Tested Applications
| Positive WB detected in | A549 cells, HCT 116 cells, HepG2 cells, NCI-H1299 cells, NIH/3T3 cells, C6 cells |
| Positive IP detected in | NIH/3T3 cells |
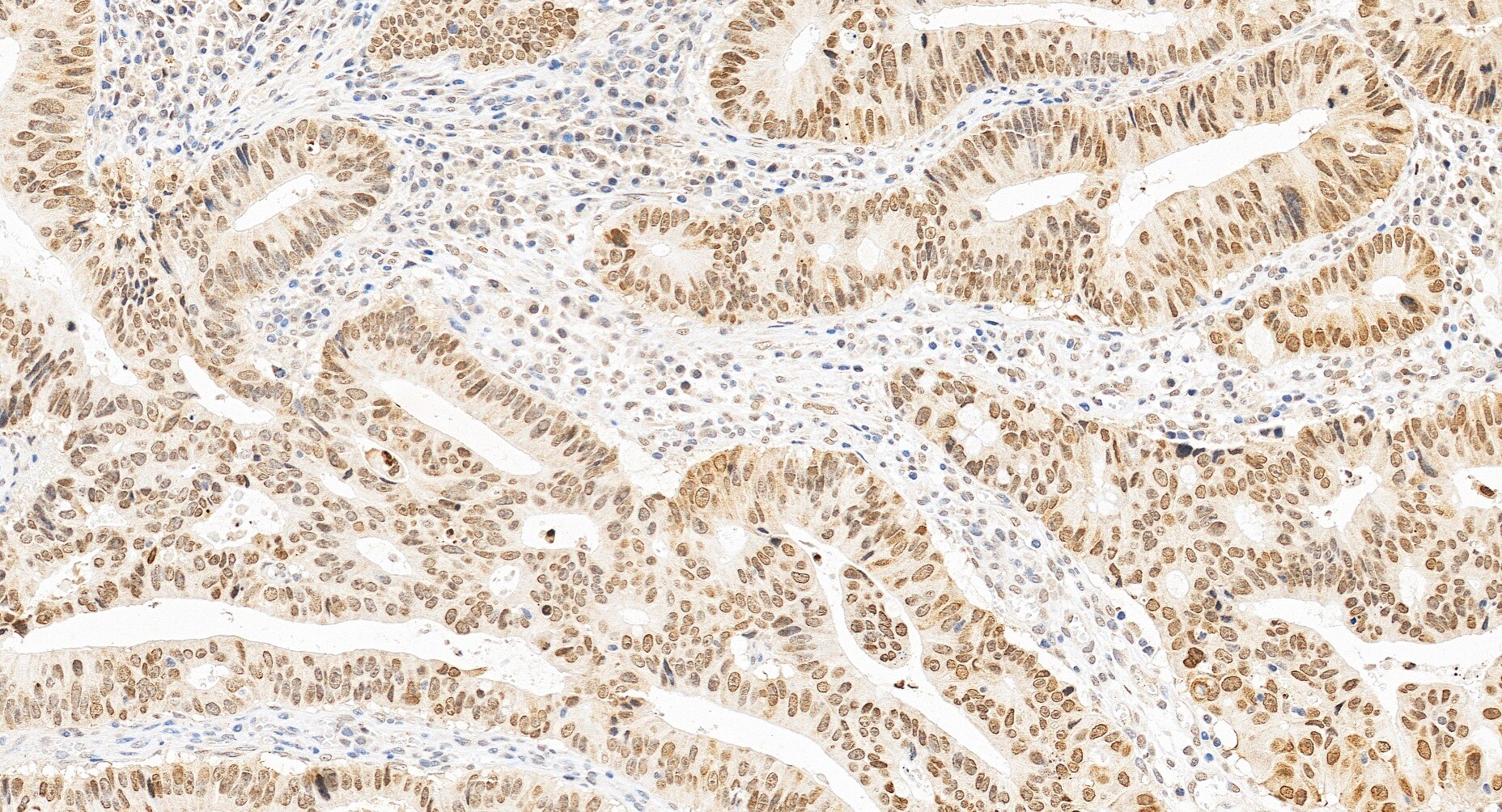
| Positive IHC detected in | human pancreas cancer tissue, human colon cancer tissue Note: suggested antigen retrieval with TE buffer pH 9.0; (*) Alternatively, antigen retrieval may be performed with citrate buffer pH 6.0 |
| Positive IF/ICC detected in | A549 cells |
Recommended dilution
| Application | Dilution |
|---|---|
| Western Blot (WB) | WB : 1:5000-1:50000 |
| Immunoprecipitation (IP) | IP : 0.5-4.0 ug for 1.0-3.0 mg of total protein lysate |
| Immunohistochemistry (IHC) | IHC : 1:250-1:1000 |
| Immunofluorescence (IF)/ICC | IF/ICC : 1:50-1:500 |
| It is recommended that this reagent should be titrated in each testing system to obtain optimal results. | |
| Sample-dependent, Check data in validation data gallery. | |
Published Applications
| KD/KO | See 7 publications below |
| WB | See 34 publications below |
| IHC | See 9 publications below |
| IF | See 4 publications below |
| IP | See 1 publications below |
| CoIP | See 3 publications below |
Product Information
20795-1-AP targets HMGA2 in WB, IHC, IF/ICC, IP, CoIP, ELISA applications and shows reactivity with human, mouse, rat samples.
| Tested Reactivity | human, mouse, rat |
| Cited Reactivity | human, mouse, rat |
| Host / Isotype | Rabbit / IgG |
| Class | Polyclonal |
| Type | Antibody |
| Immunogen |
CatNo: Ag14588 Product name: Recombinant human HMGA2 protein Source: e coli.-derived, PGEX-4T Tag: GST Domain: 1-109 aa of NM_003483 Sequence: MSARGEGAGQPSTSAQGQPAAPAPQKRGRGRPRKQQQEPTGEPSPKRPRGRPKGSKNKSPSKAAQKKAEATGEKRPRGRPRKWPQQVVQKKPAQEETEETSSQESAEED Predict reactive species |
| Full Name | high mobility group AT-hook 2 |
| Calculated Molecular Weight | 108 aa, 12 kDa |
| Observed Molecular Weight | 18-20 kDa |
| GenBank Accession Number | NM_003483 |
| Gene Symbol | HMGA2 |
| Gene ID (NCBI) | 8091 |
| RRID | AB_2665377 |
| Conjugate | Unconjugated |
| Form | Liquid |
| Purification Method | Antigen affinity purification |
| UNIPROT ID | P52926 |
| Storage Buffer | PBS with 0.02% sodium azide and 50% glycerol, pH 7.3. |
| Storage Conditions | Store at -20°C. Stable for one year after shipment. Aliquoting is unnecessary for -20oC storage. 20ul sizes contain 0.1% BSA. |
Background Information
HMGA2 belongs to the family of high mobility group with AT-hook DNA binding domain. HMGA proteins are considered architectural transcription factors; they do not have direct transcriptional activation capacity, but instead regulate gene expression by changing DNA conformation through binding to AT-rich regions in the DNA and/or direct interaction with other transcription factors (PMID: 18202751,19551524). HMGA2 is abundantly and ubiquitously expressed and plays a crucial role during embryonic development (18425117). HMGA2 promotes stem cell self-renewal and research studies have shown that decreased HMGA2 expression is associated with stem cell aging (19551524). Investigators have shown that expression levels of HMGA2 are very low in normal adult tissues, while either overexpression or rearrangement is associated with many types of cancer (PMID: 20228781). The calcualted molecular weight of HMGA2 is 12 kDa, but modified HMGA2 is about 18-20 kDa. (PMID: 18505920 )
Protocols
| Product Specific Protocols | |
|---|---|
| IF protocol for HMGA2 antibody 20795-1-AP | Download protocol |
| IHC protocol for HMGA2 antibody 20795-1-AP | Download protocol |
| IP protocol for HMGA2 antibody 20795-1-AP | Download protocol |
| WB protocol for HMGA2 antibody 20795-1-AP | Download protocol |
| Standard Protocols | |
|---|---|
| Click here to view our Standard Protocols |
Publications
| Species | Application | Title |
|---|---|---|
Acta Pharm Sin B Blockade of the deubiquitinating enzyme USP48 degrades oncogenic HMGA2 and inhibits colorectal cancer invasion and metastasis | ||
Nat Commun ICAM1 initiates CTC cluster formation and trans-endothelial migration in lung metastasis of breast cancer. | ||
Nat Commun N6-methyladenosine modification of circNSUN2 facilitates cytoplasmic export and stabilizes HMGA2 to promote colorectal liver metastasis. | ||
Cancer Res Pooled CRISPR Screening Identifies P-Bodies as Repressors of Cancer Epithelial-Mesenchymal Transition | ||
ACS Appl Mater Interfaces Layered Double Hydroxide Nanoparticles with Osteogenic Effects as miRNA Carriers to Synergistically Promote Osteogenesis of MSCs. | ||
Reviews
The reviews below have been submitted by verified Proteintech customers who received an incentive for providing their feedback.
FH Mounika (Verified Customer) (01-08-2026) | These are the amazing antibodies , worked very well, helped us in our project
|
FH Sai Sindhura (Verified Customer) (01-08-2026) | HMGA2 antibody gives very sharp bands
|
FH MALLIKARJUNA (Verified Customer) (11-26-2025) | worked good for WB
|
FH Balawant (Verified Customer) (07-25-2022) | this is very excellent antibody, I have used and it is working great. I will recumbent this antibody if you want for immunoblotting.
|
FH Susmita (Verified Customer) (04-13-2022) | This antibody is working fine for my WB
|
FH Iram (Verified Customer) (09-17-2020) | HMGA2 bands are very clear and sharp bands.
|















