Tested Applications
| Positive WB detected in | PC-3 cells, HEK-293 cells, HSC-T6 cells, rat liver tissue, HeLa cells, HepG2 cells |
| Positive IHC detected in | human liver tissue, human heart tissue Note: suggested antigen retrieval with TE buffer pH 9.0; (*) Alternatively, antigen retrieval may be performed with citrate buffer pH 6.0 |
| Positive IF-P detected in | human liver cancer tissue |
Recommended dilution
| Application | Dilution |
|---|---|
| Western Blot (WB) | WB : 1:2000-1:10000 |
| Immunohistochemistry (IHC) | IHC : 1:250-1:1000 |
| Immunofluorescence (IF)-P | IF-P : 1:200-1:800 |
| It is recommended that this reagent should be titrated in each testing system to obtain optimal results. | |
| Sample-dependent, Check data in validation data gallery. | |
Published Applications
| WB | See 6 publications below |
| IHC | See 1 publications below |
| IF | See 2 publications below |
Product Information
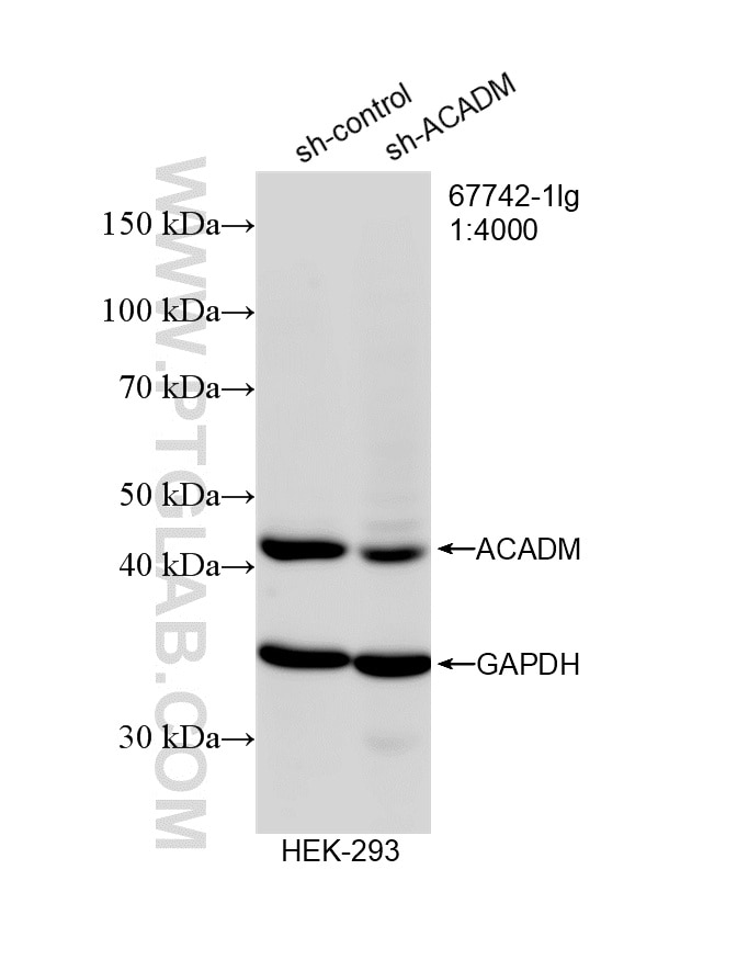
67742-1-Ig targets ACADM in WB, IHC, IF-P, ELISA applications and shows reactivity with human, rat, pig samples.
| Tested Reactivity | human, rat, pig |
| Cited Reactivity | human, mouse, rat, pig |
| Host / Isotype | Mouse / IgG1 |
| Class | Monoclonal |
| Type | Antibody |
| Immunogen |
CatNo: Ag30620 Product name: Recombinant human ACADM protein Source: e coli.-derived, PET28a Tag: 6*His Domain: 205-352 aa of BC005377 Sequence: ARSDPDPKAPANKAFTGFIVEADTPGIQIGRKELNMGQRCSDTRGIVFEDVKVPKENVLIGDGAGFKVAMGAFDKTRPVVAAGAVGLAQRALDEATKYALERKTFGKLLVEHQAISFMLAEMAMKVELARMSYQRAAWEVDSGRRNTY Predict reactive species |
| Full Name | acyl-Coenzyme A dehydrogenase, C-4 to C-12 straight chain |
| Calculated Molecular Weight | 421 aa, 47 kDa |
| Observed Molecular Weight | 42 kDa |
| GenBank Accession Number | BC005377 |
| Gene Symbol | ACADM |
| Gene ID (NCBI) | 34 |
| RRID | AB_2918511 |
| Conjugate | Unconjugated |
| Form | Liquid |
| Purification Method | Protein G purification |
| UNIPROT ID | P11310 |
| Storage Buffer | PBS with 0.02% sodium azide and 50% glycerol, pH 7.3. |
| Storage Conditions | Store at -20°C. Stable for one year after shipment. Aliquoting is unnecessary for -20oC storage. 20ul sizes contain 0.1% BSA. |
Background Information
ACADM, also named as MCAD, belongs to the acyl-CoA dehydrogenase family. This enzyme is specific for acyl chain lengths of 4 to 16. It catalyzes the reaction: Acyl-CoA + acceptor = 2,3-dehydroacyl-CoA + reduced acceptor. Defects in ACADM are the cause of medium-chain acyl-CoA dehydrogenase deficiency (MCAD deficiency). This protein can exsit as a dimer(PMID:8962055). This antibody is specific to ACADM.
Protocols
| Product Specific Protocols | |
|---|---|
| IF protocol for ACADM antibody 67742-1-Ig | Download protocol |
| IHC protocol for ACADM antibody 67742-1-Ig | Download protocol |
| WB protocol for ACADM antibody 67742-1-Ig | Download protocol |
| Standard Protocols | |
|---|---|
| Click here to view our Standard Protocols |
Publications
| Species | Application | Title |
|---|---|---|
Int J Mol Sci High-Dose Fenofibrate Stimulates Multiple Cellular Stress Pathways in the Kidney of Old Rats | ||
Phytomedicine Shenqi Pill alleviates acetaminophen-induced liver injury: a comprehensive strategy of network pharmacology and spectrum-effect relationship reveals mechanisms and active components | ||
J Steroid Biochem Mol Biol Very high-dose vitamin D₃ supplementation reduces the expression of genes and proteins engaged in β-oxidation in healthy pigs | ||
Int J Mol Sci Fenofibrate Differently Affects the Heart's Morphology and Metabolism in Young and Old Rats | ||
Adv Sci (Weinh) N-glycosylation Modification of CTSD Affects Liver Metastases in Colorectal Cancer | ||
PLoS One Unveiling and verification of mitochondria-related genes as potential diagnostic biomarkers in ulcerative colitis based on bioinformatics analysis and experimental validation. |
Reviews
The reviews below have been submitted by verified Proteintech customers who received an incentive for providing their feedback.
FH Agata (Verified Customer) (04-16-2024) | The antibody used in WB gave a single clear band, of appropriate weight, with a strong signal, in rat kidney tissue homogenates - the antibody was excellent on every try.
![]() |


















