Tested Applications
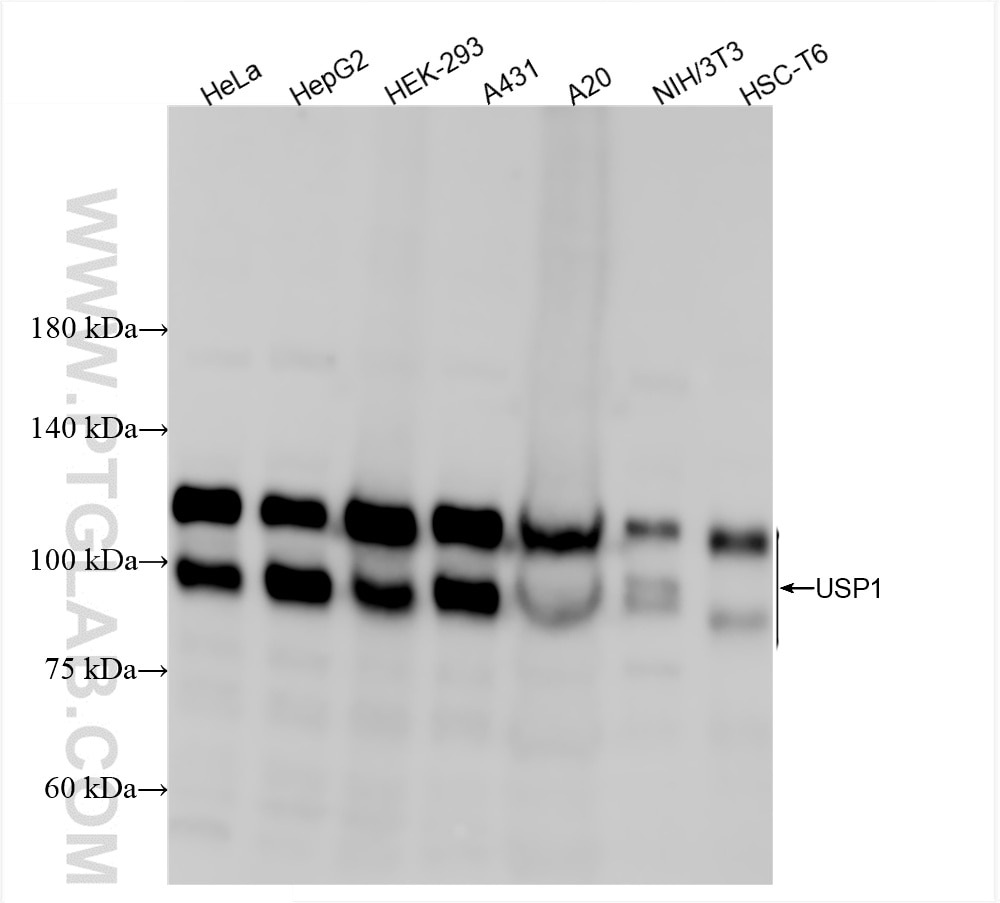
| Positive WB detected in | HeLa cells, HepG2 cells, HEK-293 cells, A431 cells, A20 cells, NIH/3T3 cells, HSC-T6 cells |
Recommended dilution
| Application | Dilution |
|---|---|
| Western Blot (WB) | WB : 1:2000-1:10000 |
| It is recommended that this reagent should be titrated in each testing system to obtain optimal results. | |
| Sample-dependent, Check data in validation data gallery. | |
Product Information
86453-1-RR targets USP1 in WB, ELISA applications and shows reactivity with human, mouse, rat samples.
| Tested Reactivity | human, mouse, rat |
| Host / Isotype | Rabbit / IgG |
| Class | Recombinant |
| Type | Antibody |
| Immunogen |
CatNo: Ag5686 Product name: Recombinant human USP1 protein Source: e coli.-derived, PGEX-4T Tag: GST Domain: 437-785 aa of BC050525 Sequence: RTRCLECESLTERREDFQDISVPVQEDELSKVEESSEISPEPKTEMKTLRWAISQFASVERIVGEDKYFCENCHHYTEAERSLLFDKMPEVITIHLKCFAASGLEFDCYGGGLSKINTPLLTPLKLSLEEWSTKPTNDSYGLFAVVMHSGITISSGHYTASVKVTDLNSLELDKGNFVVDQMCEIGKPEPLNEEEARGVVENYNDEEVSIRVGGNTQPSKVLNKKNVEAIGLLGGQKSKADYELYNKASNPDKVASTAFAENRNSETSDTTGTHESDRNKESSDQTGINISGFENKISYVVQSLKEYEGKWLLFDDSEVKVTEEKDFLNSLSPSTSPTSTPYLLFYKKL Predict reactive species |
| Full Name | ubiquitin specific peptidase 1 |
| Calculated Molecular Weight | 88 kDa |
| Observed Molecular Weight | 110 kDa, 100 kDa |
| GenBank Accession Number | BC050525 |
| Gene Symbol | USP1 |
| Gene ID (NCBI) | 7398 |
| Conjugate | Unconjugated |
| Form | Liquid |
| Purification Method | Protein A purification |
| UNIPROT ID | O94782 |
| Storage Buffer | PBS with 0.02% sodium azide and 50% glycerol, pH 7.3. |
| Storage Conditions | Store at -20°C. Stable for one year after shipment. Aliquoting is unnecessary for -20oC storage. 20ul sizes contain 0.1% BSA. |
Background Information
USP1(Ubiquitin carboxyl-terminal hydrolase 1) is a negative regulator of DNA damage repair which specifically deubiquitinates monoubiquitinated FANCD2. It is also involved in PCNA-mediated translesion synthesis (TLS) by deubiquitinating monoubiquitinated PCNA. This protein, which consists of 785 amino acids with a deduced molecular mass of 88.2 kDa, possesses His and Cys domains that are highly conserved in all members of the ubiquitin-specific processing (UBP) family of proteases (PMID: 9806842). The USP1 enzyme can undergo autocleavage, resulting in a 100 kDa N-terminal fragment and a 14 kDa C-terminal fragment (PMID: 18082604).
Protocols
| Product Specific Protocols | |
|---|---|
| WB protocol for USP1 antibody 86453-1-RR | Download protocol |
| Standard Protocols | |
|---|---|
| Click here to view our Standard Protocols |



