Tested Applications
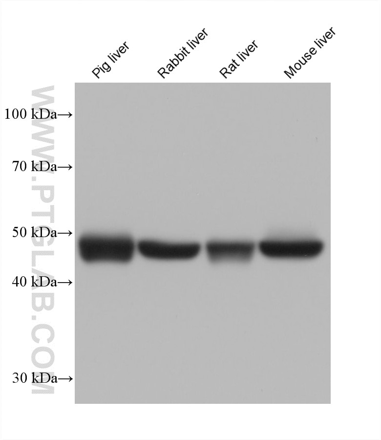
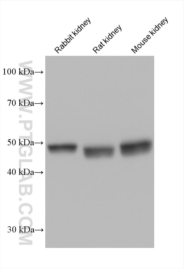
| Positive WB detected in | pig liver tissue, pig kidney tissue, rabbit kidney tissue, Rabbit liver tissue, Rat liver tissue, Mouse liver tissue, Rat kidney tissue, Mouse kidney tissue |
Recommended dilution
| Application | Dilution |
|---|---|
| Western Blot (WB) | WB : 1:5000-1:50000 |
| It is recommended that this reagent should be titrated in each testing system to obtain optimal results. | |
| Sample-dependent, Check data in validation data gallery. | |
Product Information
61032-3-Ig targets FMO1 in WB, ELISA applications and shows reactivity with human, mouse, rat, pig, rabbit samples.
| Tested Reactivity | human, mouse, rat, pig, rabbit |
| Host / Isotype | Mouse / IgG1 |
| Class | Monoclonal |
| Type | Antibody |
| Immunogen |
CatNo: Ag34286 Product name: Recombinant human FMO1 protein Source: e coli.-derived, PET28a Tag: 6*His Domain: 100-430 aa of NM_001282692 Sequence: LLKHIQFKTKVCSVTKCSDSAVSGQWEVVTMHEEKQESAIFDAVMVCTGFLTNPYLPLDSFPGINAFKGQYFHSRQYKHPDIFKDKRVLVIGMGNSGTDIAVEASHLAEKVFLSTTGGGWVISRIFDSGYPWDMVFMTRFQNMLRNSLPTPIVTWLMERKINNWLNHANYGLIPEDRTQLKEFVLNDELPGRIITGKVFIRPSIKEVKENSVIFNNTSKEEPIDIIVFATGYTFAFPFLDESVVKVEDGQASLYKYIFPAHLQKPTLAIIGLIKPLGSMIPTGETQARWAVRVLKGVNKLPPPSVMIEEINARKENKPSWFGLCYCKALQS Predict reactive species |
| Full Name | flavin containing monooxygenase 1 |
| Calculated Molecular Weight | 60 kDa |
| Observed Molecular Weight | 50-53 kDa |
| GenBank Accession Number | NM_001282692 |
| Gene Symbol | FMO1 |
| Gene ID (NCBI) | 2326 |
| Conjugate | Unconjugated |
| Form | Liquid |
| Purification Method | Protein G purification |
| UNIPROT ID | Q01740 |
| Storage Buffer | PBS with 0.02% sodium azide and 50% glycerol, pH 7.3. |
| Storage Conditions | Store at -20°C. Stable for one year after shipment. Aliquoting is unnecessary for -20oC storage. 20ul sizes contain 0.1% BSA. |
Background Information
Flavin-containing monooxygenase 1 (FMO1) belongs to the FMO family. FMO1 is an enzyme that catalyzes the oxygenation of a series of sulfur-containing and nitrogen-containing substrates, and thus is involved in a series of drugs and xenobiotics metabolism. FMO1 can regulate PPAR-α and mediate metabolic processes. FMO1 is expressed at relatively high levels in human fetal liver and also represents the major FMO enzyme in the adult human and rabbit intestine and kidney (PMID: 11809920, 30757917, 37553313). Human FMO1 has 2 isoforms with the molecular weights of 53 kDa and 60 kDa.
Protocols
| Product Specific Protocols | |
|---|---|
| WB protocol for FMO1 antibody 61032-3-Ig | Download protocol |
| Standard Protocols | |
|---|---|
| Click here to view our Standard Protocols |





