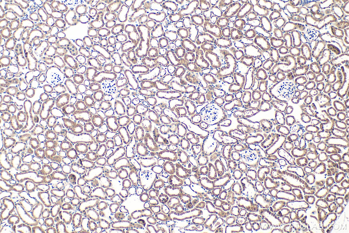
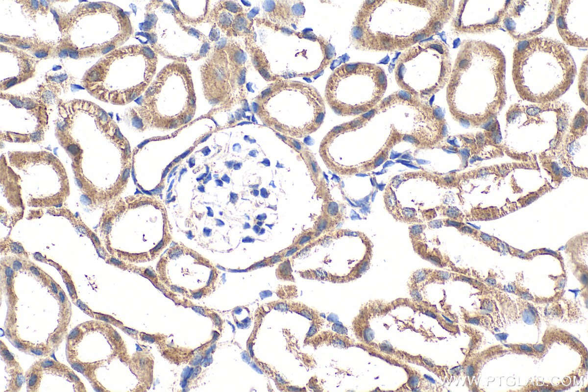
Tested Applications
| Positive IHC detected in | mouse kidney tissue, mouse brain tissue Note: suggested antigen retrieval with TE buffer pH 9.0; (*) Alternatively, antigen retrieval may be performed with citrate buffer pH 6.0 |
| Positive IF-P detected in | rat brain tissue |
Recommended dilution
| Application | Dilution |
|---|---|
| Immunohistochemistry (IHC) | IHC : 1:50-1:500 |
| Immunofluorescence (IF)-P | IF-P : 1:50-1:500 |
| It is recommended that this reagent should be titrated in each testing system to obtain optimal results. | |
| Sample-dependent, Check data in validation data gallery. | |
Product Information
24676-1-AP targets ATP13A5 in IHC, IF-P, ELISA applications and shows reactivity with human, mouse, rat samples.
| Tested Reactivity | human, mouse, rat |
| Host / Isotype | Rabbit / IgG |
| Class | Polyclonal |
| Type | Antibody |
| Immunogen |
CatNo: Ag20337 Product name: Recombinant human ATP13A5 protein Source: e coli.-derived, PET28a Tag: 6*His Domain: 1123-1218 aa of BC156652 Sequence: TQFCVAFFVEDSILQNHELWLLIKREFGFYSKSQYRTWQKKLAEDSTWPPINRTDYSGDGKNGFYINGGYESHEQIPKRKLKLGGQPTEQHFWARL Predict reactive species |
| Full Name | ATPase type 13A5 |
| Calculated Molecular Weight | 1218 aa, 137 kDa |
| GenBank Accession Number | BC156652 |
| Gene Symbol | ATP13A5 |
| Gene ID (NCBI) | 344905 |
| Conjugate | Unconjugated |
| Form | Liquid |
| Purification Method | Antigen affinity purification |
| UNIPROT ID | Q4VNC0 |
| Storage Buffer | PBS with 0.02% sodium azide and 50% glycerol, pH 7.3. |
| Storage Conditions | Store at -20°C. Stable for one year after shipment. Aliquoting is unnecessary for -20oC storage. 20ul sizes contain 0.1% BSA. |
Background Information
ATP13A5 is a member of the P5 subfamily of P-type transport ATPases. ATP13A5 functions within the intracellular membrane system and is mainly responsible for maintaining the ionic homeostasis and phospholipid balance of the intracellular membrane system.
Protocols
| Product Specific Protocols | |
|---|---|
| IF protocol for ATP13A5 antibody 24676-1-AP | Download protocol |
| IHC protocol for ATP13A5 antibody 24676-1-AP | Download protocol |
| Standard Protocols | |
|---|---|
| Click here to view our Standard Protocols |







