Tested Applications
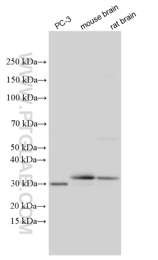
| Positive WB detected in | PC-3 cells, mouse thymus tissue, mouse brain tissue, rat brain tissue |
| Positive IP detected in | mouse brain tissue |
| Positive IHC detected in | human skin cancer tissue Note: suggested antigen retrieval with TE buffer pH 9.0; (*) Alternatively, antigen retrieval may be performed with citrate buffer pH 6.0 |
| Positive IF/ICC detected in | HeLa cells, HEK-293 cells |
Recommended dilution
| Application | Dilution |
|---|---|
| Western Blot (WB) | WB : 1:5000-1:50000 |
| Immunoprecipitation (IP) | IP : 0.5-4.0 ug for 1.0-3.0 mg of total protein lysate |
| Immunohistochemistry (IHC) | IHC : 1:50-1:500 |
| Immunofluorescence (IF)/ICC | IF/ICC : 1:250-1:1000 |
| It is recommended that this reagent should be titrated in each testing system to obtain optimal results. | |
| Sample-dependent, Check data in validation data gallery. | |
Published Applications
| KD/KO | See 1 publications below |
| WB | See 3 publications below |
| IF | See 1 publications below |
Product Information
10455-1-AP targets CLTB in WB, IHC, IF/ICC, IP, ELISA applications and shows reactivity with human, mouse, rat samples.
| Tested Reactivity | human, mouse, rat |
| Cited Reactivity | human, mouse |
| Host / Isotype | Rabbit / IgG |
| Class | Polyclonal |
| Type | Antibody |
| Immunogen |
CatNo: Ag0707 Product name: Recombinant human CLTB protein Source: e coli.-derived, PGEX-4T Tag: GST Domain: 1-211 aa of BC006457 Sequence: MADDFGFFSSSESGAPEAAEEDPAAAFLAQQESEIAGIENDEGFGAPAGSHAAPAQPGPTSGAGSEDMGTTVNGDVFQEANGPADGYAAIAQADRLTQEPESIRKWREEQRKRLQELDAASKVTEQEWREKAKKDLEEWNQRQSEQVEKNKINNRASEEAFVKESKEETPGTEWEKVAQLCDFNPKSSKQCKDVSRLRSVLMSLKQTPLSR Predict reactive species |
| Full Name | clathrin, light chain (Lcb) |
| Calculated Molecular Weight | 23 kDa |
| Observed Molecular Weight | 30-38 kDa |
| GenBank Accession Number | BC006457 |
| Gene Symbol | CLTB |
| Gene ID (NCBI) | 1212 |
| RRID | AB_2083149 |
| Conjugate | Unconjugated |
| Form | Liquid |
| Purification Method | Antigen affinity purification |
| UNIPROT ID | P09497 |
| Storage Buffer | PBS with 0.02% sodium azide and 50% glycerol, pH 7.3. |
| Storage Conditions | Store at -20°C. Stable for one year after shipment. Aliquoting is unnecessary for -20oC storage. 20ul sizes contain 0.1% BSA. |
Background Information
Clathrin is the major protein of the polyhedral coat of coated pits and vesicles which entrap specific macromolecules during receptor-mediated endocytosis. The clathrin molecule has a triskelion shape. Each clathrin triskelion is composed of three identical heavy chains (180 kDa) and three light chains of two types, LCA (CLTA) and LCB (CLTB) (30-40 kDa). The light chain subunits are thought to regulate the formation or disassembly of clathrin coats. (PMID: 2445759; 8374173; 3563513)
Protocols
| Product Specific Protocols | |
|---|---|
| IF protocol for CLTB antibody 10455-1-AP | Download protocol |
| IHC protocol for CLTB antibody 10455-1-AP | Download protocol |
| IP protocol for CLTB antibody 10455-1-AP | Download protocol |
| WB protocol for CLTB antibody 10455-1-AP | Download protocol |
| Standard Protocols | |
|---|---|
| Click here to view our Standard Protocols |
Publications
| Species | Application | Title |
|---|---|---|
Proc Natl Acad Sci U S A Clathrin light chains' role in selective endocytosis influences antibody isotype switching.
| ||
Proc Natl Acad Sci U S A Clathrin light chain diversity regulates membrane deformation in vitro and synaptic vesicle formation in vivo. | ||
J Virol Dabie bandavirus Nonstructural Protein Interacts with Actin to Induce F-Actin Rearrangement and Inhibit Viral Adsorption and Entry. | ||
bioRxiv Downregulation of lysosomal trafficking in ARPE19 cells leads to decreased transfection efficiency at high passage |













