Tested Applications
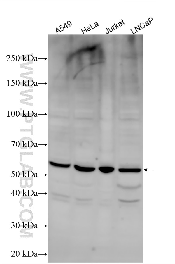
| Positive WB detected in | A549 cells, COLO 320 cells, HeLa cells, Jurkat cells, LNCaP cells |
| Positive IP detected in | COLO 320 cells |
Recommended dilution
| Application | Dilution |
|---|---|
| Western Blot (WB) | WB : 1:500-1:2000 |
| Immunoprecipitation (IP) | IP : 0.5-4.0 ug for 1.0-3.0 mg of total protein lysate |
| It is recommended that this reagent should be titrated in each testing system to obtain optimal results. | |
| Sample-dependent, Check data in validation data gallery. | |
Published Applications
| WB | See 1 publications below |
Product Information
20439-1-AP targets CLK1 in WB, IP, ELISA applications and shows reactivity with human samples.
| Tested Reactivity | human |
| Cited Reactivity | human |
| Host / Isotype | Rabbit / IgG |
| Class | Polyclonal |
| Type | Antibody |
| Immunogen |
CatNo: Ag14214 Product name: Recombinant human CLK1 protein Source: e coli.-derived, PGEX-4T Tag: GST Domain: 1-143 aa of BC031549 Sequence: MRHSKRTYCPDWDDKDWDYGKWRSSSSHKRRKRSHSSAQENKRCKYNHSKMCDSHYLESRSINEKDYHSRRYIDEYRNDYTQGCEPGHRQRDHESRYQNHSSKSSGRSGRSSYKSKHRIHHSTSHRRSHGKSHRRKRTRSVED Predict reactive species |
| Full Name | CDC-like kinase 1 |
| Calculated Molecular Weight | 484 aa, 57 kDa |
| Observed Molecular Weight | 62 kDa |
| GenBank Accession Number | BC031549 |
| Gene Symbol | CLK1 |
| Gene ID (NCBI) | 1195 |
| RRID | AB_2878686 |
| Conjugate | Unconjugated |
| Form | Liquid |
| Purification Method | Antigen affinity purification |
| UNIPROT ID | P49759 |
| Storage Buffer | PBS with 0.02% sodium azide and 50% glycerol, pH 7.3. |
| Storage Conditions | Store at -20°C. Stable for one year after shipment. Aliquoting is unnecessary for -20oC storage. 20ul sizes contain 0.1% BSA. |
Background Information
CLK1 (CDC-like kinase 1) is the dual specificity kinase acting on both serine/threonine and tyrosine-containing substrates. It phosphorylates serine- and arginine-rich (SR) proteins of the spliceosomal complex and may be a constituent of a network of regulatory mechanisms that enable SR proteins to control RNA splicing. It can phosphorylate: SRSF1, SRSF3 and PTPN1 (PMID: 10480872; 19168442). It also regulates the alternative splicing of tissue factor (F3) pre-mRNA in endothelial cells (PMID: 19168442). Elevated CLK1 activity is frequently detected in cancers, where it alters splice isoform balance to promote proliferation, invasion and chemoresistance, making it an emerging therapeutic target.
Protocols
| Product Specific Protocols | |
|---|---|
| IP protocol for CLK1 antibody 20439-1-AP | Download protocol |
| WB protocol for CLK1 antibody 20439-1-AP | Download protocol |
| Standard Protocols | |
|---|---|
| Click here to view our Standard Protocols |









