Product Information
84172-4-PBS targets PCSK9 as part of a matched antibody pair:
MP01071-4: 84172-4-PBS capture and 84172-6-PBS detection (validated in Sandwich ELISA)
Unconjugated rabbit recombinant monoclonal antibody in PBS only (BSA and azide free) storage buffer at a concentration of 1 mg/mL, ready for conjugation. Created using Proteintech’s proprietary in-house recombinant technology. Recombinant production enables unrivalled batch-to-batch consistency, easy scale-up, and future security of supply.
This conjugation ready format makes antibodies ideal for use in many applications including: ELISAs, multiplex assays requiring matched pairs, mass cytometry, and multiplex imaging applications.Antibody use should be optimized by the end user for each application and assay.
| Tested Reactivity | human |
| Host / Isotype | Rabbit / IgG |
| Class | Recombinant |
| Type | Antibody |
| Immunogen |
CatNo: Eg0362 Product name: Recombinant Human PCSK9 protein (His Tag) Source: mammalian cells-derived, pHZ-KIsec-C-6*HIS Tag: C-6*HIS Domain: 31-692 aa of NM_174936.4 Sequence: QEDEDGDYEELVLALRSEEDGLAEAPEHGTTATFHRCAKDPWRLPGTYVVVLKEETHLSQSERTARRLQAQAARRGYLTKILHVFHGLLPGFLVKMSGDLLELALKLPHVDYIEEDSSVFAQSIPWNLERITPPRYRADEYQPPDGGSLVEVYLLDTSIQSDHREIEGRVMVTDFENVPEEDGTRFHRQASKCDSHGTHLAGVVSGRDAGVAKGASMRSLRVLNCQGKGTVSGTLIGLEFIRKSQLVQPVGPLVVLLPLAGGYSRVLNAACQRLARAGVVLVTAAGNFRDDACLYSPASAPEVITVGATNAQDQPVTLGTLGTNFGRCVDLFAPGEDIIGASSYCSTCFVSQSGTSQAAAHVAGIAAMMLSAEPELTLAELRQRLIHFSAKDVINEAWFPEDQRVLTPNLVAALPPSTHGAGWQLFCRTVWSAHSGPTRMATAVARCAPDEELLSCSSFSRSGKRRGERMEAQGGKLVCRAHNAFGGEGVYAIARCCLLPQANCSVHTAPPAEASMGTRVHCHQQGHVLTGCSSHWEVEDLGTHKPPVLRPRGQPNQCVGHREASIHASCCHAPGLECKVKEHGIPAPQEQVTVACEEGWTLTGCSALPGTSHVLGAYAVDNTCVVRSRDVSTTGSTSEGAVTAVAICCRSRHLAQASQELQ Predict reactive species |
| Full Name | proprotein convertase subtilisin/kexin type 9 |
| Calculated Molecular Weight | 74 kDa |
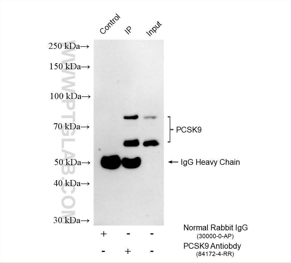
| Observed Molecular Weight | 72-78 kDa, 62 kDa |
| GenBank Accession Number | NM_174936.4 |
| Gene Symbol | PCSK9 |
| Gene ID (NCBI) | 255738 |
| RRID | AB_3671729 |
| Conjugate | Unconjugated |
| Form | Liquid |
| Purification Method | Protein A purification |
| UNIPROT ID | Q8NBP7 |
| Storage Buffer | PBS only, pH 7.3. |
| Storage Conditions | Store at -80°C. |
Background Information
Proprotein convertase subtilisin/kexin type 9 (PCSK9) is a crucial protein governing the circulating levels of low density lipoprotein-cholesterol (LDL-C), by virtue of its pivotal role in the degradation of the LDL receptor (LDLR). PCSK9 is expressed in the kidney and lung. It is synthesized as a 72 kDa immature precursor that undergoes autocatalytic cleavage in the endoplasmic reticulum to generate a 63 kDa mature protein. The cleaved N-terminal fragment remains associated with the mature protein and is necessary for its secretion, allowing it to circulate in the blood. The ability of PCSK9 to regulate a diverse group of cell-surface proteins hinted that it might also be able to influence additional membrane proteins that are important in anti-tumour immune responses. Targeting PCSK9 to treat cancer is also attractive because two neutralizing antibodies against it, evolocumab and alirocumab, have already been approved for human clinical use to lower cholesterol levels. (PMID: 30522786, PMID: 22493497)



















