IHCeasy® CEPT1 Ready-To-Use IHC Kit
CEPT1 Ready-to-use reagent kit for IHC.
Cat no : KHC3093
Synonyms
1-alkenyl-2-acylglycerol choline phosphotransferase, choline/ethanolamine phosphotransferase 1, EC:2.7.8.1, EC:2.7.8.22, hCEPT1
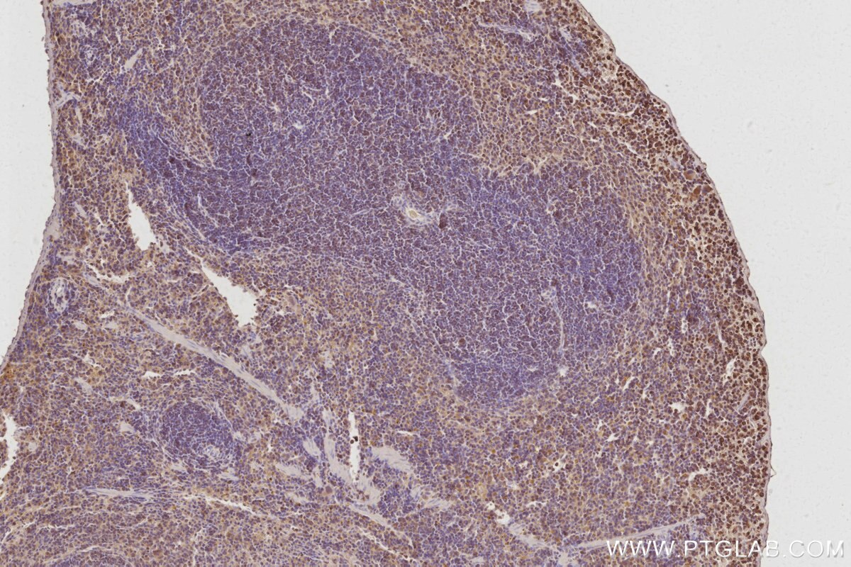
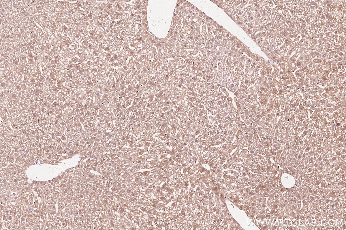
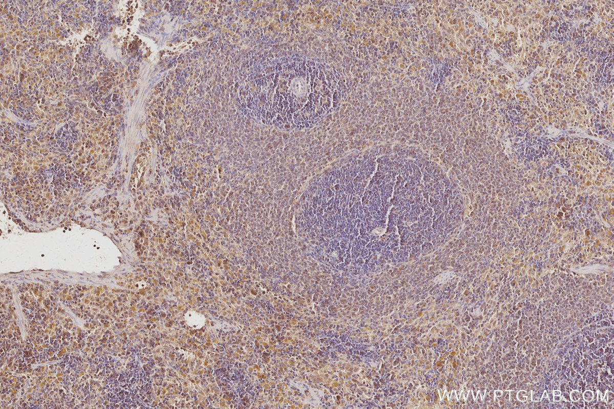
Validation Data Gallery View All
Product Information
KHC3093 is a ready-to-use IHC kit for staining of CEPT1. The kit provides all reagents, from antigen retrieval to cover slip mounting, that require little to no diluting or handling prior to use. Simply apply the reagents to your sample slide according to the protocol and you're steps away from obtaining high-quality IHC data.
| Product name | IHCeasy® CEPT1 Ready-To-Use IHC Kit |
| Sample type | FFPE tissue |
| Assay type | Immunohistochemistry |
| Primary antibody type | Rabbit Polyclonal |
| Secondary antibody type | Polymer-HRP-Goat anti-Rabbit |
| Reactivity | Human, Mouse, Rat |
Kit components
| Component | Size | Concentration |
|---|---|---|
| Antigen Retrieval Buffer | 100 mL | 50× |
| Washing Buffer | 100 mL ×2 | 20× |
| Blocking Buffer | 5 mL | RTU |
| Primary Antibody | 5 mL | RTU |
| Secondary Antibody | 5 mL | RTU |
| Chromogen Component A | 0.2 mL | RTU |
| Chromogen Component B | 4 mL | RTU |
| Signal Enhancer | 5 mL | RTU |
| Counter Staining Reagent | 5 mL | RTU |
| Mounting Media | 5 mL | RTU |
| Datasheet | 1 Copy | |
| Manual | 1 Copy |
Background Information
Choline-enthanolamine phosphotransferase 1 (CEPT1) is a 47-kDa membrane-bound protein that catalyzes the terminal step of the Kennedy pathway. CEPT1 is encoded by the Cept1 gene and is responsible for phosphatidylcholine (PC) and phosphatidylethanolamine (PE) production.
Properties
| Storage Instructions | All the reagents are stored at 2-8°C. The kit is stable for 6 months from the date of receipt. |
| Synonyms | 1-alkenyl-2-acylglycerol choline phosphotransferase, choline/ethanolamine phosphotransferase 1, EC:2.7.8.1, EC:2.7.8.22, hCEPT1 |





