Tested Applications
| Positive WB detected in | HeLa cells, K-562 cells, HEK-293 cells |
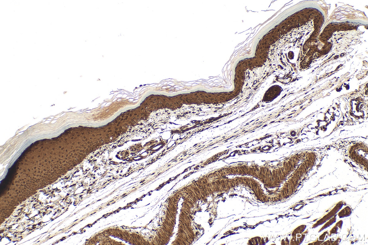
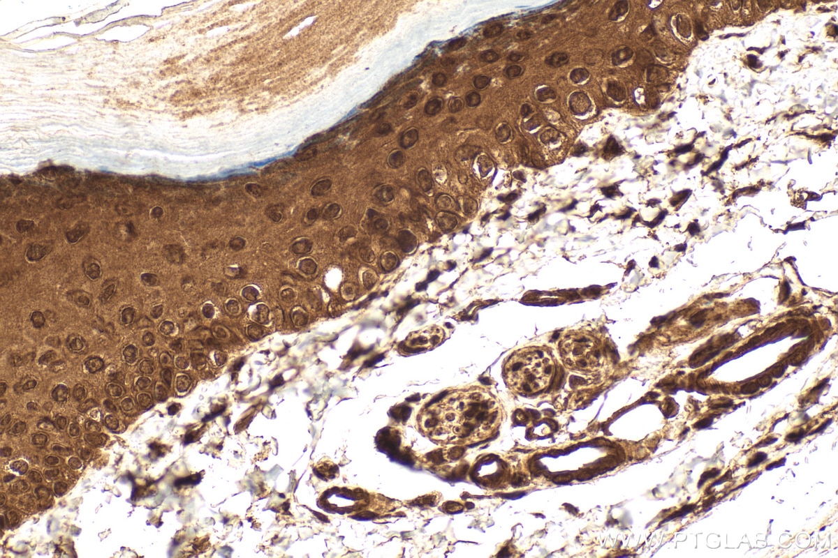
| Positive IHC detected in | mouse skin tissue Note: suggested antigen retrieval with TE buffer pH 9.0; (*) Alternatively, antigen retrieval may be performed with citrate buffer pH 6.0 |
Recommended dilution
| Application | Dilution |
|---|---|
| Western Blot (WB) | WB : 1:1000-1:4000 |
| Immunohistochemistry (IHC) | IHC : 1:50-1:500 |
| It is recommended that this reagent should be titrated in each testing system to obtain optimal results. | |
| Sample-dependent, Check data in validation data gallery. | |
Published Applications
| WB | See 2 publications below |
Product Information
26636-1-AP targets CFDP1 in WB, IHC, ELISA applications and shows reactivity with human samples.
| Tested Reactivity | human |
| Cited Reactivity | human |
| Host / Isotype | Rabbit / IgG |
| Class | Polyclonal |
| Type | Antibody |
| Immunogen |
CatNo: Ag24425 Product name: Recombinant human CFDP1 protein Source: e coli.-derived, PGEX-4T Tag: GST Domain: 172-299 aa of BC000991 Sequence: AGEEVRVTKEVDATSKEAKSFFKQNEKEKPQANVPSALPSLPAGSGLKRSSGMSSLLGKIGAKKQKMSTLEKSKLDWESFKEEEGIGEELAIHNRGKEGYIERKAFLDRVDHRQFEIERDLRLSKMKP Predict reactive species |
| Full Name | craniofacial development protein 1 |
| Calculated Molecular Weight | 299 aa, 34 kDa |
| Observed Molecular Weight | 45-50 kDa |
| GenBank Accession Number | BC000991 |
| Gene Symbol | CFDP1 |
| Gene ID (NCBI) | 10428 |
| RRID | AB_2880585 |
| Conjugate | Unconjugated |
| Form | Liquid |
| Purification Method | Antigen affinity purification |
| UNIPROT ID | Q9UEE9 |
| Storage Buffer | PBS with 0.02% sodium azide and 50% glycerol, pH 7.3. |
| Storage Conditions | Store at -20°C. Stable for one year after shipment. Aliquoting is unnecessary for -20oC storage. 20ul sizes contain 0.1% BSA. |
Protocols
| Product Specific Protocols | |
|---|---|
| IHC protocol for CFDP1 antibody 26636-1-AP | Download protocol |
| WB protocol for CFDP1 antibody 26636-1-AP | Download protocol |
| Standard Protocols | |
|---|---|
| Click here to view our Standard Protocols |
Publications
| Species | Application | Title |
|---|---|---|
Cancer Med CFDP1 promotes hepatocellular carcinoma progression through activating NEDD4/PTEN/PI3K/AKT signaling pathway. | ||
Biosci Rep Overcoming off-targets: assessing Western blot signals for Bcnt/Cfdp1, a tentative component of the chromatin remodeling complex. |











