Tested Applications
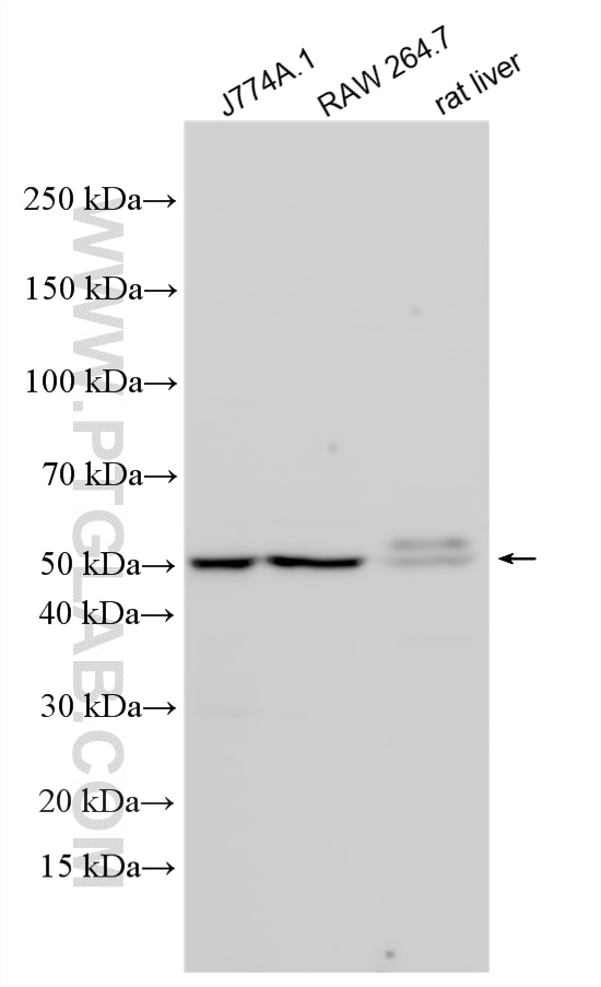
| Positive WB detected in | RAW 264.7 cells, J774A.1 cells, rat liver tissue |
| Positive IHC detected in | human lung cancer tissue, human renal cell carcinoma tissue Note: suggested antigen retrieval with TE buffer pH 9.0; (*) Alternatively, antigen retrieval may be performed with citrate buffer pH 6.0 |
Recommended dilution
| Application | Dilution |
|---|---|
| Western Blot (WB) | WB : 1:200-1:1000 |
| Immunohistochemistry (IHC) | IHC : 1:20-1:200 |
| It is recommended that this reagent should be titrated in each testing system to obtain optimal results. | |
| Sample-dependent, Check data in validation data gallery. | |
Published Applications
| KD/KO | See 1 publications below |
| WB | See 3 publications below |
| IHC | See 1 publications below |
Product Information
19446-1-AP targets ALDH3B1 in WB, IHC, ELISA applications and shows reactivity with human, mouse, rat samples.
| Tested Reactivity | human, mouse, rat |
| Cited Reactivity | human, mouse |
| Host / Isotype | Rabbit / IgG |
| Class | Polyclonal |
| Type | Antibody |
| Immunogen |
CatNo: Ag7025 Product name: Recombinant human ALDH3B1 protein Source: e coli.-derived, PET28a Tag: 6*His Domain: 1-230 aa of BC002553 Sequence: MDPLGDTLRRLREAFHAGRTRPAEFRAAQLQGLGRFLQENKQLLHDALAQDLHKSAFESEVSEVAISQGEVTLALRNLRAWMKDERVPKNLATQLDSAFIRKEPFGLVLIIAPWNYPLNLTLVPLVGALAAGNCVVLKPSEISKNVEKILAEVLPQYVDQSCFAVVLGGPQETGQLLEHRFDYIFFTGSPRVGKIVMTAAAKHPSKQRLPPPSWVFPLPASASSLSRSQP Predict reactive species |
| Full Name | aldehyde dehydrogenase 3 family, member B1 |
| Calculated Molecular Weight | 52 kDa |
| Observed Molecular Weight | 55 kDa |
| GenBank Accession Number | BC002553 |
| Gene Symbol | ALDH3B1 |
| Gene ID (NCBI) | 221 |
| RRID | AB_2861362 |
| Conjugate | Unconjugated |
| Form | Liquid |
| Purification Method | Antigen affinity purification |
| UNIPROT ID | P43353 |
| Storage Buffer | PBS with 0.02% sodium azide and 50% glycerol, pH 7.3. |
| Storage Conditions | Store at -20°C. Stable for one year after shipment. Aliquoting is unnecessary for -20oC storage. 20ul sizes contain 0.1% BSA. |
Background Information
ALDH3B1(Aldehyde dehydrogenase family 3 member B1) is also named as ALDH7 and belongs to the aldehyde dehydrogenase family. It catalyzes fatty and aromatic aldehydes. ALDH3B1 may play a role in the detoxification of aldehydes produced during oxidative stress. This protein has 2 isoforms produced by alternative splicing.
Protocols
| Product Specific Protocols | |
|---|---|
| IHC protocol for ALDH3B1 antibody 19446-1-AP | Download protocol |
| WB protocol for ALDH3B1 antibody 19446-1-AP | Download protocol |
| Standard Protocols | |
|---|---|
| Click here to view our Standard Protocols |
Publications
| Species | Application | Title |
|---|---|---|
Elife FAK activity sustains intrinsic and acquired ovarian cancer resistance to platinum chemotherapy. | ||
Cell Death Dis Aldehyde dehydrogenase 3B2 promotes the proliferation and invasion of cholangiocarcinoma by increasing Integrin Beta 1 expression | ||
Front Immunol The ALDH Family Contributes to Immunocyte Infiltration, Proliferation and Epithelial-Mesenchymal Transformation in Glioma.
| ||
Cell Stress Chaperones ALDH3B1 protects interfollicular epidermal cells against lipid peroxidation via the NRF2 pathway |











