession Number | BC039815 |
| Gene Symbol | TP63 |
| Gene ID (NCBI) | 8626 |
| Conjugate | Unconjugated |
| Form | Liquid |
| Purification Method | Protein A purification |
| UNIPROT ID | Q9H3D4 |
| Storage Buffer | PBS with 0.02% sodium azide and 50% glycerol, pH 7.3. |
| Storage Conditions | Store at -20°C. Stable for one year after shipment. Aliquoting is unnecessary for -20oC storage. 20ul sizes contain 0.1% BSA. |
Background Information
TP63, also named KET, P63, P73H, P73L and TP73L, belongs to the p53 family. It is a homologue of the tumor suppressor p53 and p73 genes. It is involved in malignancy acquisition and maintenance of cells. Unlike p53, the p63 gene encodes multiple isotypes with remarkably divergent abilities to transactivate p53 reporter genes and induce apoptosis. TP63 acts as a sequence specific DNA binding transcriptional activator or repressor. TP63 has 12 isoforms with MW 40kd(P40), 50kd(P60),63kd(P63) and 73kd(P73L).
Protocols
| Product Specific Protocols | |
|---|---|
| IF protocol for TP63 antibody 86154-1-RR | Download protocol |
| IHC protocol for TP63 antibody 86154-1-RR | Download protocol |
| WB protocol for TP63 antibody 86154-1-RR | Download protocol |
| Standard Protocols | |
|---|---|
| Click here to view our Standard Protocols |













