IHCeasy® CDC2L6 Ready-To-Use IHC Kit
CDC2L6 Ready-to-use reagent kit for IHC.
Cat no : KHC2879
Synonyms
CDK8/19, CDC2 related protein kinase 6, CDC2-related protein kinase 6, CDK11, CDK19
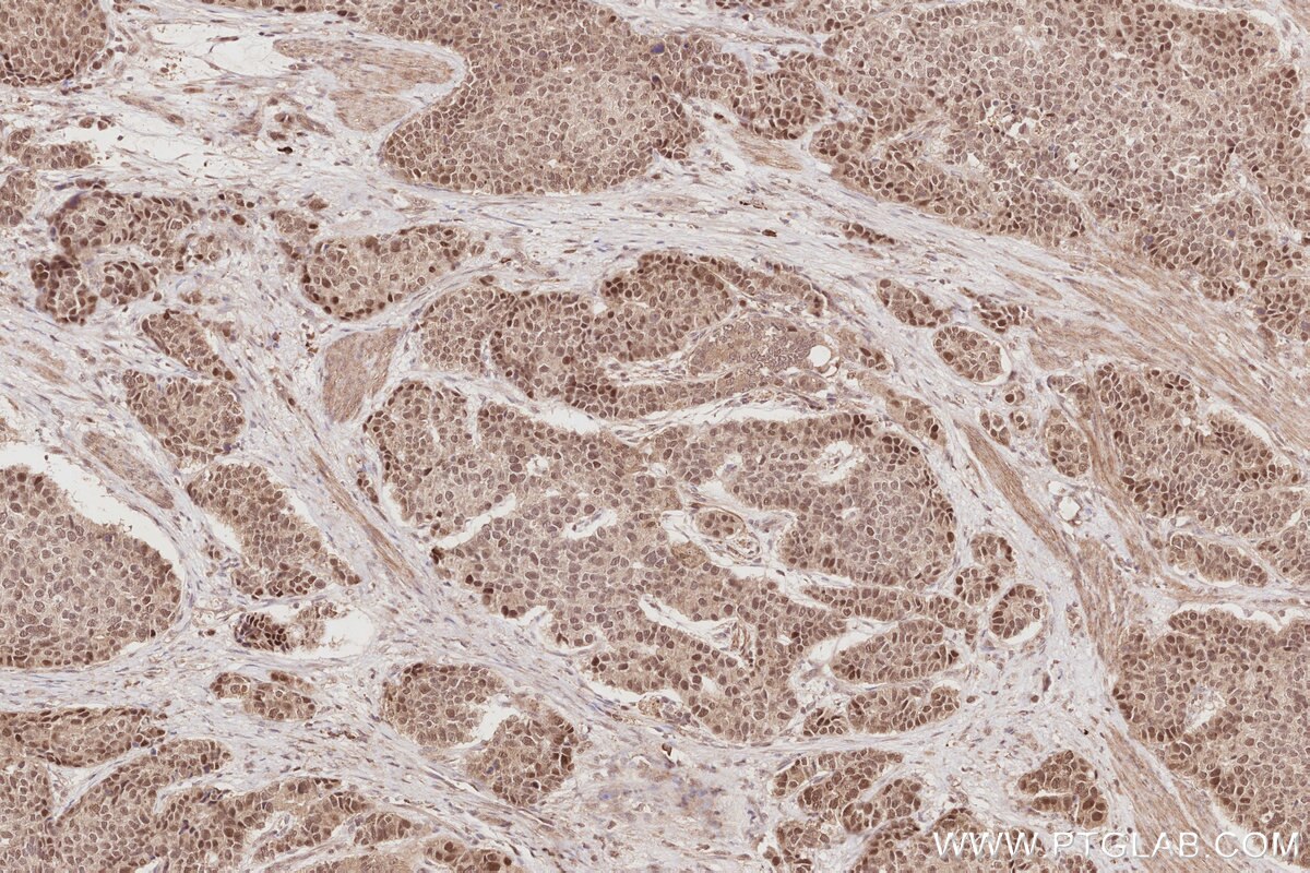
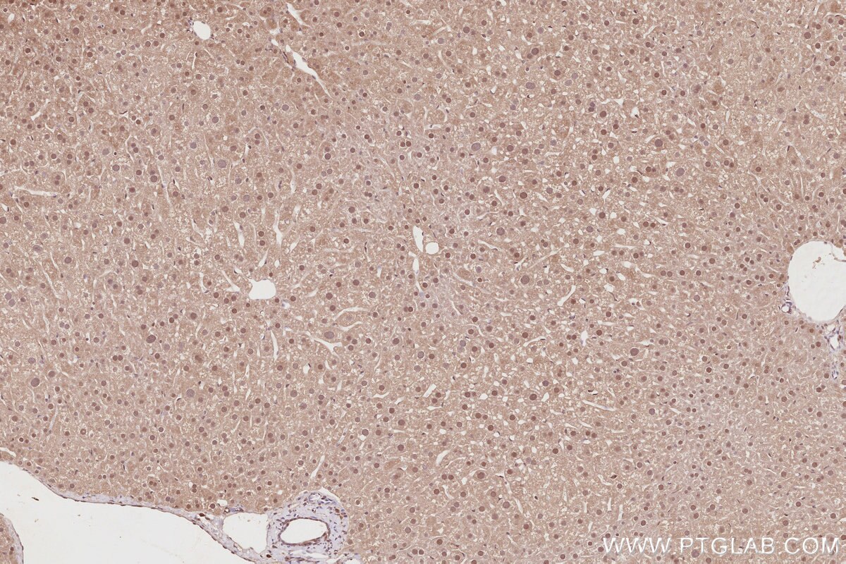
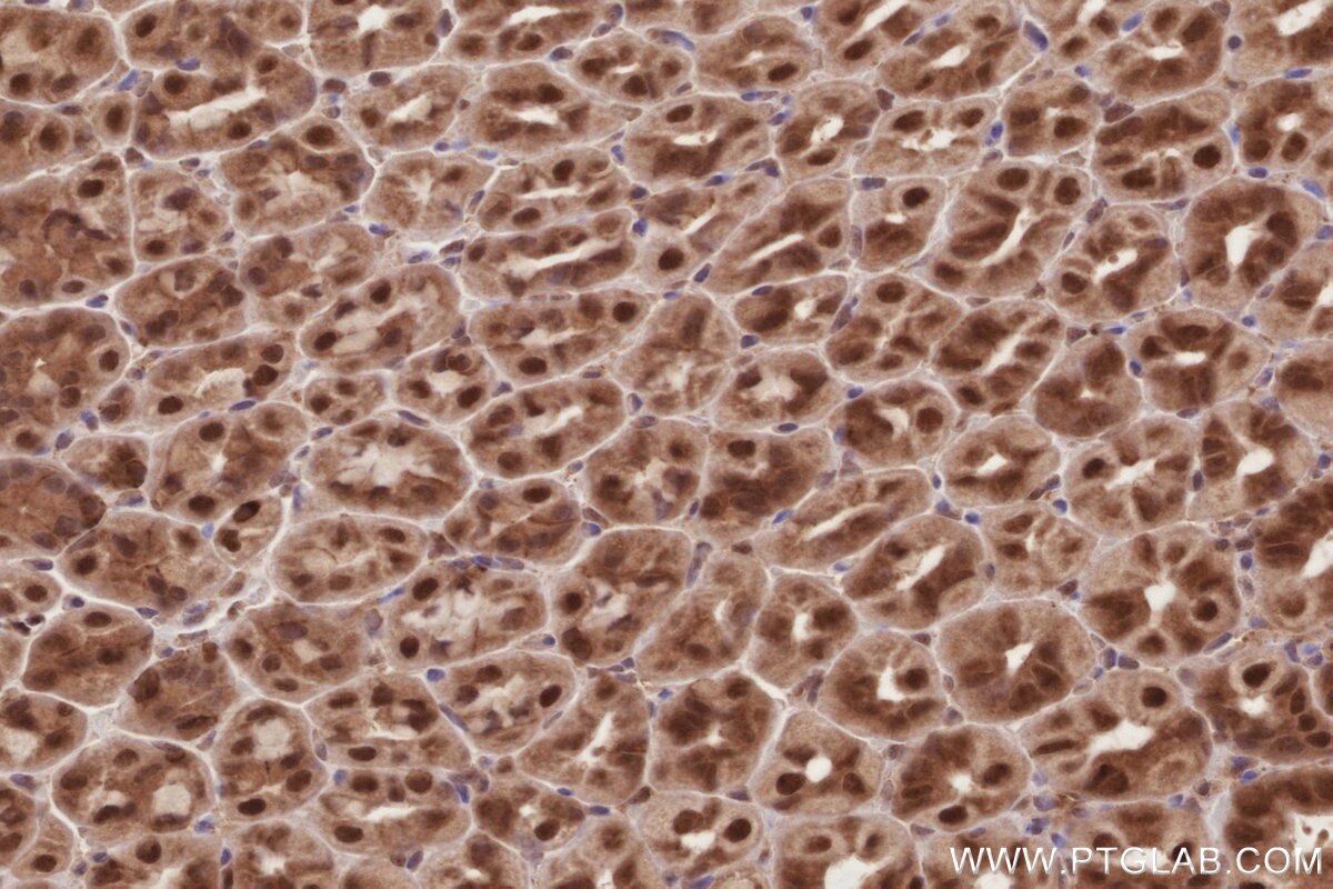
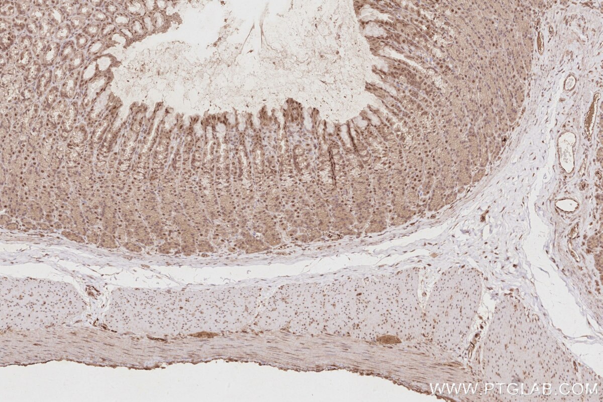
Validation Data Gallery View All
Product Information
KHC2879 is a ready-to-use IHC kit for staining of CDC2L6. The kit provides all reagents, from antigen retrieval to cover slip mounting, that require little to no diluting or handling prior to use. Simply apply the reagents to your sample slide according to the protocol and you're steps away from obtaining high-quality IHC data.
| Product name | IHCeasy® CDC2L6 Ready-To-Use IHC Kit |
| Sample type | FFPE tissue |
| Assay type | Immunohistochemistry |
| Primary antibody type | Rabbit Polyclonal |
| Secondary antibody type | Polymer-HRP-Goat anti-Rabbit |
| Reactivity | Human, Mouse, Rat |
Kit components
| Component | Size | Concentration |
|---|---|---|
| Antigen Retrieval Buffer | 100 mL | 50× |
| Washing Buffer | 100 mL ×2 | 20× |
| Blocking Buffer | 5 mL | RTU |
| Primary Antibody | 5 mL | RTU |
| Secondary Antibody | 5 mL | RTU |
| Chromogen Component A | 0.2 mL | RTU |
| Chromogen Component B | 4 mL | RTU |
| Signal Enhancer | 5 mL | RTU |
| Counter Staining Reagent | 5 mL | RTU |
| Mounting Media | 5 mL | RTU |
| Datasheet | 1 Copy | |
| Manual | 1 Copy |
Background Information
The CDK8 homolog, CDK19 (Cdk11, CDC2L6) was discovered by Hidden Markov model (HMM) profiling of a eukaryotic protein kinase domain, and found to have approximately 91% sequence homology to Cdk8. The two proteins share a particularly high degree of sequence conservation in their kinase and cyclin binding domain. CDK8 and CDK19, collectively termed 'Mediator Kinase,' are incorporated, in a mutually exclusive manner, as part of a 4-protein complex called the Mediator kinase module. CDK8/19 inhibition suppressed the induction of NFκB-driven transcription by p21.
Properties
| Storage Instructions | All the reagents are stored at 2-8°C. The kit is stable for 6 months from the date of receipt. |
| Synonyms | CDK8/19, CDC2 related protein kinase 6, CDC2-related protein kinase 6, CDK11, CDK19 |






