Tested Applications
| Positive WB detected in | human testis tissue, mouse testis tissue |
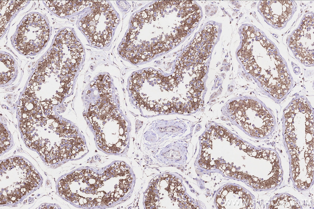
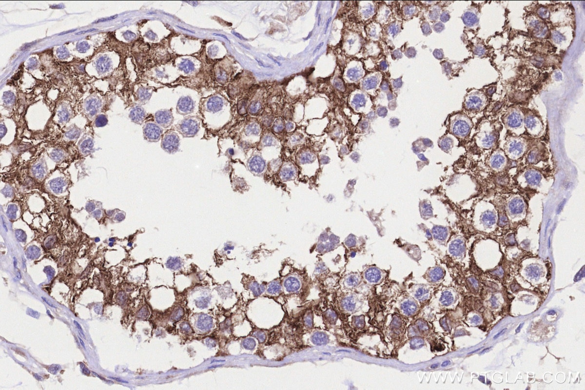
| Positive IHC detected in | human testis tissue Note: suggested antigen retrieval with TE buffer pH 9.0; (*) Alternatively, antigen retrieval may be performed with citrate buffer pH 6.0 |
Recommended dilution
| Application | Dilution |
|---|---|
| Western Blot (WB) | WB : 1:500-1:1000 |
| Immunohistochemistry (IHC) | IHC : 1:250-1:1000 |
| It is recommended that this reagent should be titrated in each testing system to obtain optimal results. | |
| Sample-dependent, Check data in validation data gallery. | |
Product Information
23809-1-AP targets FATE1 in WB, IHC, ELISA applications and shows reactivity with human, mouse samples.
| Tested Reactivity | human, mouse |
| Host / Isotype | Rabbit / IgG |
| Class | Polyclonal |
| Type | Antibody |
| Immunogen |
CatNo: Ag20757 Product name: Recombinant human FATE1 protein Source: e coli.-derived, PET30a Tag: 6*His Domain: 1-163 aa of BC022064 Sequence: MAGGPPNTKAEMEMSLAEELNHGRQGENQEHLVIAEMMELGSRSRGASQKKQKLEQKAAGSASAKRVWNMTATRPKKMGSQLPKPRMLRESGHGDAHLQEYAGNFQGIRFHYDRNPGTDAVAQTSLEEFNVLEMEVMRRQLYAVNRRLRALEEQGATWRHRET Predict reactive species |
| Full Name | fetal and adult testis expressed 1 |
| Calculated Molecular Weight | 21 kDa |
| Observed Molecular Weight | 21 kDa |
| GenBank Accession Number | BC022064 |
| Gene Symbol | FATE1 |
| Gene ID (NCBI) | 89885 |
| RRID | AB_2879328 |
| Conjugate | Unconjugated |
| Form | Liquid |
| Purification Method | Antigen affinity purification |
| UNIPROT ID | Q969F0 |
| Storage Buffer | PBS with 0.02% sodium azide and 50% glycerol, pH 7.3. |
| Storage Conditions | Store at -20°C. Stable for one year after shipment. Aliquoting is unnecessary for -20oC storage. 20ul sizes contain 0.1% BSA. |
Background Information
FATE1 ,also named as Fetal and adult testis expressed transcript protein, express predominantly in testis, with some expression in lung, heart, kidney, adrenal gland and whole brain. FATE might represent a novel target gene of SF-1 in testicular differentiation and germ cell development. FATE1 also involves in the regulation of a wide variety of cellular processes ,including the cell cycle, immune responses, signaling cascades and developmental events through target proteins, such as cyclins, cyclin-dependent kinase inhibitors.
Protocols
| Product Specific Protocols | |
|---|---|
| IHC protocol for FATE1 antibody 23809-1-AP | Download protocol |
| WB protocol for FATE1 antibody 23809-1-AP | Download protocol |
| Standard Protocols | |
|---|---|
| Click here to view our Standard Protocols |







