Tested Applications
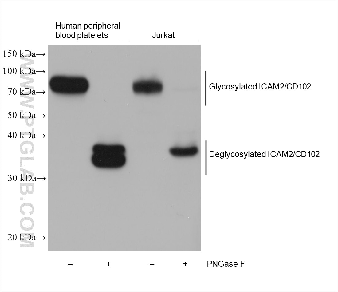
| Positive WB detected in | human peripheral blood platelets, Jurkat cells |
| Positive IF/ICC detected in | HUVEC cells |
Recommended dilution
| Application | Dilution |
|---|---|
| Western Blot (WB) | WB : 1:5000-1:50000 |
| Immunofluorescence (IF)/ICC | IF/ICC : 1:995-1:3982 |
| It is recommended that this reagent should be titrated in each testing system to obtain optimal results. | |
| Sample-dependent, Check data in validation data gallery. | |
Product Information
67628-1-Ig targets ICAM2/CD102 in WB, IF/ICC, ELISA applications and shows reactivity with human samples.
| Tested Reactivity | human |
| Host / Isotype | Mouse / IgG2a |
| Class | Monoclonal |
| Type | Antibody |
| Immunogen |
CatNo: Ag29441 Product name: Recombinant human ICAM2 protein Source: e coli.-derived, PET28a Tag: 6*His Domain: 65-223 aa of BC003097 Sequence: DKILLDEQAQWKHYLVSNISHDTVLQCHFTCSGKQESMNSNVSVYQPPRQVILTLQPTLVAVGKSFTIECRVPTVEPLDSLTLFLFRGNETLHYETFGKAAPAPQEATATFNSTADREDGHRNFSCLAVLDLMSRGGNIFHKHSAPKMLEIYEPVSDSQ Predict reactive species |
| Full Name | intercellular adhesion molecule 2 |
| Calculated Molecular Weight | 31 kDa |
| Observed Molecular Weight | 80 kDa, 35-37 kDa |
| GenBank Accession Number | BC003097 |
| Gene Symbol | ICAM2/CD102 |
| Gene ID (NCBI) | 3384 |
| RRID | AB_2882829 |
| Conjugate | Unconjugated |
| Form | Liquid |
| Purification Method | Protein A purification |
| UNIPROT ID | P13598 |
| Storage Buffer | PBS with 0.02% sodium azide and 50% glycerol, pH 7.3. |
| Storage Conditions | Store at -20°C. Stable for one year after shipment. Aliquoting is unnecessary for -20oC storage. 20ul sizes contain 0.1% BSA. |
Background Information
ICAM2 is a cell adhesion protein having important roles in cell migration, especially during inflammation when leukocytes cross the endothelium. Initially described as a receptor for lymphocyte function-associated antigen-1 (LFA1), ICAM2 may play a role in lymphocyte recirculation by blocking LFA-1-dependent cell adhesion. It mediates adhesive interactions important for antigen-specific immune response, NK-cell mediated clearance, lymphocyte recirculation, and other cellular interactions important for immune response and surveillance.
Protocols
| Product Specific Protocols | |
|---|---|
| IF protocol for ICAM2/CD102 antibody 67628-1-Ig | Download protocol |
| WB protocol for ICAM2/CD102 antibody 67628-1-Ig | Download protocol |
| Standard Protocols | |
|---|---|
| Click here to view our Standard Protocols |



