Tested Applications
| Positive WB detected in | Jurkat cells, MG-63 cells, THP-1 cells, U266 cells |
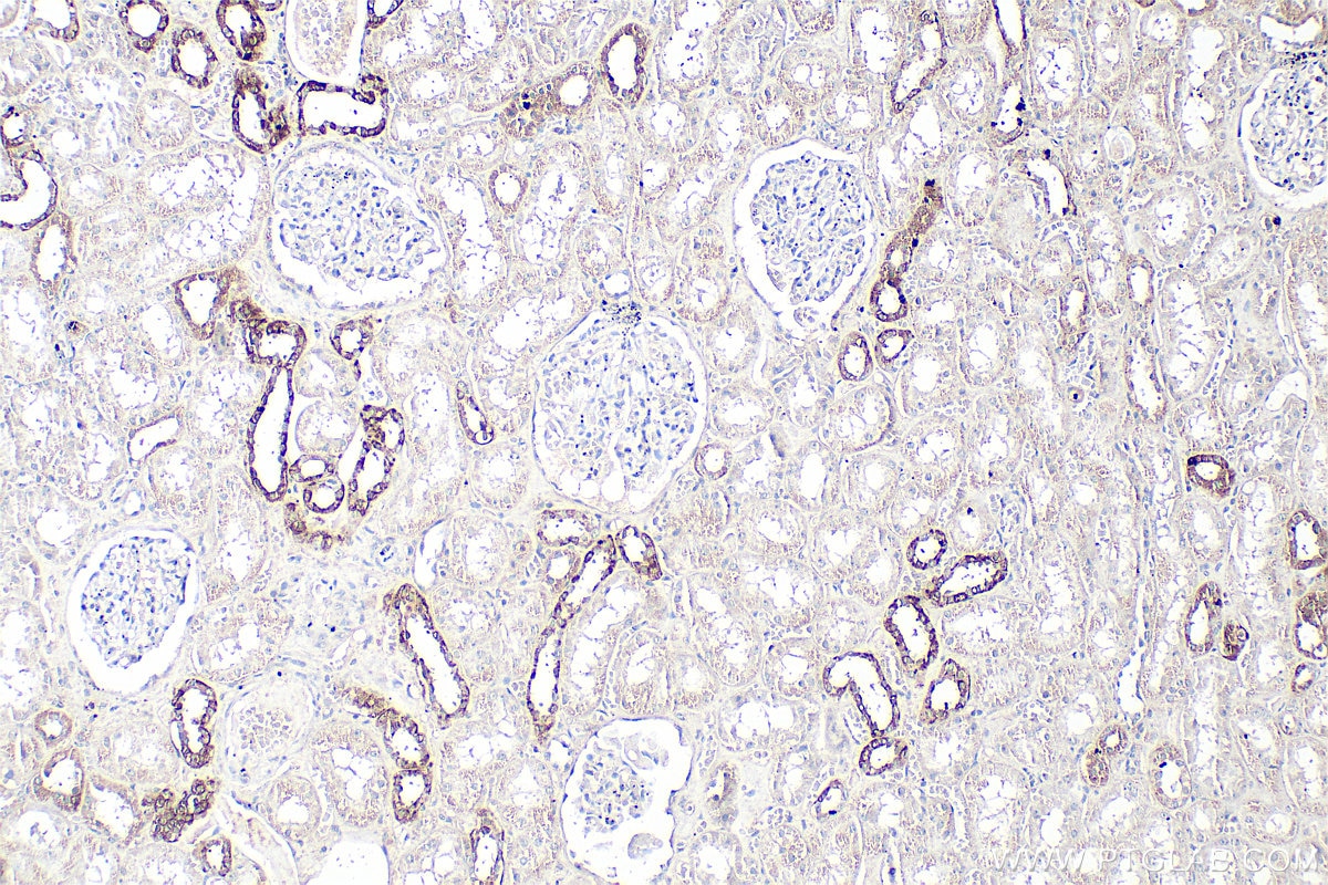
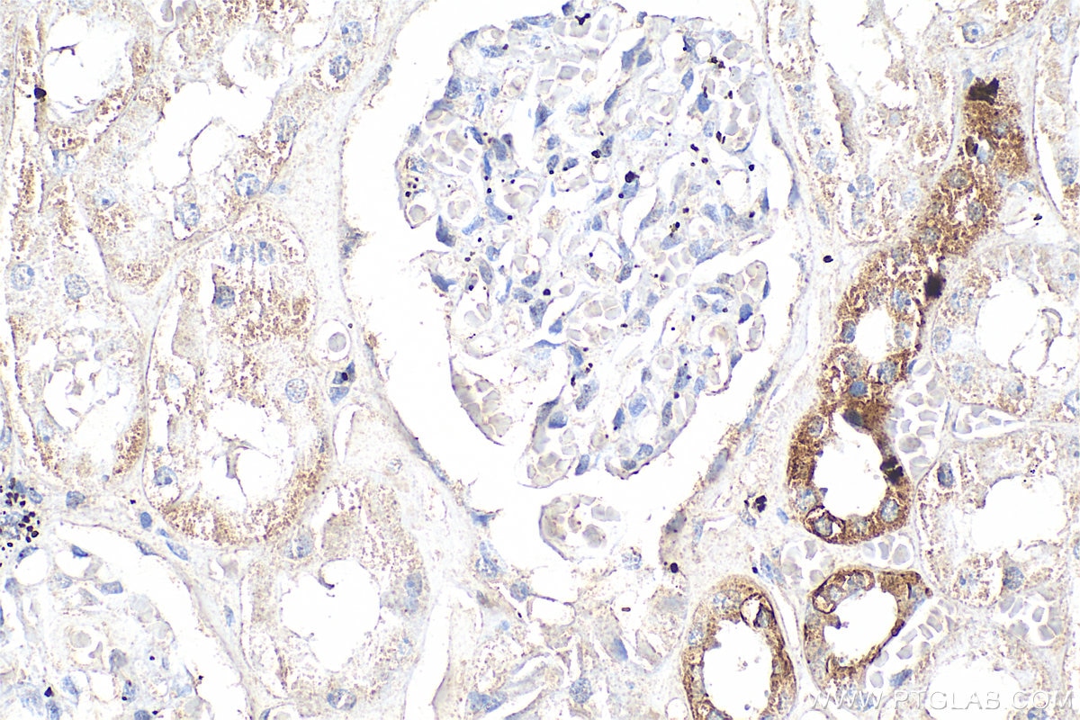
| Positive IHC detected in | human kidney tissue Note: suggested antigen retrieval with TE buffer pH 9.0; (*) Alternatively, antigen retrieval may be performed with citrate buffer pH 6.0 |
Recommended dilution
| Application | Dilution |
|---|---|
| Western Blot (WB) | WB : 1:500-1:2000 |
| Immunohistochemistry (IHC) | IHC : 1:50-1:500 |
| It is recommended that this reagent should be titrated in each testing system to obtain optimal results. | |
| Sample-dependent, Check data in validation data gallery. | |
Product Information
21089-1-AP targets GPRC5D in WB, IHC, ELISA applications and shows reactivity with human samples.
| Tested Reactivity | human |
| Host / Isotype | Rabbit / IgG |
| Class | Polyclonal |
| Type | Antibody |
| Immunogen |
CatNo: Ag15338 Product name: Recombinant human GPRC5D protein Source: e coli.-derived, PGEX-4T Tag: GST Domain: 256-345 aa of BC069341 Sequence: LYIVPELCILYRSCRQECPLQGNACPVTAYQHSFQVENQELSRARDSDGAEEDVALTSYGTPIQPQTVDPTQECFIPQAKLSPQQDAGGV Predict reactive species |
| Full Name | G protein-coupled receptor, family C, group 5, member D |
| Calculated Molecular Weight | 345 aa, 39 kDa |
| Observed Molecular Weight | 34 kDa |
| GenBank Accession Number | BC069341 |
| Gene Symbol | GPRC5D |
| Gene ID (NCBI) | 55507 |
| RRID | AB_2878810 |
| Conjugate | Unconjugated |
| Form | Liquid |
| Purification Method | Antigen affinity purification |
| UNIPROT ID | Q9NZD1 |
| Storage Buffer | PBS with 0.02% sodium azide and 50% glycerol, pH 7.3. |
| Storage Conditions | Store at -20°C. Stable for one year after shipment. Aliquoting is unnecessary for -20oC storage. 20ul sizes contain 0.1% BSA. |
Protocols
| Product Specific Protocols | |
|---|---|
| IHC protocol for GPRC5D antibody 21089-1-AP | Download protocol |
| WB protocol for GPRC5D antibody 21089-1-AP | Download protocol |
| Standard Protocols | |
|---|---|
| Click here to view our Standard Protocols |





