IHCeasy® CWF19L1 Ready-To-Use IHC Kit
CWF19L1 Ready-to-use reagent kit for IHC.
Cat no : KHC3103
Synonyms
C19L1, hDrn1, SCAR17
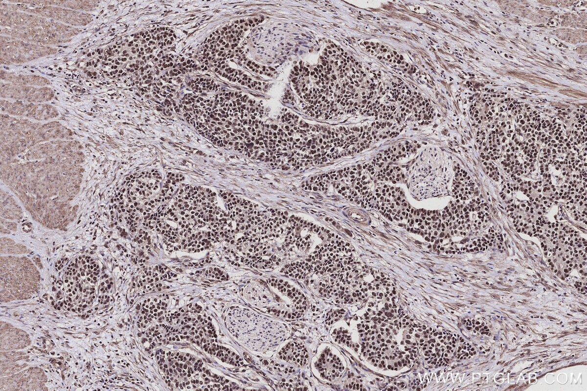
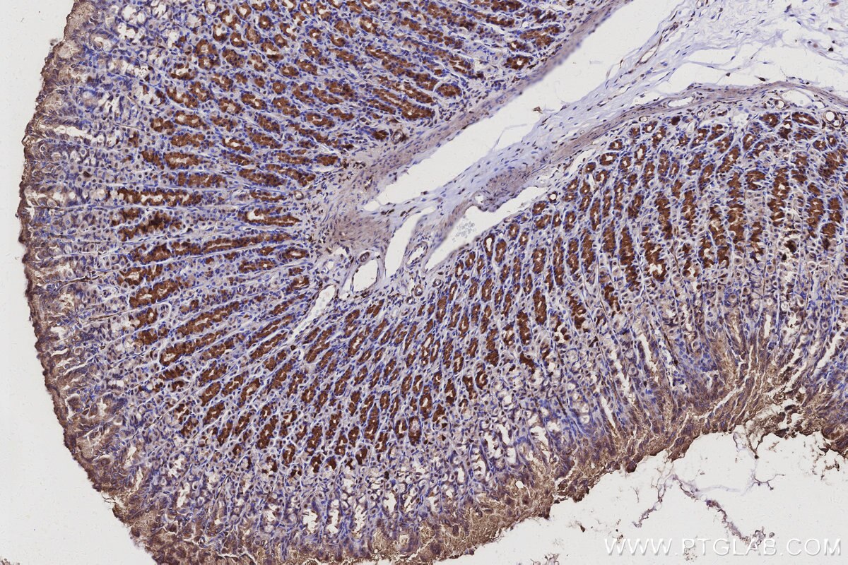
Validation Data Gallery View All
Product Information
KHC3103 is a ready-to-use IHC kit for staining of CWF19L1. The kit provides all reagents, from antigen retrieval to cover slip mounting, that require little to no diluting or handling prior to use. Simply apply the reagents to your sample slide according to the protocol and you're steps away from obtaining high-quality IHC data.
| Product name | IHCeasy® CWF19L1 Ready-To-Use IHC Kit |
| Sample type | FFPE tissue |
| Assay type | Immunohistochemistry |
| Primary antibody type | Rabbit Polyclonal |
| Secondary antibody type | Polymer-HRP-Goat anti-Rabbit |
| Reactivity | Human, Mouse, Rat |
Kit components
| Component | Size | Concentration |
|---|---|---|
| Antigen Retrieval Buffer | 100 mL | 50× |
| Washing Buffer | 100 mL ×2 | 20× |
| Blocking Buffer | 5 mL | RTU |
| Primary Antibody | 5 mL | RTU |
| Secondary Antibody | 5 mL | RTU |
| Chromogen Component A | 0.2 mL | RTU |
| Chromogen Component B | 4 mL | RTU |
| Signal Enhancer | 5 mL | RTU |
| Counter Staining Reagent | 5 mL | RTU |
| Mounting Media | 5 mL | RTU |
| Datasheet | 1 Copy | |
| Manual | 1 Copy |
Background Information
CWF19L1 belongs to the CWF19 family. CWF19L1 includes a metallophosphatase (MMP) domain, a histidine triad motif (HIT) domain, and a C-terminal Cwf-J-C domain. CWF19L1 is believed to be involved in cell cycle control, endosomal trafficking, and mRNA processing. CWF19L1 is a rare cause of autosomal recessive cerebellar ataxias (ARCA). CWF19L1 is expressed in many brain regions, including cerebellum, thalamus and occipital, parietal and temporal lobes. CWF19L1 is also expressed in the spinal cord.
Properties
| Storage Instructions | All the reagents are stored at 2-8°C. The kit is stable for 6 months from the date of receipt. |
| Synonyms | C19L1, hDrn1, SCAR17 |




