Tested Applications
| Positive WB detected in | Saos-2 cells, MG-63 cells |
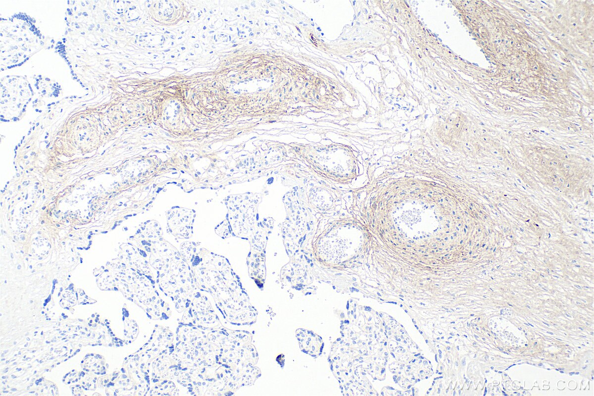
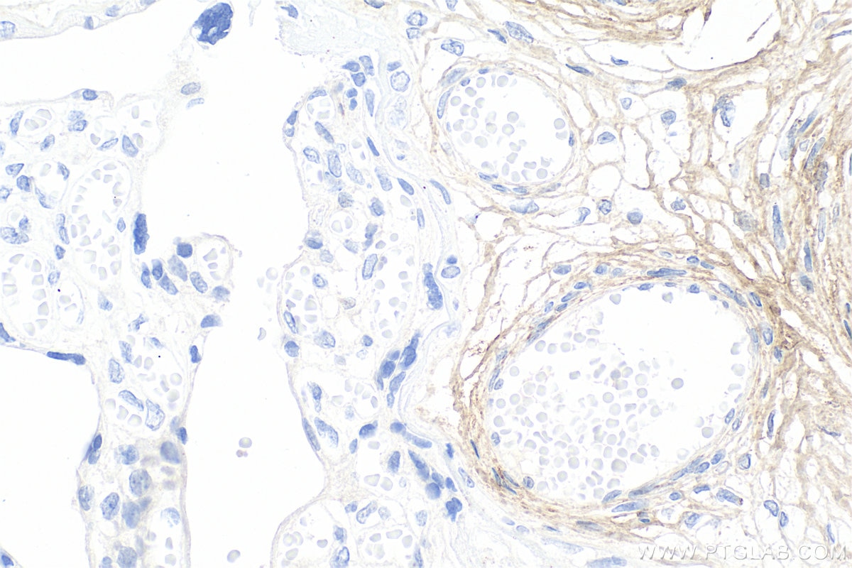
| Positive IHC detected in | human skin tissue, human placenta tissue Note: suggested antigen retrieval with TE buffer pH 9.0; (*) Alternatively, antigen retrieval may be performed with citrate buffer pH 6.0 |
| Positive IF/ICC detected in | HSC-T6 cells |
| Positive FC (Intra) detected in | SW480 cells, HSC-T6 cells |
Recommended dilution
| Application | Dilution |
|---|---|
| Western Blot (WB) | WB : 1:500-1:2000 |
| Immunohistochemistry (IHC) | IHC : 1:500-1:2000 |
| Immunofluorescence (IF)/ICC | IF/ICC : 1:125-1:500 |
| Flow Cytometry (FC) (INTRA) | FC (INTRA) : 0.25 ug per 10^6 cells in a 100 µl suspension |
| It is recommended that this reagent should be titrated in each testing system to obtain optimal results. | |
| Sample-dependent, Check data in validation data gallery. | |
Published Applications
| WB | See 5 publications below |
| IF | See 2 publications below |
Product Information
83752-5-RR targets Collagen Type I in WB, IHC, IF/ICC, FC (Intra), ELISA applications and shows reactivity with human, rat samples.
| Tested Reactivity | human, rat |
| Cited Reactivity | mouse, rat |
| Host / Isotype | Rabbit / IgG |
| Class | Recombinant |
| Type | Antibody |
| Immunogen |
CatNo: Ag6281 Product name: Recombinant human COL1A2 protein Source: e coli.-derived, PET28a Tag: 6*His Domain: 1017-1366 aa of BC054498 Sequence: RGLPGLKGHNGLQGLPGIAGHHGDQGAPGSVGPAGPRGPAGPSGPAGKDGRTGHPGTVGPAGIRGPQGHQGPAGPPGPPGPPGPPGVSGGGYDFGYDGDFYRADQPRSAPSLRPKDYEVDATLKSLNNQIETLLTPEGSRKNPARTCRDLRLSHPEWSSGYYWIDPNQGCTMDAIKVYCDFSTGETCIRAQPENIPAKNWYRSSKDKKHVWLGETINAGSQFEYNVEGVTSKEMATQLAFMRLLANYASQNITYHCKNSIAYMDEETGNLKKAVILQGSNDVELVAEGNSRFTYTVLVDGCSKKTNEWGKTIIEYKTNKPSRLPFLDIAPLDIGGADQEFFVDIGPVCFK Predict reactive species |
| Full Name | collagen, type I, alpha 2 |
| Calculated Molecular Weight | 1366 aa, 130 kDa |
| Observed Molecular Weight | 100-160 kDa |
| GenBank Accession Number | BC054498 |
| Gene Symbol | COL1A2 |
| Gene ID (NCBI) | 1278 |
| RRID | AB_3671349 |
| Conjugate | Unconjugated |
| Form | Liquid |
| Purification Method | Protein A purfication |
| UNIPROT ID | P08123 |
| Storage Buffer | PBS with 0.02% sodium azide and 50% glycerol, pH 7.3. |
| Storage Conditions | Store at -20°C. Stable for one year after shipment. Aliquoting is unnecessary for -20oC storage. 20ul sizes contain 0.1% BSA. |
Background Information
Type I collagen, the major structural component of connective tissues such as skin, tendon and bone, is the most abundant and widely expressed collagen in humans (PMID: 7620364; 8645190; 9016532). Type I collagen is a heterotrimer comprising one alpha 2(I) and two alpha 1(I) chains which are encoded by the unlinked loci COL1A2 and COL1A1 respectively. Type I collagen has a molecular mass of about 250-300 kDa, while the alpha 2(I) chain has a molecular weight of about 100-140 kDa. Mutations in COL1A2 gene are associated with osteogenesis imperfecta, Ehlers-Danlos syndrome, idiopathic osteoporosis, and atypical Marfan syndrome. This antibody raised against 1017-1366 aa of human pro-alpha 2 chain of type l collagen can recognize collagen alpha 2(1) chain and C-terminal propeptide of pro-alpha 2(1) chain.
Protocols
| Product Specific Protocols | |
|---|---|
| FC protocol for Collagen Type I antibody 83752-5-RR | Download protocol |
| IF protocol for Collagen Type I antibody 83752-5-RR | Download protocol |
| IHC protocol for Collagen Type I antibody 83752-5-RR | Download protocol |
| WB protocol for Collagen Type I antibody 83752-5-RR | Download protocol |
| Standard Protocols | |
|---|---|
| Click here to view our Standard Protocols |
Publications
| Species | Application | Title |
|---|---|---|
Bioact Mater Bioengineered platelet nanoplatform enables renal-targeted dexamethasone delivery for chronic nephritis therapy with dual anti-inflammatory/anti-fibrotic effects and minimized systemic toxicity | ||
Regen Biomater Shockwave-driven activation of endoplasmic reticulum stress in osteoblasts to enhance bone formation under osteoporotic conditions. | ||
Bioact Mater Chiral Fe(3)O(4)/GelMA hydrogels regulate the osteoimmune microenvironment via Itgb3-mediated macrophage polarization to combat peri-implantitis. | ||
FASEB J Fibroblast Growth Factor 11 Improves Fertility by Alleviating Intrauterine Adhesionss in Rats Through Inhibition of the Transforming Growth Factor-β1/Smad Pathway. | ||
Fitoterapia QiShenYiQi dripping pills ameliorate post-myocardial infarction cardiac fibrosis via modulation of the cAMP/Rap1 and PI3K/Akt signaling pathways. |



















