Tested Applications
| Positive WB detected in | MCF-7 cells, HEK-293 cells, mouse brain tissue, rat brain tissue, pig brain tissue |
Recommended dilution
| Application | Dilution |
|---|---|
| Western Blot (WB) | WB : 1:500-1:3000 |
| It is recommended that this reagent should be titrated in each testing system to obtain optimal results. | |
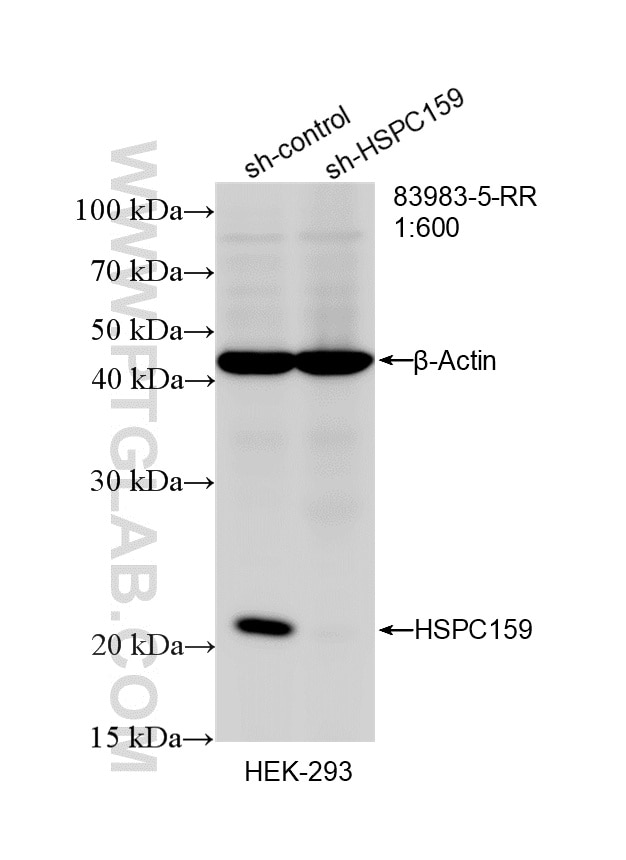
| Sample-dependent, Check data in validation data gallery. | |
Product Information
83983-5-RR targets HSPC159 in WB, ELISA applications and shows reactivity with human, mouse, rat samples.
| Tested Reactivity | human, mouse, rat |
| Host / Isotype | Rabbit / IgG |
| Class | Recombinant |
| Type | Antibody |
| Immunogen |
CatNo: Ag10109 Product name: Recombinant human HSPC159 protein Source: e coli.-derived, PGEX-4T Tag: GST Domain: 1-172 aa of BC062691 Sequence: MAGSVADSDAVVKLDDGHLNNSLSSPVQADVYFPRLIVPFCGHIKGGMRPGKKVLVMGIVDLNPESFAISLTCGDSEDPPADVAIELKAVFTDRQLLRNSCISGERGEEQSAIPYFPFIPDQPFRVEILCEHPRFRVFVDGHQLFDFYHRIQTLSAIDTIKINGDLQITKLG Predict reactive species |
| Full Name | galectin-related protein |
| Calculated Molecular Weight | 172 aa, 19 kDa |
| Observed Molecular Weight | 19 kDa |
| GenBank Accession Number | BC062691 |
| Gene Symbol | HSPC159 |
| Gene ID (NCBI) | 29094 |
| RRID | AB_3671557 |
| Conjugate | Unconjugated |
| Form | Liquid |
| Purification Method | Protein A purfication |
| UNIPROT ID | Q3ZCW2 |
| Storage Buffer | PBS with 0.02% sodium azide and 50% glycerol, pH 7.3. |
| Storage Conditions | Store at -20°C. Stable for one year after shipment. Aliquoting is unnecessary for -20oC storage. 20ul sizes contain 0.1% BSA. |
Background Information
HSPC159 is a novel human galectin‐related protein (also known as GRP) that is mapped to human chromosome 2p13. The HSPC159 gene was originally deduced by partial sequence alignment and confirmed by a full‐length sequence for an mRNA isolated from CD34+ hematopoietic stem cells.
Protocols
| Product Specific Protocols | |
|---|---|
| WB protocol for HSPC159 antibody 83983-5-RR | Download protocol |
| Standard Protocols | |
|---|---|
| Click here to view our Standard Protocols |





