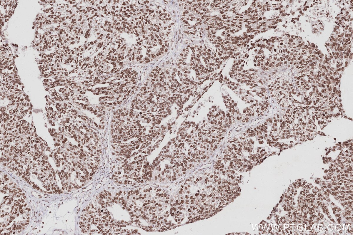
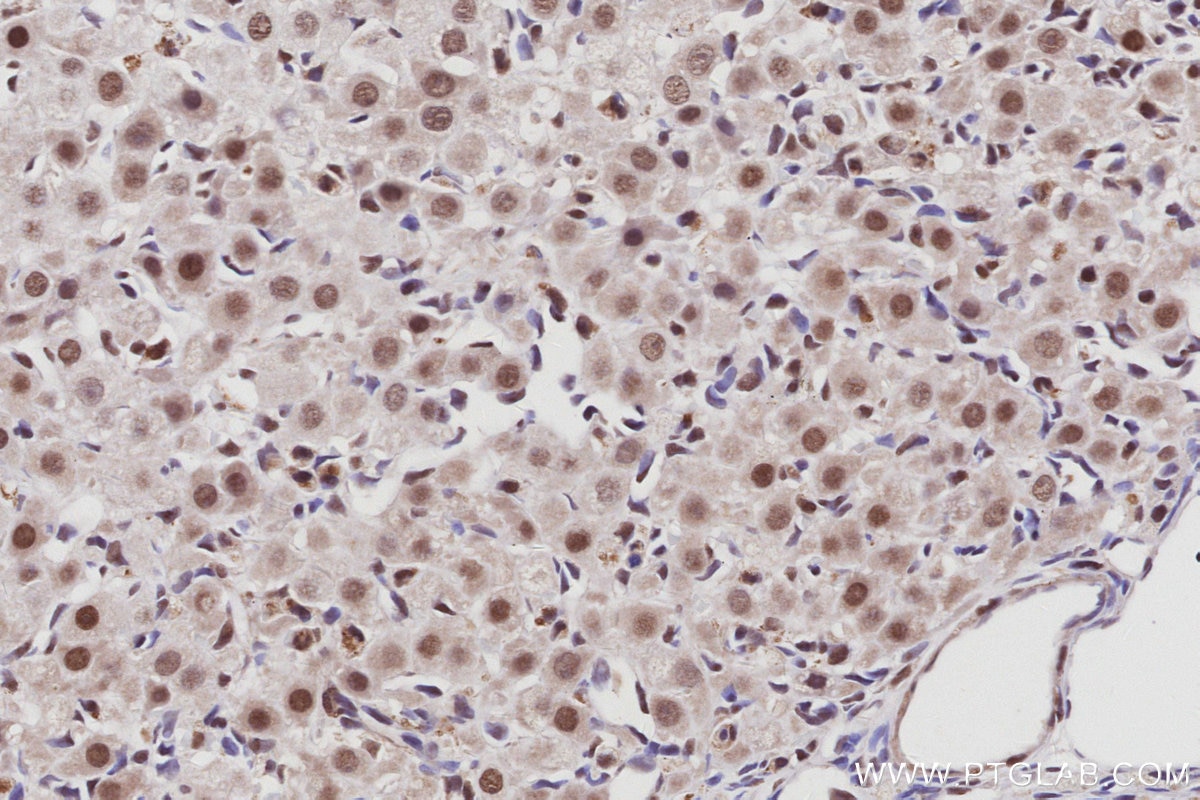
IHCeasy® BAZ1B/WSTF Ready-To-Use IHC Kit
BAZ1B/WSTF Ready-to-use reagent kit for IHC.
Cat no : KHC3013
Synonyms
BAZ1B, WSTF, EC:2.7.10.2, hWALp2, Tyrosine protein kinase BAZ1B
Validation Data Gallery View All
Product Information
KHC3013 is a ready-to-use IHC kit for staining of BAZ1B/WSTF. The kit provides all reagents, from antigen retrieval to cover slip mounting, that require little to no diluting or handling prior to use. Simply apply the reagents to your sample slide according to the protocol and you're steps away from obtaining high-quality IHC data.
| Product name | IHCeasy® BAZ1B/WSTF Ready-To-Use IHC Kit |
| Sample type | FFPE tissue |
| Assay type | Immunohistochemistry |
| Primary antibody type | Rabbit Polyclonal |
| Secondary antibody type | Polymer-HRP-Goat anti-Rabbit |
| Reactivity | Human, Mouse, Rat |
Kit components
| Component | Size | Concentration |
|---|---|---|
| Antigen Retrieval Buffer | 100 mL | 50× |
| Washing Buffer | 100 mL ×2 | 20× |
| Blocking Buffer | 5 mL | RTU |
| Primary Antibody | 5 mL | RTU |
| Secondary Antibody | 5 mL | RTU |
| Chromogen Component A | 0.2 mL | RTU |
| Chromogen Component B | 4 mL | RTU |
| Signal Enhancer | 5 mL | RTU |
| Counter Staining Reagent | 5 mL | RTU |
| Mounting Media | 5 mL | RTU |
| Datasheet | 1 Copy | |
| Manual | 1 Copy |
Background Information
Tyrosine-protein kinase BAZ1B, also named WSTF, plays a central role in chromatin remodeling and acts as a transcription regulator. It involved in DNA damage response by phosphorylating 'Tyr-142' of histone H2AX (H2AXY142ph).
Properties
| Storage Instructions | All the reagents are stored at 2-8°C. The kit is stable for 6 months from the date of receipt. |
| Synonyms | BAZ1B, WSTF, EC:2.7.10.2, hWALp2, Tyrosine protein kinase BAZ1B |




