Tested Applications
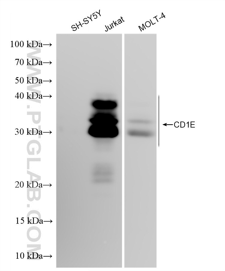
| Positive WB detected in | Jurkat cells, MOLT-4 cells |
| Positive IF/ICC detected in | Jurkat cells |
Recommended dilution
| Application | Dilution |
|---|---|
| Western Blot (WB) | WB : 1:2000-1:10000 |
| Immunofluorescence (IF)/ICC | IF/ICC : 1:250-1:1000 |
| It is recommended that this reagent should be titrated in each testing system to obtain optimal results. | |
| Sample-dependent, Check data in validation data gallery. | |
Product Information
87398-1-RR targets CD1e in WB, IF/ICC, ELISA applications and shows reactivity with human samples.
| Tested Reactivity | human |
| Host / Isotype | Rabbit / IgG |
| Class | Recombinant |
| Type | Antibody |
| Immunogen |
CatNo: Eg9185 Product name: Recombinant human B2M-CD1E protein Source: mammalian cells-derived, pHZ-KIsec-C-6*HIS Tag: C-Twin-Strep-Tag Sequence: \ Predict reactive species |
| Full Name | CD1e |
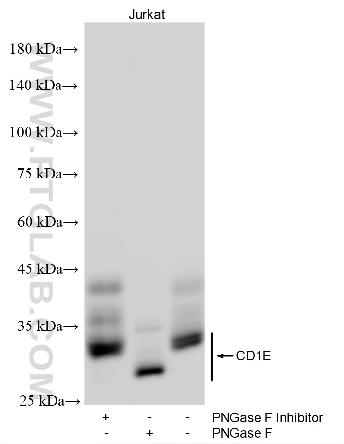
| Observed Molecular Weight | 27 kDa, 30-45 kDa |
| Gene Symbol | |
| Gene ID (NCBI) | |
| Conjugate | Unconjugated |
| Form | Liquid |
| Purification Method | Protein A purification |
| UNIPROT ID | P15812 |
| Storage Buffer | PBS with 0.02% sodium azide and 50% glycerol, pH 7.3. |
| Storage Conditions | Store at -20°C. Stable for one year after shipment. Aliquoting is unnecessary for -20oC storage. 20ul sizes contain 0.1% BSA. |
Background Information
CD1e molecule (CD1e, also known as R2 and CD1A) is a member of the CD1 family of transmembrane glycoproteins, which are structurally related to the major histocompatibility complex (MHC) proteins and form heterodimers with beta-2-microglobulin (PMID: 10948205). The discoverers of the CD1 locus originally separated CD1 proteins into group 1 (CD1a, CD1b, and CD1c) and group 2 (CD1d), based on amino acid sequence homology (PMID: 2467814). CD1e is an important modulator of group 1 and group 2 CD1-restricted responses influencing the lipid antigen availability and the generation and persistence of CD1-lipid complexes (PMID: 21844346). CD1e may exhibit varying degrees of molecular weight migration in immunoblotting due to differences in glycosylation modification levels. The molecular weight of non N-glycosylated CD1e is 27 kDa (PMID: 19196239).
Protocols
| Product Specific Protocols | |
|---|---|
| IF protocol for CD1e antibody 87398-1-RR | Download protocol |
| WB protocol for CD1e antibody 87398-1-RR | Download protocol |
| Standard Protocols | |
|---|---|
| Click here to view our Standard Protocols |







