Tested Applications
| Positive WB detected in | A431 cells, HepG2 cells, Jurkat cells, HEK-293 cells, HL-60 cells, U-251 cells, U-937 cells, MCF-7 cells, U2OS cells |
| Positive IP detected in | HL-60 cells, HepG2 cells, MCF-7 cells |
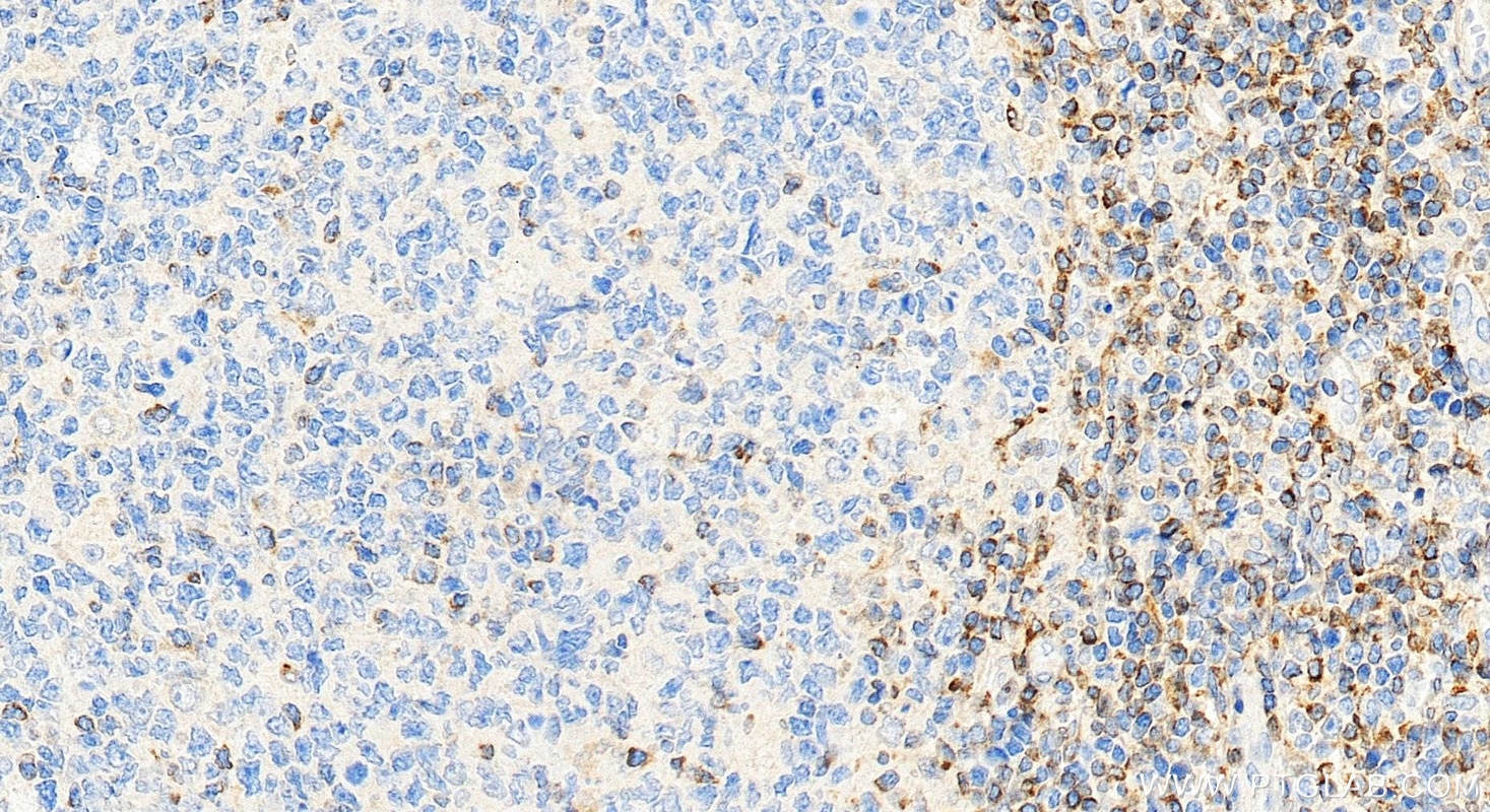
| Positive IHC detected in | human tonsillitis tissue, human lymphoma tissue Note: suggested antigen retrieval with TE buffer pH 9.0; (*) Alternatively, antigen retrieval may be performed with citrate buffer pH 6.0 |
| Positive IF/ICC detected in | Jurkat cells |
| Positive FC (Intra) detected in | Jurkat cells, HeLa cells |
Recommended dilution
| Application | Dilution |
|---|---|
| Western Blot (WB) | WB : 1:2000-1:10000 |
| Immunoprecipitation (IP) | IP : 0.5-4.0 ug for 1.0-3.0 mg of total protein lysate |
| Immunohistochemistry (IHC) | IHC : 1:2000-1:8000 |
| Immunofluorescence (IF)/ICC | IF/ICC : 1:50-1:500 |
| Flow Cytometry (FC) (INTRA) | FC (INTRA) : 0.25 ug per 10^6 cells in a 100 µl suspension |
| It is recommended that this reagent should be titrated in each testing system to obtain optimal results. | |
| Sample-dependent, Check data in validation data gallery. | |
Published Applications
| KD/KO | See 1 publications below |
| WB | See 2721 publications below |
| IHC | See 125 publications below |
| IF | See 53 publications below |
| IP | See 4 publications below |
| CoIP | See 6 publications below |
Product Information
12789-1-AP targets human BCL2 in WB, IHC, IF/ICC, FC (Intra), IP, CoIP, ELISA applications and shows reactivity with human samples.
| Tested Reactivity | human |
| Cited Reactivity | human, rabbit, chicken, zebrafish, hamster, sheep, goat, fish |
| Host / Isotype | Rabbit / IgG |
| Class | Polyclonal |
| Type | Antibody |
| Immunogen |
CatNo: Ag3508 Product name: Recombinant human BCL2 protein Source: e coli.-derived, PGEX-4T Tag: GST Domain: 1-239 aa of BC027258 Sequence: MAHAGRTGYDNREIVMKYIHYKLSQRGYEWDAGDVGAAPPGAAPAPGIFSSQPGHTPHPAASRDPVARTSPLQTPAAPGAAAGPALSPVPPVVHLTLRQAGDDFSRRYRRDFAEMSSQLHLTPFTARGRFATVVEELFRDGVNWGRIVAFFEFGGVMCVESVNREMSPLVDNIALWMTEYLNRHLHTWIQDNGGWDAFVELYGPSMRPLFDFSWLSLKTLLSLALVGACITLGAYLGHK Predict reactive species |
| Full Name | B-cell CLL/lymphoma 2 |
| Calculated Molecular Weight | 26 kDa |
| Observed Molecular Weight | 25-30 kDa |
| GenBank Accession Number | BC027258 |
| Gene Symbol | BCL2 |
| Gene ID (NCBI) | 596 |
| RRID | AB_2227948 |
| Conjugate | Unconjugated |
| Form | Liquid |
| Purification Method | Antigen affinity purification |
| UNIPROT ID | P10415 |
| Storage Buffer | PBS with 0.02% sodium azide and 50% glycerol, pH 7.3. |
| Storage Conditions | Store at -20°C. Stable for one year after shipment. Aliquoting is unnecessary for -20oC storage. 20ul sizes contain 0.1% BSA. |
Background Information
1. What is Bcl-2?
Bcl-2 (B-cell lymphoma 2) is an outer mitochondrial membrane protein that via heterodimerization with BAX proteins controls apoptosis. Abnormalities of Bcl-2 activity can lead to cancer, autoimmune diseases, and schizophrenia.
2. FAQs for Bcl-2
a. How to measure Bcl-2 and Bax apoptotic markers by western blotting
Generally, Bcl-2 protein is considered to have anti-apoptotic activity, while Bax has apoptotic activity. Comparing the ratio between Bcl-2 and Bax protein levels in different samples or cells subjected to treatments can reflect the apoptotic state of the cells. Expression of Bax can vary between cell lines and it is important to compare it to Bcl-2 levels.
b. What band size should I expect in western blotting for Bcl-2?
The molecular weight of Bcl-2 is 26 kDa.
Protocols
| Product Specific Protocols | |
|---|---|
| FC protocol for human BCL2 antibody 12789-1-AP | Download protocol |
| IF protocol for human BCL2 antibody 12789-1-AP | Download protocol |
| IHC protocol for human BCL2 antibody 12789-1-AP | Download protocol |
| IP protocol for human BCL2 antibody 12789-1-AP | Download protocol |
| WB protocol for human BCL2 antibody 12789-1-AP | Download protocol |
| Standard Protocols | |
|---|---|
| Click here to view our Standard Protocols |
Publications
| Species | Application | Title |
|---|---|---|
Signal Transduct Target Ther Targeting CRL4 suppresses chemoresistant ovarian cancer growth by inducing mitophagy | ||
Cell Metab Exercise-activated hepatic autophagy via the FN1-α5β1 integrin pathway drives metabolic benefits of exercise | ||
Cell Stem Cell Generation of a humanized mesonephros in pigs from induced pluripotent stem cells via embryo complementation | ||
ACS Nano Nanoparticle-Mediated Co-Delivery of Notch-1 Antibodies and ABT-737 as a Potent Treatment Strategy for Triple-Negative Breast Cancer. | ||
ACS Nano Melatonin-Derived Carbon Dots with Free Radical Scavenging Property for Effective Periodontitis Treatment via the Nrf2/HO-1 Pathway | ||
ACS Nano Nanointegrative In Situ Reprogramming of Tumor-Intrinsic Lipid Droplet Biogenesis for Low-Dose Radiation-Activated Ferroptosis Immunotherapy |
Reviews
The reviews below have been submitted by verified Proteintech customers who received an incentive for providing their feedback.
FH Mounika (Verified Customer) (01-08-2026) | Very easy antibodies work with, easy with dilutions and westerns!
|
FH MALLIKARJUNA (Verified Customer) (11-26-2025) | good for IHC
|
FH Alexandru (Verified Customer) (11-21-2023) | The antibody works well in recognising Bcl-2 in western blots. Great product!
|
FH Jia (Verified Customer) (03-01-2022) | The antibody works well for Bcl2, we recommend it.
|
FH Giyeong (Verified Customer) (02-18-2022) | Works well with sharp distinct vand
|
FH Morgan (Verified Customer) (10-26-2021) | This product worked really well. I attached photos to show how clean the blot came out when used on ovarian cancer cells (OV90s). I used 1:500 for the first use, but I could definitely use less antibody next time.
![]() |
FH Tom (Verified Customer) (10-09-2020) | This antibody recognizes Bcl-2 at the correct molecular weight. Highly recommended!
|
FH Bastien (Verified Customer) (08-19-2020) | Staining of B cells from mice bone marrow after cytoplasmic permezbiliation. The cells were first fixed and permeabilized with intracellular fix and perm set from ebioscience and then stained with 0,05 µl/ million cells with Bcl2 antibody (12789-1-AP) during 50min After, a seconde staining was performed with 0,1µl/million cells of F(ab')2-Donkey anti-Rabbit IgG (H+L), PE, Secondary Antibody from invitrogen. In blue secondary antibody only and in red primary (12789-1-AP) +secondary antibody.
![]() |







































