Tested Applications
| Positive WB detected in | HL-60 cells, Jurkat cells |
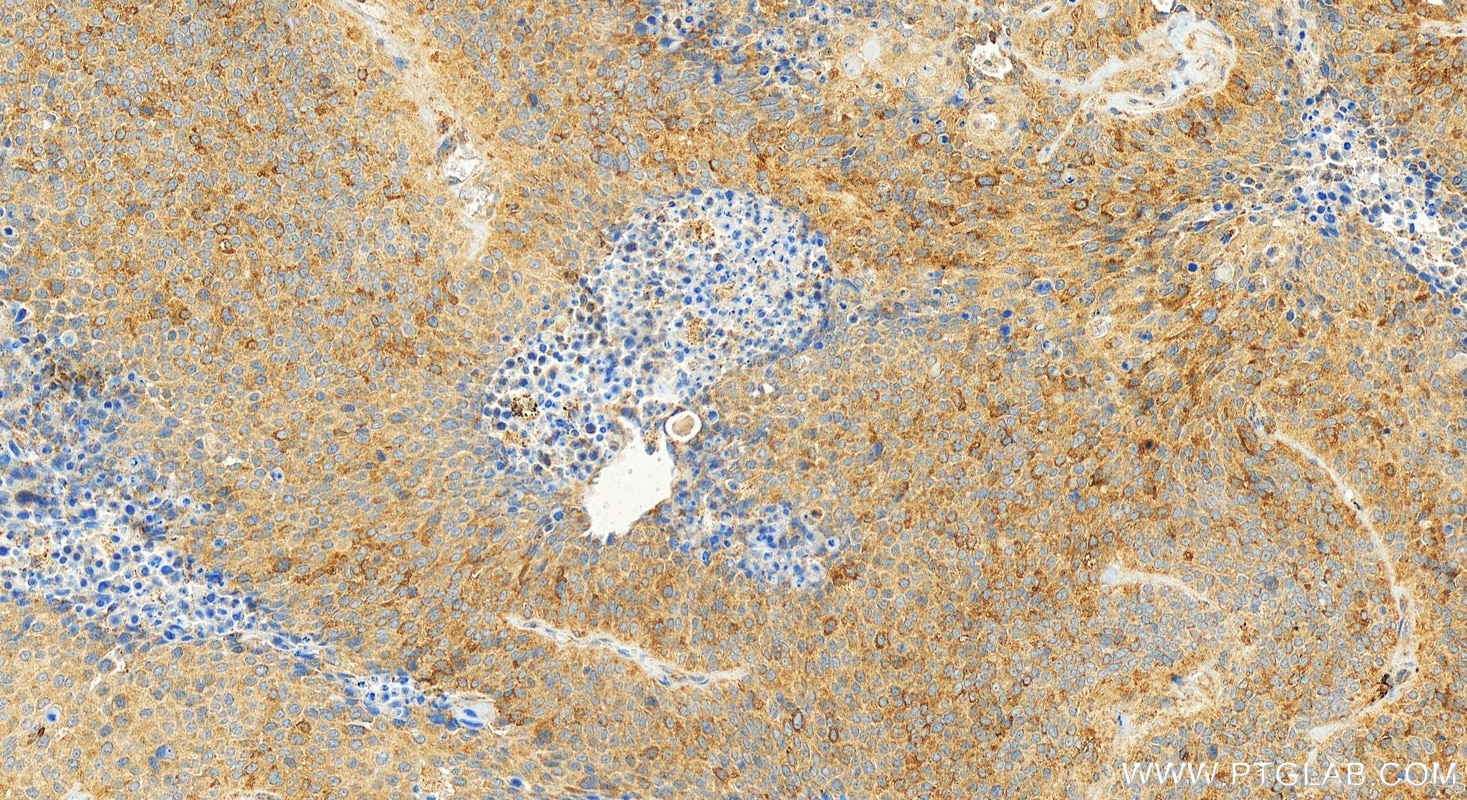
| Positive IHC detected in | human lung squamous cell cancer Note: suggested antigen retrieval with TE buffer pH 9.0; (*) Alternatively, antigen retrieval may be performed with citrate buffer pH 6.0 |
| Positive IF/ICC detected in | Jurkat cells |
Recommended dilution
| Application | Dilution |
|---|---|
| Western Blot (WB) | WB : 1:1000-1:4000 |
| Immunohistochemistry (IHC) | IHC : 1:200-1:800 |
| Immunofluorescence (IF)/ICC | IF/ICC : 1:200-1:800 |
| It is recommended that this reagent should be titrated in each testing system to obtain optimal results. | |
| Sample-dependent, Check data in validation data gallery. | |
Published Applications
| WB | See 2 publications below |
| IF | See 1 publications below |
Product Information
20135-1-AP targets ACAP1 in WB, IHC, IF/ICC, ELISA applications and shows reactivity with human, mouse, rat samples.
| Tested Reactivity | human, mouse, rat |
| Cited Reactivity | human |
| Host / Isotype | Rabbit / IgG |
| Class | Polyclonal |
| Type | Antibody |
| Immunogen |
CatNo: Ag14068 Product name: Recombinant human ACAP1 protein Source: e coli.-derived, PKG Tag: GST Domain: 20-251 aa of BC018543 Sequence: SIELVEAEVSELETRLEKLLKLGTGLLESGRHYLAASRAFVVGICDLARLGPPEPMMAECLEKFTVSLNHKLDSHAELLDATQHTLQQQIQTLVKEGLRGFREARRDFWRGAESLEAALTHNAEVPRRRAQEAEEAGAALRTARAGYRGRALDYALQINVIEDKRKFDIMEFVLRLVEAQATHFQQGHEELSRLSQYRKELGAQLHQLVLNSAREKRDMEQRHVLLKQKELG Predict reactive species |
| Full Name | ArfGAP with coiled-coil, ankyrin repeat and PH domains 1 |
| Calculated Molecular Weight | 740 aa, 82 kDa |
| Observed Molecular Weight | 85 kDa |
| GenBank Accession Number | BC018543 |
| Gene Symbol | ACAP1 |
| Gene ID (NCBI) | 9744 |
| RRID | AB_10696311 |
| Conjugate | Unconjugated |
| Form | Liquid |
| Purification Method | Antigen affinity purification |
| UNIPROT ID | Q15027 |
| Storage Buffer | PBS with 0.02% sodium azide and 50% glycerol, pH 7.3. |
| Storage Conditions | Store at -20°C. Stable for one year after shipment. Aliquoting is unnecessary for -20oC storage. 20ul sizes contain 0.1% BSA. |
Background Information
ACAP1, also named as Centaurin-beta-1, is a 740 amino acid protein, which is expressed Highly in lung and spleen. ACAP1 as a GTPase-activating protein (GAP) for ADP ribosylation factor 6 (ARF6) is required for clathrin-dependent export of proteins from recycling endosomes to trans-Golgi network and cell surface and required for regulated export of ITGB1 from recycling endosomes to the cell surface and ITGB1-dependent cell migration.
Protocols
| Product Specific Protocols | |
|---|---|
| IF protocol for ACAP1 antibody 20135-1-AP | Download protocol |
| IHC protocol for ACAP1 antibody 20135-1-AP | Download protocol |
| WB protocol for ACAP1 antibody 20135-1-AP | Download protocol |
| Standard Protocols | |
|---|---|
| Click here to view our Standard Protocols |
Publications
| Species | Application | Title |
|---|---|---|
Comput Struct Biotechnol J Integrated analysis and validation reveal ACAP1 as a novel prognostic biomarker associated with tumor immunity in lung adenocarcinoma | ||







