Tested Applications
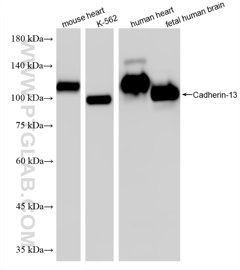
| Positive WB detected in | mouse heart tissue, K-562 cells, human heart tissue, fetal human brain tissue |
Recommended dilution
| Application | Dilution |
|---|---|
| Western Blot (WB) | WB : 1:2000-1:10000 |
| It is recommended that this reagent should be titrated in each testing system to obtain optimal results. | |
| Sample-dependent, Check data in validation data gallery. | |
Product Information
87073-2-RR targets Cadherin-13 in WB, ELISA applications and shows reactivity with human, mouse samples.
| Tested Reactivity | human, mouse |
| Host / Isotype | Rabbit / IgG |
| Class | Recombinant |
| Type | Antibody |
| Immunogen |
CatNo: Eg5964 Product name: Recombinant Human Cadherin-13 protein (rFc Tag) Source: mammalian cells-derived, V37 Tag: C-rFc Domain: 139-693 aa of NM_001257.4 Sequence: SIVVSPILIPENQRQPFPRDVGKVVDSDRPERSKFRLTGKGVDQEPKGIFRINENTGSVSVTRTLDREVIAVYQLFVETTDVNGKTLEGPVPLEVIVIDQNDNRPIFREGPYIGHVMEGSPTGTTVMRMTAFDADDPATDNALLRYNIRQQTPDKPSPNMFYIDPEKGDIVTVVSPALLDRETLENPKYELIIEAQDMAGLDVGLTGTATATIMIDDKNDHSPKFTKKEFQATVEEGAVGVIVNLTVEDKDDPTTGAWRAAYTIINGNPGQSFEIHTNPQTNEGMLSVVKPLDYEISAFHTLLIKVENEDPLVPDVSYGPSSTATVHITVLDVNEGPVFYPDPMMVTRQEDLSVGSVLLTVNATDPDSLQHQTIRYSVYKDPAGWLNINPINGTVDTTAVLDRESPFVDNSVYTALFLAIDSGNPPATGTGTLLITLEDVNDNAPFIYPTVAEVCDDAKNLSVVILGASDKDLHPNTDPFKFEIHKQAVPDKVWKISKINNTHALVSLLQNLNKANYNLPIMVTDSGKPPMTNITDLRVQVCSCRNSKVDCNAAG Predict reactive species |
| Full Name | cadherin 13, H-cadherin (heart) |
| Calculated Molecular Weight | 78 kDa |
| Observed Molecular Weight | 90-110 kDa |
| GenBank Accession Number | NM_001257.4 |
| Gene Symbol | Cadherin-13 |
| Gene ID (NCBI) | 1012 |
| Conjugate | Unconjugated |
| Form | Liquid |
| Purification Method | Protein A purification |
| UNIPROT ID | P55290-1 |
| Storage Buffer | PBS with 0.02% sodium azide and 50% glycerol, pH 7.3. |
| Storage Conditions | Store at -20°C. Stable for one year after shipment. Aliquoting is unnecessary for -20oC storage. 20ul sizes contain 0.1% BSA. |
Background Information
Cadherins are a family of transmembrane glycoproteins that mediate calcium-dependent cell-cell adhesion and play an important role in the maintenance of normal tissue architecture. Cadherin-13 (CDH13, also known as H-cadherin or T-cadherin) is an atypical member of cadherin family, lacking transmembrane and cytosolic domains and anchored to the exterior surface of the plasma membrane via a GPI anchor. CDH13 is thought to affect cellular behavior largely through its signaling properties. It is highly expressed in heart, and in the CNS, CDH13 is expressed in cerebral cortex, medulla, hippocampus, amygdala, thalamus and substantia nigra. It is often down-regulated in cancerous cells. The CDH13 cDNA encodes a 713-amino acid protein, which has a calculated molecular weight of 78 kDa. Studies have detected variable bands on Western blots, including 105 kDa (mature form), 130 kDa (precursor), and 45 kDa, which may be a post-translational processing variant of CDH13 (PMID: 19399994).
Protocols
| Product Specific Protocols | |
|---|---|
| WB protocol for Cadherin-13 antibody 87073-2-RR | Download protocol |
| Standard Protocols | |
|---|---|
| Click here to view our Standard Protocols |





